Search Result - Primary Antibodies

  • anti-N-sulfated heparan sulfate antibody [HepSS-1]
  • Cat. No: ARG42188  (Mouse mAb)
  • Reactivity: Other
  • Application: FACS, ICC/IF, IHC-P, IP, WB
  • Specificity: This antibody recognizes N-sulfated heparan sulfate (extracellular antigen) present in many species.
  • Conjugation: Un-conjugated
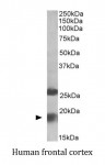
  • anti-MPV17 antibody
  • Cat. No: ARG42225  (Goat pAb)
  • Reactivity: Hu
  • Application: IHC-P, WB
  • Conjugation: Un-conjugated
  • anti-CD206 / MMR antibody [15-2] (FITC)
  • Cat. No: ARG42334  (Mouse mAb)
  • Reactivity: Hu
  • Application: FACS
  • Specificity: The mouse monoclonal antibody 15-2 (also known as MR15-2) recognizes an extracellular epitope of CD206 (macrophage mannose receptor, MMR), a 162-175 kDa type I transmembrane protein expressed mainly on macrophages, dendritic cells and hepatic or lymphatic endothelial cells, but not on monocytes.
  • Conjugation: FITC
  • anti-CXCR4 antibody [12G5] (APC)
  • Cat. No: ARG42303  (Mouse mAb)
  • Reactivity: Hu, NHuPrm
  • Application: FACS
  • Specificity: The mouse monoclonal antibody 12G5 recognizes an extracellular epitope of CD184, a 45 kDa G-protein-linked CXC chemokine receptor widely expressed on blood and tissue cells.
  • Conjugation: APC
  • anti-CD50 / ICAM3 antibody [MEM-04] (low endotoxin)
  • Cat. No: ARG42245  (Mouse mAb)
  • Reactivity: Hu
  • Application: FACS, IHC-P, FuncSt
  • Specificity: The antibody MEM-04 reacts with an extracellular epitope of CD50 (ICAM-3), a 120-130 kDa type I membrane protein (immunoglobulin supergene family) expressed on leukocytes, endothelial cells and Langerhans cells; it is negative on platelets and erythrocytes. The MEM-04 blocks DC-SIGN (CD209) binding to ICAM-3 (epitope in D1).
  • Conjugation: Un-conjugated
  • anti-CD273 / PD-L2 antibody [24F.10C12] (PE)
  • Cat. No: ARG42339  (Mouse mAb)
  • Reactivity: Hu
  • Application: FACS
  • Specificity: The mouse monoclonal antibody 24F.10C12 recognizes an extracellular epitope of CD273 / PD-L2 (also known as B7-DC), a 25 kDa type I transmembrane protein expressed by dendritic cells, activated monocytes and T cells, heart, first trimester placenta, lung and liver, as well as in Hodgkin´s lymphoma cells and primary mediastinal B cell lymphoma (PMBL).
  • Conjugation: PE