ARG67310
anti-ABCC1 / MRP1 antibody [6B02]
anti-ABCC1 / MRP1 antibody [6B02] for IHC-Formalin-fixed paraffin-embedded sections,Western blot and Human,Mouse
Overview
| Product Description | Rabbit Monoclonal antibody [6B02] recognizes ABCC1 / MRP1 |
|---|---|
| Tested Reactivity | Hu, Ms |
| Tested Application | IHC-P, WB |
| Host | Rabbit |
| Clonality | Monoclonal |
| Clone | 6B02 |
| Isotype | IgG,Kappa |
| Target Name | ABCC1 / MRP1 |
| Conjugation | Un-conjugated |
| Alternate Names | GS-X; ATP-binding cassette sub-family C member 1; ABCC; Leukotriene C; ABC29; MRP; 4; LTC4 transporter; MRP1; Multidrug resistance-associated protein 1 |
Application Instructions
| Application Suggestion |
|
||||||
|---|---|---|---|---|---|---|---|
| Application Note | * The dilutions indicate recommended starting dilutions and the optimal dilutions or concentrations should be determined by the scientist. | ||||||
| Observed Size | 170-220 kDa |
Properties
| Form | Liquid |
|---|---|
| Purification | Purification with Protein A |
| Buffer | PBS, 50% glycerol, 0.05% Proclin 300, 0.05% BSA |
| Preservative | 0.05% Proclin 300 |
| Stabilizer | 50% glycerol and 0.05% BSA |
| Storage Instruction | For continuous use, store undiluted antibody at 2-8°C for up to a week. For long-term storage, aliquot and store at -20°C or below. Storage in frost free freezers is not recommended. Avoid repeated freeze/thaw cycles. Suggest spin the vial prior to opening. The antibody solution should be gently mixed before use. |
| Note | For laboratory research only, not for drug, diagnostic or other use. |
Bioinformation
| Database Links |
Swiss-port # O35379 Mouse Multidrug resistance-associated protein 1 Swiss-port # P33527 Human Multidrug resistance-associated protein 1 |
|---|---|
| Gene Symbol | ABCC1 |
| Gene Full Name | ATP-binding cassette, sub-family C (CFTR/MRP), member 1 |
| Background | The protein encoded by this gene is a member of the superfamily of ATP-binding cassette (ABC) transporters. ABC proteins transport various molecules across extra-and intra-cellular membranes. ABC genes are divided into seven distinct subfamilies (ABC1, MDR/TAP, MRP, ALD, OABP, GCN20, White). This full transporter is a member of the MRP subfamily which is involved in multi-drug resistance. This protein functions as a multispecific organic anion transporter, with oxidized glutatione, cysteinyl leukotrienes, and activated aflatoxin B1 as substrates. This protein also transports glucuronides and sulfate conjugates of steroid hormones and bile salts. Alternatively spliced variants of this gene have been described but their full-length nature is unknown. [provided by RefSeq, Apr 2012] |
| Function | Mediates export of organic anions and drugs from the cytoplasm. Mediates ATP-dependent transport of glutathione and glutathione conjugates, leukotriene C4, estradiol-17-beta-o-glucuronide, methotrexate, antiviral drugs and other xenobiotics. Confers resistance to anticancer drugs. Hydrolyzes ATP with low efficiency. [UniProt] |
| Cellular Localization | Cell membrane. [UniProt] |
| Calculated MW | 172 kDa |
Images (3) Click the Picture to Zoom In
-
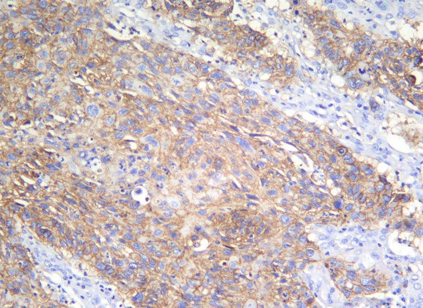
ARG67310 anti-ABCC1 / MRP1 antibody [6B02] IHC-P image
Immunohistochemistry: Human lung cancer stained with ARG67310 anti-ABCC1 / MRP1 antibody [6B02].
-
ARG67310 anti-ABCC1 / MRP1 antibody [6B02] WB image
Western blot: HCT-16 stained with ARG67310 anti-ABCC1 / MRP1 antibody [6B02].
-
ARG67310 anti-ABCC1 / MRP1 antibody [6B02] WB image
Western blot: Mouse lung stained with ARG67310 anti-ABCC1 / MRP1 antibody [6B02].
