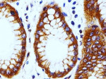
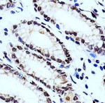
Home Primary Antibodies Search Result - Primary Antibodies There are 22501 results Primary Antibodies 18035 Secondary Antibodies 764 Isotype Controls 213 Antibody Duos and Panels 172 Reagents 542 Kits 2775 anti-LIF antibody Cat. No: ARG54923 (Rabbit pAb) Reactivity: Hu, Ms, Rat Application: ELISA, ICC/IF, WB Specificity: At least two isoforms of LIF are known to exist. Conjugation: Un-conjugated anti-Cathelicidin antibody Cat. No: ARG54943 (Rabbit pAb) Reactivity: Hu Application: ELISA, ICC/IF, IHC-P, WB Conjugation: Un-conjugated anti-ULK3 antibody Cat. No: ARG54949 (Rabbit pAb) Reactivity: Hu Application: ELISA, ICC/IF, IHC-P, WB Specificity: ULK3 antibody is human specific. Multiple isoforms of ULK3 are known to exist. Conjugation: Un-conjugated anti-ATG16L antibody Cat. No: ARG54957 (Rabbit pAb) Reactivity: Hu, Ms Application: ICC/IF, IHC-P, WB Conjugation: Un-conjugated anti-GOLPH3 antibody Cat. No: ARG55054 (Rabbit pAb) Reactivity: Hu, Ms, Rat Application: ELISA, ICC/IF, WB Conjugation: Un-conjugated anti-Calpain 2 antibody [1381CT669.7.66.71] Cat. No: ARG55063 (Mouse mAb) Reactivity: Hu, Ms Application: FACS, IHC-P, WB Conjugation: Un-conjugated anti-Cellular Apoptosis Susceptibility antibody Cat. No: ARG55082 (Rabbit pAb) Reactivity: Hu, Ms Application: ICC/IF, IHC-P, WB Conjugation: Un-conjugated anti-TGF beta 1 antibody (1 Publications) Cat. No: ARG55096 (Rabbit pAb) Reactivity: Hu, Ms, Rat Application: WB Conjugation: Un-conjugated anti-Beclin 1 antibody Cat. No: ARG55173 (Rabbit pAb) Reactivity: Hu, Ms Application: ELISA, ICC/IF, WB Conjugation: Un-conjugated anti-Caspase 1 antibody Cat. No: ARG55174 (Rabbit pAb) Reactivity: Hu Application: ELISA, ICC/IF, IHC-P, WB Specificity: Depending on cell lines or tissues used, other cleavage products may be observed. Conjugation: Un-conjugated First Previous 778779780781782783784785786787788 Next Last