ARG45447
anti-DMC1 antibody
anti-DMC1 antibody for Flow cytometry,IHC-Formalin-fixed paraffin-embedded sections,Western blot and Human,Mouse,Rat
Overview
| Product Description | Rabbit Polyclonal antibody recognizes DMC1 |
|---|---|
| Tested Reactivity | Hu, Ms, Rat |
| Tested Application | FACS, IHC-P, WB |
| Host | Rabbit |
| Clonality | Polyclonal |
| Isotype | IgG |
| Target Name | DMC1 |
| Antigen Species | Human |
| Immunogen | Recombinant protein containing to human DMC1. |
| Conjugation | Un-conjugated |
| Alternate Names | DMC1; DNA Meiotic Recombinase 1; LIM15; Meiotic Recombination Protein DMC1/LIM15 Homolog; DMC1H; DMC1 (Dosage Suppressor Of Mck1, Yeast Homolog) Meiosis-Specific Homologous Recombination; DMC1 Dosage Suppressor Of Mck1 Homolog, Meiosis-Specific Homologous Recombination (Yeast); DMC1 Dosage Suppressor Of Mck1 Homolog, Meiosis-Specific Homologous Recombination; Disrupted Meiotic CDNA1, Yeast, Homolog Of; DJ199H16.1 |
Application Instructions
| Application Suggestion |
|
||||||||
|---|---|---|---|---|---|---|---|---|---|
| Application Note | * The dilutions indicate recommended starting dilutions and the optimal dilutions or concentrations should be determined by the scientist. | ||||||||
| Observed Size | 37 kDa |
Properties
| Form | Liquid |
|---|---|
| Purification | Affinity purified |
| Buffer | 0.2% Na2HPO4, 0.9% NaCl and 4% Trehalose. |
| Stabilizer | 4% Trehalose |
| Concentration | 0.5 mg/ml |
| Storage Instruction | For continuous use, store undiluted antibody at 2-8°C for up to a week. For long-term storage, aliquot and store at -20°C or below. Storage in frost free freezers is not recommended. Avoid repeated freeze/thaw cycles. Suggest spin the vial prior to opening. The antibody solution should be gently mixed before use. |
| Note | For laboratory research only, not for drug, diagnostic or other use. |
Bioinformation
| Database Links |
Swiss-port # Q14565 Human Meiotic recombination protein DMC1/LIM15 homolog Swiss-port # Q61880 Mouse Meiotic recombination protein DMC1/LIM15 homolog |
|---|---|
| Gene Symbol | DMC1 |
| Gene Full Name | DNA Meiotic Recombinase 1 |
| Background | This gene encodes a member of the superfamily of recombinases (also called DNA strand-exchange proteins). Recombinases are important for repairing double-strand DNA breaks during mitosis and meiosis. This protein, which is evolutionarily conserved, is reported to be essential for meiotic homologous recombination and may thus play an important role in generating diversity of genetic information. Alternative splicing results in multiple transcript variants. [provided by RefSeq, May 2013] |
| Function | Participates in meiotic recombination, specifically in homologous strand assimilation, which is required for the resolution of meiotic double-strand breaks. [UniProt] |
| Cellular Localization | Nucleus. [UniProt] |
| Calculated MW | 38 kDa |
Images (4) Click the Picture to Zoom In
-
ARG45447 anti-DMC1 antibody WB image
Western blot: Hela stained with ARG45447 anti-DMC1 antibody at 0.5 μg/ml dilution.
-
ARG45447 anti-DMC1 antibody FACS image
Flow Cytometry: Jurkat stained with ARG45447 anti-DMC1 antibody at 1 µg/10^6 cells dilution.
-
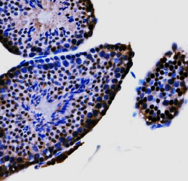
ARG45447 anti-DMC1 antibody IHC-P image
Immunohistochemistry: Rat testis stained with ARG45447 anti-DMC1 antibody at 2 μg/ml dilution.
-
ARG45447 anti-DMC1 antibody IHC-P image
Immunohistochemistry: Mouse testis stained with ARG45447 anti-DMC1 antibody at 2 μg/ml dilution.
