ARG59210
anti-ABI1 / SSH3BP1 antibody
anti-ABI1 / SSH3BP1 antibody for IHC-Formalin-fixed paraffin-embedded sections,Western blot and Human,Mouse,Rat
Overview
| Product Description | Rabbit Polyclonal antibody recognizes ABI1 / SSH3BP1 |
|---|---|
| Tested Reactivity | Hu, Ms, Rat |
| Predict Reactivity | Bov |
| Tested Application | IHC-P, WB |
| Host | Rabbit |
| Clonality | Polyclonal |
| Isotype | IgG |
| Target Name | ABI1 / SSH3BP1 |
| Antigen Species | Human |
| Immunogen | Synthetic peptide corresponding to aa. 483-494 of Human ABI1 / SSH3BP1. (WYEGVCNRVTGL) |
| Conjugation | Un-conjugated |
| Alternate Names | e3B1; Abl-binding protein 4; ABLBP4; Abl interactor 1; Nap1-binding protein; AblBP4; Eps8-binding protein; ABI-1; Abi-1; SSH3BP; E3B1; NAP1BP; Spectrin SH3 domain-binding protein 1; Eps8 SH3 domain-binding protein; Nap1BP; Abelson interactor 1; SSH3BP1 |
Application Instructions
| Application Suggestion |
|
||||||
|---|---|---|---|---|---|---|---|
| Application Note | IHC-P: Antigen Retrieval: Heat mediation was performed in Citrate buffer (pH 6.0) for 20 min. * The dilutions indicate recommended starting dilutions and the optimal dilutions or concentrations should be determined by the scientist. |
Properties
| Form | Liquid |
|---|---|
| Purification | Affinity purification with immunogen. |
| Buffer | 0.9% NaCl, 0.2% Na2HPO4, 0.05% Thimerosal, 0.05% Sodium azide and 5% BSA. |
| Preservative | 0.05% Thimerosal and 0.05% Sodium azide |
| Stabilizer | 5% BSA |
| Concentration | 0.5 mg/ml |
| Storage Instruction | For continuous use, store undiluted antibody at 2-8°C for up to a week. For long-term storage, aliquot and store at -20°C or below. Storage in frost free freezers is not recommended. Avoid repeated freeze/thaw cycles. Suggest spin the vial prior to opening. The antibody solution should be gently mixed before use. |
| Note | For laboratory research only, not for drug, diagnostic or other use. |
Bioinformation
| Database Links | |
|---|---|
| Gene Symbol | ABI1 |
| Gene Full Name | abl-interactor 1 |
| Background | This gene encodes a member of the Abelson-interactor family of adaptor proteins. These proteins facilitate signal transduction as components of several multiprotein complexes, and regulate actin polymerization and cytoskeletal remodeling through interactions with Abelson tyrosine kinases. The encoded protein plays a role in macropinocytosis as a component of the WAVE2 complex, and also forms a complex with EPS8 and SOS1 that mediates signal transduction from Ras to Rac. This gene may play a role in the progression of several malignancies including melanoma, colon cancer and breast cancer, and a t(10;11) chromosomal translocation involving this gene and the MLL gene has been associated with acute myeloid leukemia. Alternatively spliced transcript variants encoding multiple isoforms have been observed for this gene, and a pseudogene of this gene is located on the long arm of chromosome 14. [provided by RefSeq, Sep 2011] |
| Function | May act in negative regulation of cell growth and transformation by interacting with nonreceptor tyrosine kinases ABL1 and/or ABL2. May play a role in regulation of EGF-induced Erk pathway activation. Involved in cytoskeletal reorganization and EGFR signaling. Together with EPS8 participates in transduction of signals from Ras to Rac. In vitro, a trimeric complex of ABI1, EPS8 and SOS1 exhibits Rac specific guanine nucleotide exchange factor (GEF) activity and ABI1 seems to act as an adapter in the complex. Regulates ABL1/c-Abl-mediated phosphorylation of ENAH. Recruits WASF1 to lamellipodia and there seems to regulate WASF1 protein level. In brain, seems to regulate the dendritic outgrowth and branching as well as to determine the shape and number of synaptic contacts of developing neurons. [UniProt] |
| Cellular Localization | Cytoplasm. Nucleus. Cell projection, lamellipodium. Cell projection, filopodium. Cell projection, growth cone. Cell junction, synapse, postsynaptic cell membrane, postsynaptic density. Cytoplasm, cytoskeleton. Note=Localized to protruding lamellipodia and filopodia tips. Also localized to neuronal growth cones and synaptosomes. May shuttle from the postsynaptic densities to the nucleus (By similarity). [UniProt] |
| Calculated MW | 55 kDa |
| PTM | Phosphorylated on tyrosine residues after serum stimulation or induction by v-Abl. Seems to be phosphorylated at Tyr-53 by ABL1, required for nuclear but not for synaptic localization. [UniProt] |
Images (5) Click the Picture to Zoom In
-
ARG59210 anti-ABI1 / SSH3BP1 antibody IHC-P image
Immunohistochemistry: Paraffin-embedded Rat brain stained with ARG59210 anti-ABI1 / SSH3BP1 antibody.
