ARG30052
Phospho mTOR Antibody Duo (Total, pS2448)
Cancer antibody; Cell Biology and Cellular Response antibody; Gene Regulation antibody; Metabolism antibody
Component
| Cat No | Component Name | Host clonality | Reactivity | Application | Package |
|---|---|---|---|---|---|
| ARG54675 | anti-mTOR antibody | Rabbit pAb | Hu, Ms | ELISA, ICC/IF, WB | 25 μg |
| ARG51712 | anti-mTOR phospho (Ser2448) antibody | Rabbit pAb | Hu, Ms, Rat | ICC/IF, IHC-P, WB | 50 μl |
Overview
| Product Description | The mammalian target of rapamycin (mTOR) regulates cell growth with the growth factor and nutrient status of the cell. mTOR is a direct substrate for the AKT kinase that phosphorylates mTOR at Ser-2448. Later it was found that the phosphorylation of mTOR at Ser-2448 also requires autophosphorylation at Ser-2481. mTOR phospho duo allows scientists to study the function of mTOR in the cell proliferation and homeostasis abnormality in tumor cells. The control of mTOR pSer-2448 phosphorylation by insulin might give more insight into the potential of mTOR as a target for cancer therapy. |
|---|---|
| Target Name | mTOR |
| Alternate Names | Phospho mTOR antibody; Phospho mechanistic target of rapamycin antibody; mTOR phospho (Ser2448) antibody; mTOR antibody |
Properties
| Storage Instruction | For continuous use, store undiluted antibody at 2-8°C for up to a week. For long-term storage, aliquot and store at -20°C or below. Storage in frost free freezers is not recommended. Avoid repeated freeze/thaw cycles. Suggest spin the vial prior to opening. The antibody solution should be gently mixed before use. |
|---|---|
| Note | For laboratory research only, not for drug, diagnostic or other use. |
Bioinformation
| Gene Full Name | Phospho mechanistic target of rapamycin (mTOR) Antibody Duo (Total, pS2448) |
|---|---|
| Highlight | Related Product: anti-mTOR antibody; anti-mTOR phospho (Ser2448) antibody; |
| Research Area | Cancer antibody; Cell Biology and Cellular Response antibody; Gene Regulation antibody; Metabolism antibody |
Images (10) Click the Picture to Zoom In
-
ARG51712 anti-mTOR phospho (Ser2448) antibody WB image
Western blot: HepG2 stained with ARG51712 anti-mTOR phospho (Ser2448) antibody and ARG51558 anti-Akt phospho (Ser473) antibody.
From Lu J et al. Toxicology- (2021), doi: 10.1016/j.tox.2021.152716, Fig. 2. A.
-
ARG51712 anti-mTOR phospho (Ser2448) antibody WB image
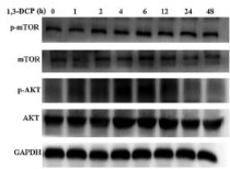
Western blot: Rat liver stained with ARG51712 anti-mTOR phospho (Ser2448) antibody and ARG57640 anti-mTOR antibody.
From Gong Y et al. Iran J Basic Med Sci (2022), doi: 10.22038/IJBMS.2022.64792.14272, Fig. 6D.
-
ARG51712 anti-mTOR phospho (Ser2448) antibody WB image
Western blot: Rat myocardial tissue stained with ARG51712 anti-mTOR phospho (Ser2448) antibody.
From Ying Liu et al. Pharmacognosy Magazine (2024), doi: 10.1177/09731296231220433, Fig. 5. A.
-
ARG51712 anti-mTOR phospho (Ser2448) antibody WB image
Western Blot: extracts from HeLa cells, treatedwith IFNa or calf intestinal phosphatase (CIP), stained with anti-mTOR (phospho Ser2448) antibody ARG51712.
-
ARG51712 anti-mTOR phospho (Ser2448) antibody WB image
Western Blot: extracts from 293 cells untreatedor treated with PMA stained with anti-mTOR (phospho Ser2448) antibody ARG51712.
-
ARG51712 anti-mTOR phospho (Ser2448) antibody IHC-P image
Immunohistochemistry: paraffin-embedded human breast carcinoma tissue stained with anti-mTOR (phospho Ser2448) antibody ARG51712 (left) or the same antibody preincubated with blocking peptide (right).
-
ARG51712 anti-mTOR phospho (Ser2448) antibody ICC/IF image
Immunofluorescence: methanol-fixed MCF cells stained with anti-mTOR (phospho Ser2448) antibody ARG51712.
-
ARG51712 anti-mTOR phospho (Ser2448) antibody IHC-P image
Immunohistochemistry: paraffin-embedded human breast carcinomatissue stained with ARG51712 anti-mTOR (phospho Ser2448) antibody.
-
ARG54675 anti-mTOR antibody ICC/IF image
Immunocytochemistry: L1210 cells stained with ARG54675 anti-mTOR antibody at 2 μg/ml.
-
ARG54675 anti-mTOR antibody WB image
Western blot: L1210 cell lysate stained with ARG54675 anti-mTOR antibody at (A) 1 and (B) 2 μg/ml.
Specific References

