ARG58222
anti-ABR antibody
anti-ABR antibody for IHC-Formalin-fixed paraffin-embedded sections,Western blot and Human,Mouse,Rat
Overview
| Product Description | Rabbit Polyclonal antibody recognizes ABR |
|---|---|
| Tested Reactivity | Hu, Ms, Rat |
| Tested Application | IHC-P, WB |
| Host | Rabbit |
| Clonality | Polyclonal |
| Isotype | IgG |
| Target Name | ABR |
| Antigen Species | Human |
| Immunogen | Synthetic peptide corresponding to aa. 370-407 of Human ABR. (HPFPDHELEDMKMKISALKSEIQKEKANKGQSRAIERL) |
| Conjugation | Un-conjugated |
| Alternate Names | MDB; Active breakpoint cluster region-related protein |
Application Instructions
| Application Suggestion |
|
||||||
|---|---|---|---|---|---|---|---|
| Application Note | IHC-P: Antigen Retrieval: By heat mediation. * The dilutions indicate recommended starting dilutions and the optimal dilutions or concentrations should be determined by the scientist. |
Properties
| Form | Liquid |
|---|---|
| Purification | Affinity purification with immunogen. |
| Buffer | 0.9% NaCl, 0.2% Na2HPO4, 0.05% Sodium azide and 5% BSA. |
| Preservative | 0.05% Sodium azide |
| Stabilizer | 5% BSA |
| Concentration | 0.5 mg/ml |
| Storage Instruction | For continuous use, store undiluted antibody at 2-8°C for up to a week. For long-term storage, aliquot and store at -20°C or below. Storage in frost free freezers is not recommended. Avoid repeated freeze/thaw cycles. Suggest spin the vial prior to opening. The antibody solution should be gently mixed before use. |
| Note | For laboratory research only, not for drug, diagnostic or other use. |
