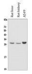
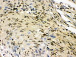
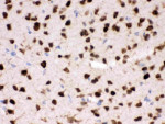
Home Primary Antibodies Search Result - Primary Antibodies There are 22559 results Primary Antibodies 18063 Secondary Antibodies 764 Isotype Controls 213 Antibody Duos and Panels 177 Reagents 564 Kits 2751 Multiplex 27 anti-AGO3 / eIF2C3 antibody Cat. No: ARG41988 (Rabbit pAb) Reactivity: Hu Application: WB Conjugation: Un-conjugated anti-TRIM37 antibody Cat. No: ARG42051 (Rabbit pAb) Reactivity: Ms, Rat Application: WB Conjugation: Un-conjugated anti-SLC6A8 antibody Cat. No: ARG42086 (Rabbit pAb) Reactivity: Hu, Ms Application: WB Conjugation: Un-conjugated anti-BMP1 antibody Cat. No: ARG42102 (Goat pAb) Reactivity: Hu, Ms, Rat Application: IHC-P, WB Specificity: This antibody is expected to recognize both reported isoforms (NP_001190.1; NP_006120.1). Conjugation: Un-conjugated anti-DNAJC5 / CSP antibody Cat. No: ARG42118 (Rabbit pAb) Reactivity: Ms, Rat Application: WB Conjugation: Un-conjugated anti-IDH1 antibody [16H7] Cat. No: ARG42111 (Mouse mAb) Reactivity: Hu, Ms, Rat Application: FACS, ICC/IF, WB Conjugation: Un-conjugated anti-MLC1 antibody Cat. No: ARG42202 (Rabbit pAb) Reactivity: Hu, Ms Application: WB Conjugation: Un-conjugated anti-CYB5B antibody Cat. No: ARG42208 (Rabbit pAb) Reactivity: Hu, Ms Application: WB Conjugation: Un-conjugated anti-HHLA2 / B7-H7 antibody Cat. No: ARG42207 (Rabbit pAb) Reactivity: Hu Application: IHC-P, WB Conjugation: Un-conjugated anti-IDH3A antibody Cat. No: ARG42154 (Rabbit pAb) Reactivity: Hu, Ms Application: ICC/IF, IHC-P, IP, WB Conjugation: Un-conjugated First Previous 668669670671672673674675676677678 Next Last