ARG23804
Goat anti-Mouse IgG2a antibody (AP), pre-adsorbed
Goat anti-Mouse IgG2a antibody (AP), pre-adsorbed for ELISA,ELISPOT,Flow cytometry,FLISA,ICC/IF,IHC-Frozen sections,IHC-Formalin-fixed paraffin-embedded sections,Purification,Western blot and Mouse
Overview
| Product Description | AP-conjugated Goat Polyclonal antibody recognizes Mouse IgG2a |
|---|---|
| Tested Reactivity | Ms |
| Tested Application | ELISA, ELISPOT, FACS, FLISA, ICC/IF, IHC-Fr, IHC-P, Puri, WB |
| Specificity | Reacts with the heavy chain of mouse IgG2a as demonstrated by ELISA, FLISA, and/or flow cytometry. Minimal cross reactivity with human immunoglobulins. May react with immunoglobulins from other species. |
| Host | Goat |
| Clonality | Polyclonal |
| Isotype | IgG |
| Target Name | IgG2a |
| Antigen Species | Mouse |
| Conjugation | AP |
Application Instructions
| Pre Adsorbed | Mouse IgG1, IgG2b, IgG3, IgM, and IgA; Human immunoglobulins and pooled sera. | ||||||||||||||||||||
|---|---|---|---|---|---|---|---|---|---|---|---|---|---|---|---|---|---|---|---|---|---|
| Application Suggestion |
|
||||||||||||||||||||
| Application Note | * The dilutions indicate recommended starting dilutions and the optimal dilutions or concentrations should be determined by the scientist. |
Properties
| Form | Liquid |
|---|---|
| Purification | Affinity purification with immunogen. |
| Buffer | Tris (pH 8.0), 0.1% Sodium azide, 1 mM MgCl2 and 50% Glycerol. |
| Preservative | 0.1% Sodium azide |
| Stabilizer | 50% Glycerol |
| Storage Instruction | Aliquot and store in the dark at 2-8°C. Keep protected from prolonged exposure to light. Avoid repeated freeze/thaw cycles. Suggest spin the vial prior to opening. The antibody solution should be gently mixed before use. |
| Note | For laboratory research only, not for drug, diagnostic or other use. |
Images (7) Click the Picture to Zoom In
-
ARG23804 Goat anti-Mouse IgG2a antibody (AP), pre-adsorbed ICC/IF image
Immunofluorescence: Human pancreatic carcinoma cell line MIA PaCa-2 was stained with ARG22307 anti-Cytokeratin 8 antibody [SB37b] and ARG21506 anti-MMP1 antibody [SB12e] followed by ARG23804 Goat anti-Mouse IgG2a antibody (AP), pre-adsorbed and ARG21894 Goat anti-Mouse IgG2b antibody (HRP), pre-adsorbed, Red AP, DAB, and mounted with Fluoromount-G.
-
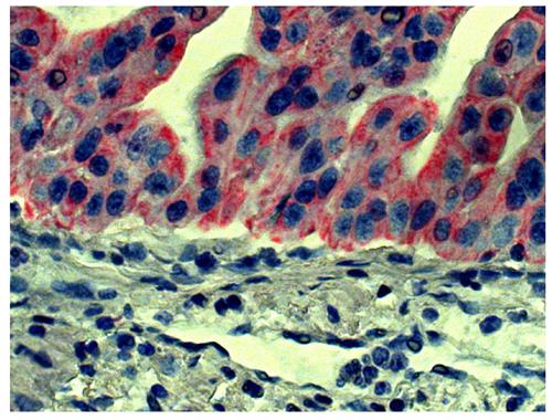
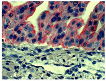
ARG23804 Goat anti-Mouse IgG2a antibody (AP), pre-adsorbed IHC-P image
Immunohistochemistry: Paraffin-embedded Human gastric cancer tissue was stained with Mouse anti-Human CD44 followed by ARG23804 Goat anti-Mouse IgG2a antibody (AP), pre-adsorbed, Red AP, hematoxylin, and mounted with Fluoromount-G.
-
ARG23804 Goat anti-Mouse IgG2a antibody (AP), pre-adsorbed ELISA image
ELISA: ELISA plate was coated with purified Mouse IgG1, IgG2a, IgG2b, IgG3, IgM, and IgA. Immunoglobulins were detected with serially diluted ARG23804 Goat anti-Mouse IgG2a antibody (AP), pre-adsorbed.
-
ARG23804 Goat anti-Mouse IgG2a antibody (AP), pre-adsorbed ICC/IF image
Immunofluorescence: Human pancreatic carcinoma cell line MIA PaCa-2 was stained with ARG22307 anti-Cytokeratin 8 antibody [SB37b] followed by ARG23804 Goat anti-Mouse IgG2a antibody (AP), pre-adsorbed, Red AP, and mounted with Fluoromount-G.
-
ARG23804 Goat anti-Mouse IgG2a antibody (AP), pre-adsorbed ICC/IF image
Immunofluorescence: Human pancreatic carcinoma cell line MIA PaCa-2 was stained with Mouse anti-Human EGFR (right) followed by ARG23804 Goat anti-Mouse IgG2a antibody (AP), pre-adsorbed, Red AP, and mounted with Fluoromount-G.
-
ARG23804 Goat anti-Mouse IgG2a antibody (AP), pre-adsorbed ICC/IF image
Immunofluorescence: Human pancreatic carcinoma cell line MIA PaCa-2 was stained with Mouse anti-Human CD44 followed by ARG23804 Goat anti-Mouse IgG2a antibody (AP), pre-adsorbed, Red AP, and mounted with Fluoromount-G.
-
ARG23804 Goat anti-Mouse IgG2a antibody (AP), pre-adsorbed ICC/IF image
Immunofluorescence: Human pancreatic carcinoma cell line MIA PaCa-2 was stained with Mouse anti-Human CD44 and Mouse anti-Acetyl-Histone H3 (Lys4) followed by ARG23804 Goat anti-Mouse IgG2a antibody (AP), pre-adsorbed and ARG21894 Goat anti-Mouse IgG2b antibody (HRP), pre-adsorbed, Red AP, DAB, and mounted with Fluoromount-G.
