ARG30348
Exosome Antibody Panel
Component
| Cat No | Component Name | Host clonality | Reactivity | Application | Package |
|---|---|---|---|---|---|
| ARG57952 | anti-CD63 antibody | Rabbit pAb | Hu | ICC/IF, IHC-P, WB | 20 μl |
| ARG40187 | anti-TSG101 antibody | Rabbit pAb | Hu, Ms, Rat | FACS, ICC/IF, IHC-P, WB | 20 μl |
| ARG57583 | anti-GM130 antibody | Rabbit pAb | Cow, Dog, Hu, Mk, Ms, Rat | ICC/IF, IHC-P, IP, WB | 20 μl |
Overview
| Target Name | Exosome |
|---|
Properties
| Storage Instruction | For continuous use, store undiluted antibody at 2-8°C for up to a week. For long-term storage, aliquot and store at -20°C or below. Storage in frost free freezers is not recommended. Avoid repeated freeze/thaw cycles. Suggest spin the vial prior to opening. The antibody solution should be gently mixed before use. |
|---|---|
| Note | For laboratory research only, not for drug, diagnostic or other use. |
Bioinformation
| Highlight | Related Product: anti-CD63 antibody; anti-TSG101 antibody; anti-GM130 antibody; |
|---|
Images (7) Click the Picture to Zoom In
-
ARG57583 anti-GM130 antibody ICC/IF image
Immunofluorescence: INS-1E stained with ARG57583 anti-GM130 antibody.
From Pugliese LA et al. preprint. (2024), doi: 10.3390/ijms251910391, Fig. 3. A.
-
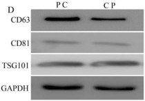
ARG57952 anti-CD63 antibody WB image
Western blot: Human pancreatic cancer and chronic pancreatitis stained with ARG57952 anti-CD63 antibody.
From Wu L et al. Oncology Letters- (2020), doi: 10.3892/ol.2020.11691, Fig. 1. D.
-
ARG57583 anti-GM130 antibody IHC-P image
Immunohistochemistry: Paraffin-embedded Human cervix carcinoma stained with ARG57583 anti-GM130 antibody.
-
ARG57952 anti-CD63 antibody IHC-P image
Immunohistochemistry: Paraffin-embedded Mouse testis stained with ARG57952 anti-CD63 antibody at 1:100 dilution.
-
ARG57583 anti-GM130 antibody WB image
Western blot: MCF7 cell lysate stained with ARG57583 anti-GM130 antibody.
-
ARG57952 anti-CD63 antibody WB image
Western blot: 25 µg of A375 cell lysate stained with ARG57952 anti-CD63 antibody at 1:1000 dilution.
-
ARG40187 anti-TSG101 antibody WB image
Western blot: Jurkat cell lysate stained with ARG40187 anti-TSG101 antibody.
Specific References

