ARG64054
anti-SBP2 antibody
anti-SBP2 antibody for ICC/IF,IHC-Formalin-fixed paraffin-embedded sections,Immunoprecipitation,Western blot and Human,Mouse
Cell Biology and Cellular Response antibody; Gene Regulation antibody; Metabolism antibody; Signaling Transduction antibody
Overview
| Product Description | Goat Polyclonal antibody recognizes SBP2 |
|---|---|
| Tested Reactivity | Hu, Ms |
| Predict Reactivity | Cow, Dog, Pig |
| Tested Application | ICC/IF, IHC-P, IP, WB |
| Host | Goat |
| Clonality | Polyclonal |
| Isotype | IgG |
| Target Name | SBP2 |
| Antigen Species | Human |
| Immunogen | C-KERQERKQRLQEN |
| Conjugation | Un-conjugated |
| Alternate Names | Selenocysteine insertion sequence-binding protein 2; SBP2; SECIS-binding protein 2 |
Application Instructions
| Application Suggestion |
|
||||||||||
|---|---|---|---|---|---|---|---|---|---|---|---|
| Application Note | IHC-P: Antigen Retrieval: Microwaved tissue section in Tris/EDTA buffer (pH 9.0). WB: Recommend incubate at RT for 1h. * The dilutions indicate recommended starting dilutions and the optimal dilutions or concentrations should be determined by the scientist. |
Properties
| Form | Liquid |
|---|---|
| Purification | Purified from goat serum by antigen affinity chromatography. |
| Buffer | Tris saline (pH 7.3), 0.02% Sodium azide and 0.5% BSA. |
| Preservative | 0.02% Sodium azide |
| Stabilizer | 0.5% BSA |
| Concentration | 0.5 mg/ml |
| Storage Instruction | For continuous use, store undiluted antibody at 2-8°C for up to a week. For long-term storage, aliquot and store at -20°C or below. Storage in frost free freezers is not recommended. Avoid repeated freeze/thaw cycles. Suggest spin the vial prior to opening. The antibody solution should be gently mixed before use. |
| Note | For laboratory research only, not for drug, diagnostic or other use. |
Bioinformation
| Database Links |
Swiss-port # Q96T21 Human Selenocysteine insertion sequence-binding protein 2 |
|---|---|
| Background | The incorporation of selenocysteine into a protein requires the concerted action of an mRNA element called a sec insertion sequence (SECIS), a selenocysteine-specific translation elongation factor and a SECIS binding protein. With these elements in place, a UGA codon can be decoded as selenocysteine. The gene described in this record encodes a nuclear protein that functions as a SECIS binding protein. Mutations in this gene have been associated with a reduction in activity of a specific thyroxine deiodinase, a selenocysteine-containing enzyme, and abnormal thyroid hormone metabolism. [provided by RefSeq, Jul 2008] |
| Research Area | Cell Biology and Cellular Response antibody; Gene Regulation antibody; Metabolism antibody; Signaling Transduction antibody |
| Calculated MW | 95 kDa |
Images (2) Click the Picture to Zoom In
-
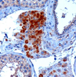
ARG64054 anti-SBP2 antibody IHC-P image
Immunohistochemistry: paraffin embedded Human Testis. (Microwaved antigen retrieval with Tris/EDTA buffer pH9) stained with ARG64054 anti-SBP2 antibody at 3 µg/ml dilution followed by HRP-staining.
-
ARG64054 anti-SBP2 antibody WB image
Western blot: HFF cell lysate with A) control siRNA or B) 100 nM siRNA. The blots were stained with ARG64054 anti-SBP2 antibody.
