ARG56879
anti-MICB antibody
anti-MICB antibody for Western blot and Human
Overview
| Product Description | Rabbit Polyclonal antibody recognizes MICB |
|---|---|
| Tested Reactivity | Hu |
| Tested Application | WB |
| Host | Rabbit |
| Clonality | Polyclonal |
| Isotype | IgG |
| Target Name | MICB |
| Antigen Species | Human |
| Immunogen | Recombinant protein of Human MICB. |
| Conjugation | Un-conjugated |
| Alternate Names | MHC class I polypeptide-related sequence B; MIC-B; PERB11.2 |
Application Instructions
| Application Suggestion |
|
||||
|---|---|---|---|---|---|
| Application Note | * The dilutions indicate recommended starting dilutions and the optimal dilutions or concentrations should be determined by the scientist. | ||||
| Positive Control | NCI-H460 |
Properties
| Form | Liquid |
|---|---|
| Purification | Affinity purification with immunogen. |
| Buffer | PBS (pH 7.3), 0.02% Sodium azide and 50% Glycerol. |
| Preservative | 0.02% Sodium azide |
| Stabilizer | 50% Glycerol |
| Storage Instruction | For continuous use, store undiluted antibody at 2-8°C for up to a week. For long-term storage, aliquot and store at -20°C. Storage in frost free freezers is not recommended. Avoid repeated freeze/thaw cycles. Suggest spin the vial prior to opening. The antibody solution should be gently mixed before use. |
| Note | For laboratory research only, not for drug, diagnostic or other use. |
Bioinformation
| Database Links |
Swiss-port # Q29980 Human MHC class I polypeptide-related sequence B |
|---|---|
| Gene Symbol | MICB |
| Gene Full Name | MHC class I polypeptide-related sequence B |
| Background | This gene encodes a heavily glycosylated protein which is a ligand for the NKG2D type II receptor. Binding of the ligand activates the cytolytic response of natural killer (NK) cells, CD8 alphabeta T cells, and gammadelta T cells which express the receptor. This protein is stress-induced and is similar to MHC class I molecules; however, it does not associate with beta-2-microglobulin or bind peptides. Alternative splicing results in multiple transcript variants. [provided by RefSeq, Jan 2014] |
| Function | Seems to have no role in antigen presentation. Acts as a stress-induced self-antigen that is recognized by gamma delta T cells. Ligand for the KLRK1/NKG2D receptor. Binding to KLRK1 leads to cell lysis. [UniProt] |
| Highlight | Related products: MICB antibodies; MICB ELISA Kits; Anti-Rabbit IgG secondary antibodies; Related news: Time to fight cancer by NK cells |
| Calculated MW | 43 kDa |
| PTM | Proteolytically cleaved and released from the cell surface of tumor cells. |
Images (2) Click the Picture to Zoom In
-
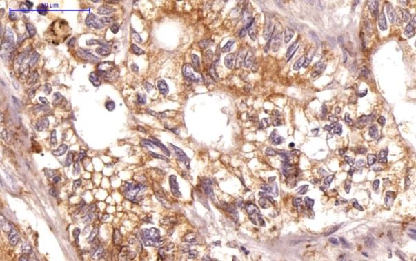
ARG56879 anti-MICB antibody IHC-P image
Immunohistochemistry: Human colorectal cancer stained with ARG56879 anti-MICB antibody.
From Feng Q et al. J Cancer Res Clin Oncol- (2020), doi: 10.1007/s00432-020-03159-0, Fig. S2. .
-
ARG56879 anti-MICB antibody WB image
Western blot: NCI-H460 cell lysate stained with ARG56879 anti-MICB antibody.

