Search Result - Primary Antibodies
There are 15 results for "STAT3"
- anti-PIAS3 antibody
- Cat. No: ARG59263 (Rabbit pAb)
- Reactivity: Hu
- Application: IHC-P, WB
- Conjugation: Un-conjugated
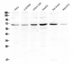
- anti-PIAS3 antibody
- Cat. No: ARG59267 (Rabbit pAb)
- Reactivity: Hu, Ms, Rat
- Application: WB
- Conjugation: Un-conjugated
- anti-PIAS3 antibody
- Cat. No: ARG59266 (Rabbit pAb)
- Reactivity: Hu
- Application: ICC/IF, WB
- Conjugation: Un-conjugated
- anti-ELP2 antibody
- Cat. No: ARG45453 (Rabbit pAb)
- Reactivity: Hu
- Application: FACS, ICC/IF, WB
- Conjugation: Un-conjugated

