ARG42088
anti-CYP24A1 antibody
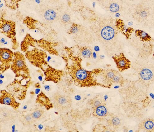
anti-CYP24A1 antibody for IHC-Formalin-fixed paraffin-embedded sections,Western blot and Human,Mouse,Rat
Overview
| Product Description | Rabbit Polyclonal antibody recognizes CYP24A1 |
|---|---|
| Tested Reactivity | Hu, Ms, Rat |
| Tested Application | IHC-P, WB |
| Host | Rabbit |
| Clonality | Polyclonal |
| Isotype | IgG |
| Target Name | CYP24A1 |
| Antigen Species | Human |
| Immunogen | Recombinant fusion protein corresponding to aa. 36-448 of Human CYP24A1 (NP_001122387.1). |
| Conjugation | Un-conjugated |
| Alternate Names | CP24; HCAI; CYP24; P450-CC24; 1,25-dihydroxyvitamin D(3) 24-hydroxylase, mitochondrial; 24-OHase; Vitamin D(3) 24-hydroxylase; EC 1.14.13.126; Cytochrome P450 24A1; Cytochrome P450-CC24 |
Application Instructions
| Application Suggestion |
|
||||||
|---|---|---|---|---|---|---|---|
| Application Note | * The dilutions indicate recommended starting dilutions and the optimal dilutions or concentrations should be determined by the scientist. | ||||||
| Assay Time | Q07973 |
Properties
| Form | Liquid |
|---|---|
| Purification | Affinity purified. |
| Buffer | PBS (pH 7.3), 0.02% Sodium azide and 50% Glycerol. |
| Preservative | 0.02% Sodium azide |
| Stabilizer | 50% Glycerol |
| Storage Instruction | For continuous use, store undiluted antibody at 2-8°C for up to a week. For long-term storage, aliquot and store at -20°C. Storage in frost free freezers is not recommended. Avoid repeated freeze/thaw cycles. Suggest spin the vial prior to opening. The antibody solution should be gently mixed before use. |
| Note | For laboratory research only, not for drug, diagnostic or other use. |
Bioinformation
| Database Links | |
|---|---|
| Gene Symbol | CYP24A1 |
| Gene Full Name | cytochrome P450, family 24, subfamily A, polypeptide 1 |
| Background | This gene encodes a member of the cytochrome P450 superfamily of enzymes. The cytochrome P450 proteins are monooxygenases which catalyze many reactions involved in drug metabolism and synthesis of cholesterol, steroids and other lipids. This mitochondrial protein initiates the degradation of 1,25-dihydroxyvitamin D3, the physiologically active form of vitamin D3, by hydroxylation of the side chain. In regulating the level of vitamin D3, this enzyme plays a role in calcium homeostasis and the vitamin D endocrine system. Alternatively spliced transcript variants encoding different isoforms have been found for this gene. [provided by RefSeq, Jul 2008] |
| Function | A cytochrome P450 monooxygenase with a key role in vitamin D catabolism and calcium homeostasis. Via C24- and C23-oxidation pathways, catalyzes the inactivation of both the vitamin D precursor calcidiol (25-hydroxyvitamin D(3)) and the active hormone calcitriol (1-alpha,25-dihydroxyvitamin D(3)) (PubMed:24893882, PubMed:15574355, PubMed:8679605, PubMed:11012668, PubMed:16617161). With initial hydroxylation at C-24 (via C24-oxidation pathway), performs a sequential 6-step oxidation of calcitriol leading to the formation of the biliary metabolite calcitroic acid (PubMed:24893882, PubMed:15574355). With initial hydroxylation at C-23 (via C23-oxidation pathway), catalyzes sequential oxidation of calcidiol leading to the formation of 25(OH)D3-26,23-lactone as end product (PubMed:11012668, PubMed:8679605). Preferentially hydroxylates at C-25 other vitamin D active metabolites, such as CYP11A1-derived secosteroids 20S-hydroxycholecalciferol and 20S,23-dihydroxycholecalciferol (PubMed:25727742). Mechanistically, uses molecular oxygen inserting one oxygen atom into a substrate, and reducing the second into a water molecule, with two electrons provided by NADPH via FDXR/adrenodoxin reductase and FDX1/adrenodoxin (PubMed:8679605). [UniProt] |
| Cellular Localization | Mitochondrion. [UniProt] |
| Calculated MW | 59 kDa |
Images (1) Click the Picture to Zoom In
