ARG59263
anti-PIAS3 antibody
anti-PIAS3 antibody for IHC-Formalin-fixed paraffin-embedded sections,Western blot and Human
Overview
| Product Description | Rabbit Polyclonal antibody recognizes PIAS3 |
|---|---|
| Tested Reactivity | Hu |
| Predict Reactivity | Ms, Rat |
| Tested Application | IHC-P, WB |
| Host | Rabbit |
| Clonality | Polyclonal |
| Isotype | IgG |
| Target Name | PIAS3 |
| Antigen Species | Human |
| Immunogen | KLH-conjugated synthetic peptide corresponding to aa. 95-126 of Human PIAS3. |
| Conjugation | Un-conjugated |
| Alternate Names | Protein inhibitor of activated STAT protein 3; E3 SUMO-protein ligase PIAS3; EC 6.3.2.-; ZMIZ5 |
Application Instructions
| Application Suggestion |
|
||||||
|---|---|---|---|---|---|---|---|
| Application Note | * The dilutions indicate recommended starting dilutions and the optimal dilutions or concentrations should be determined by the scientist. | ||||||
| Positive Control | HL-60 | ||||||
| Observed Size | 72 kDa |
Properties
| Form | Liquid |
|---|---|
| Purification | Purification with Protein G. |
| Buffer | PBS and 0.09% (W/V) Sodium azide. |
| Preservative | 0.09% (W/V) Sodium azide |
| Storage Instruction | For continuous use, store undiluted antibody at 2-8°C for up to a week. For long-term storage, aliquot and store at -20°C or below. Storage in frost free freezers is not recommended. Avoid repeated freeze/thaw cycles. Suggest spin the vial prior to opening. The antibody solution should be gently mixed before use. |
| Note | For laboratory research only, not for drug, diagnostic or other use. |
Bioinformation
| Database Links | |
|---|---|
| Gene Symbol | PIAS3 |
| Gene Full Name | protein inhibitor of activated STAT, 3 |
| Background | This gene encodes a member of the PIAS [protein inhibitor of activated STAT (signal transducer and activator of transcription)] family of transcriptional modulators. The protein functions as a SUMO (small ubiquitin-like modifier)-E3 ligase which catalyzes the covalent attachment of a SUMO protein to specific target substrates. It directly binds to several transcription factors and either blocks or enhances their activity. Alternatively spliced transcript variants of this gene have been identified, but the full-length nature of some of these variants has not been determined. [provided by RefSeq, Jul 2008] |
| Function | Functions as an E3-type small ubiquitin-like modifier (SUMO) ligase, stabilizing the interaction between UBE2I and the substrate, and as a SUMO-tethering factor. Plays a crucial role as a transcriptional coregulation in various cellular pathways, including the STAT pathway and the steroid hormone signaling pathway. Involved in regulating STAT3 signaling via inhibiting STAT3 DNA-binding and suppressing cell growth. Enhances the sumoylation of MTA1 and may participate in its paralog-selective sumoylation. Sumoylates CCAR2 which promotes its interaction with SIRT1. [UniProt] |
| Cellular Localization | Cytoplasm. Nucleus. Nucleus speckle. Note=Colocalizes with MITF in the nucleus. Colocalizes with GFI1 in nuclear dots. Colocalizes with SUMO1 in nuclear granules. [UniProt] |
| Calculated MW | 68 kDa |
| PTM | Sumoylated. [UniProt] |
Images (2) Click the Picture to Zoom In
-
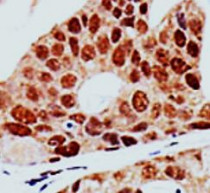
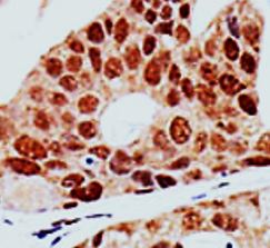
ARG59263 anti-PIAS3 antibody IHC-P image
Immunohistochemistry: Formalin-fixed and paraffin-embedded Human breast carcinoma stained with ARG59263 anti-PIAS3 antibody.
-
ARG59263 anti-PIAS3 antibody WB image
Western blot: 20 µg of HL-60 cell lysate stained with ARG59263 anti-PIAS3 antibody at 1:1000 dilution.