-
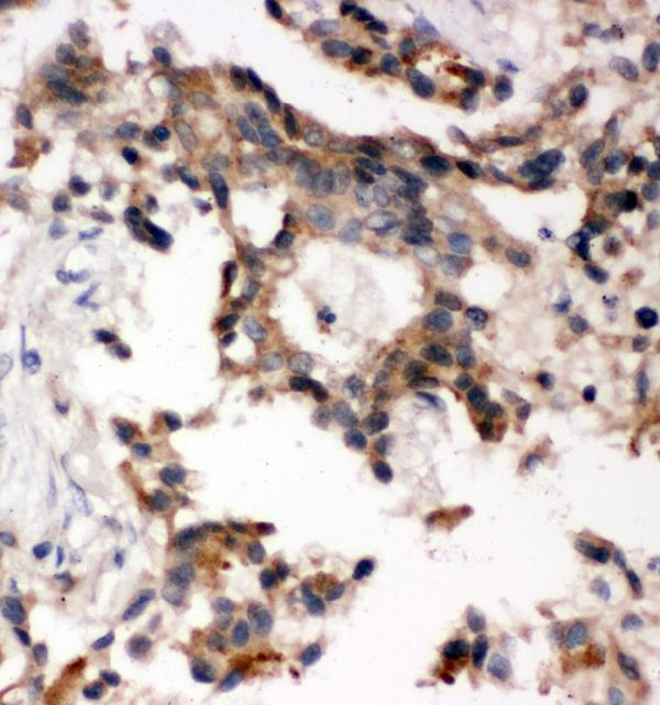
ARG59210 anti-ABI1 / SSH3BP1 antibody IHC-P image
Immunohistochemistry: Paraffin-embedded Human lung cancer tissue. Antigen Retrieval: Heat mediation was performed in Citrate buffer (pH 6.0) for 20 min. The tissue section was blocked with 10% goat serum. The tissue section was then stained with ARG59210 anti-ABI1 / SSH3BP1 antibody at 1 µg/ml dilution, overnight at 4°C.
-
ARG59210 anti-ABI1 / SSH3BP1 antibody WB image
Western blot: Rat liver, Rat brain, MDA-MB-231, HeLa, SMMC-7721 and Jurkat lysates stained with ARG59210 anti-ABI1 / SSH3BP1 antibody.
-
ARG59210 anti-ABI1 / SSH3BP1 antibody WB image
Western blot: 50 µg of sample under reducing conditions. Rat brain, Mouse brain and THP-1 whole cell lysates stained with ARG59210 anti-ABI1 / SSH3BP1 antibody at 0.5 µg/ml dilution, overnight at 4°C.
-
ARG59210 anti-ABI1 / SSH3BP1 antibody IHC-P image
Immunohistochemistry: Paraffin-embedded Rat brain tissue. Antigen Retrieval: Heat mediation was performed in Citrate buffer (pH 6.0) for 20 min. The tissue section was blocked with 10% goat serum. The tissue section was then stained with ARG59210 anti-ABI1 / SSH3BP1 antibody at 1 µg/ml dilution, overnight at 4°C.