Bioinformation
| Database Links |
Swiss-port # Q12979 Human Active breakpoint cluster region-related protein Swiss-port # Q5SSL4 Mouse Active breakpoint cluster region-related protein |
|---|---|
| Gene Symbol | ABR |
| Gene Full Name | active BCR-related |
| Background | This gene encodes a protein that is similar to the protein encoded by the breakpoint cluster region gene located on chromosome 22. The protein encoded by this gene contains a GTPase-activating protein domain, a domain found in members of the Rho family of GTP-binding proteins. Functional studies in mice determined that this protein plays a role in vestibular morphogenesis. Alternatively spliced transcript variants have been reported for this gene. [provided by RefSeq, Feb 2012] |
| Function | GTPase-activating protein for RAC and CDC42. Promotes the exchange of RAC or CDC42-bound GDP by GTP, thereby activating them. [UniProt] |
| Calculated MW | 98 kDa |
Images (4) Click the Picture to Zoom In
-
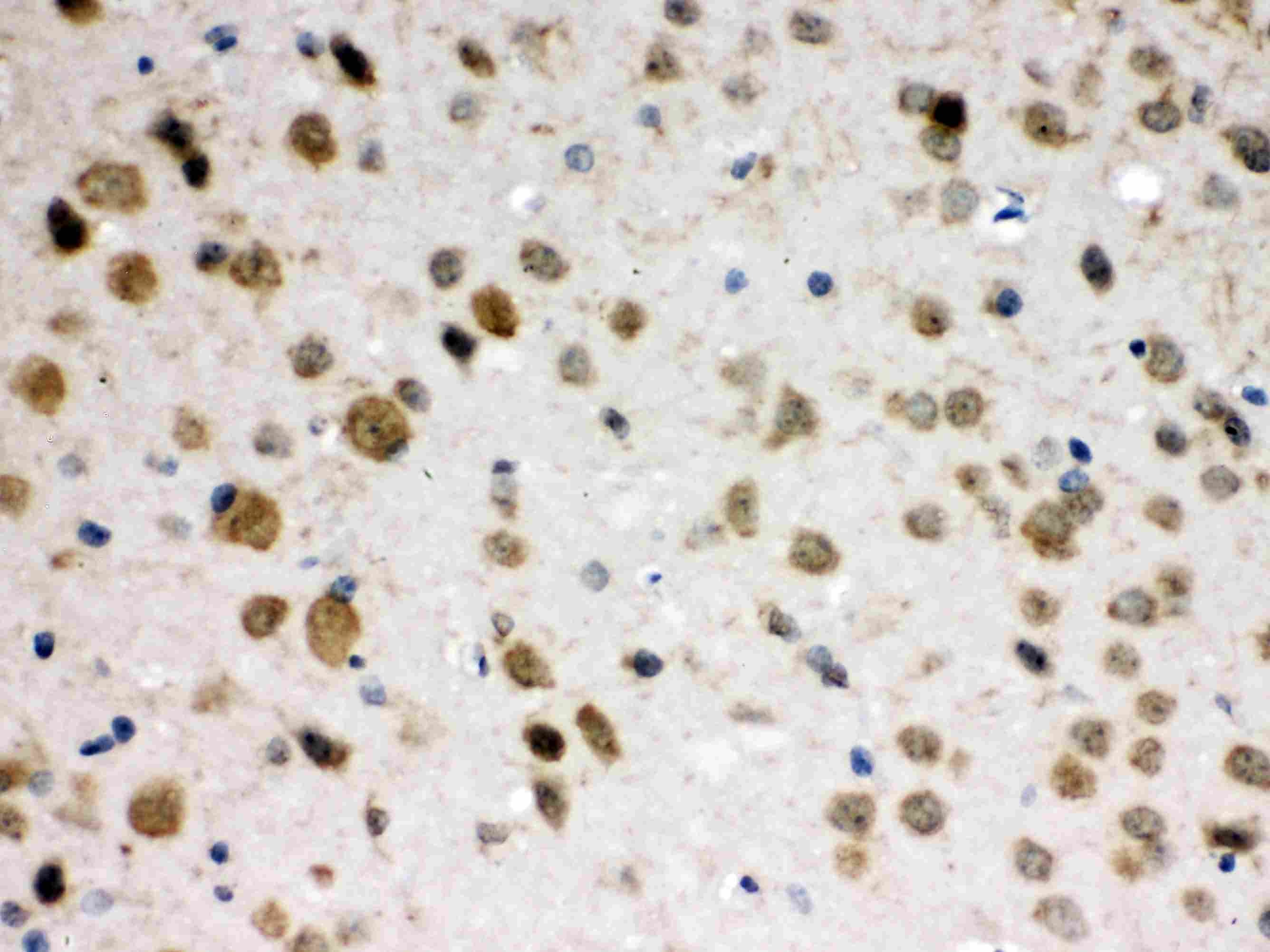
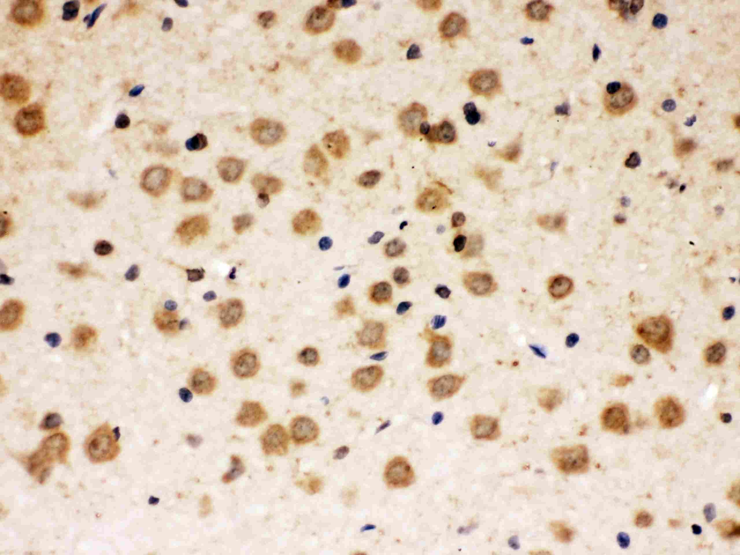
ARG58222 anti-ABR antibody IHC-P image
Immunohistochemistry: Paraffin-embedded Mouse brain stained with ARG58222 anti-ABR antibody at 1 µg/ml dilution.
-
ARG58222 anti-ABR antibody WB image
Western blot: Rat brain and Mouse brain extracts stained with ARG58222 anti-ABR antibody at 0.5 µg/ml dilution.
-
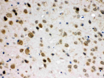
ARG58222 anti-ABR antibody IHC-P image
Immunohistochemistry: Paraffin-embedded Rat brain stained with ARG58222 anti-ABR antibody at 1 µg/ml dilution.
-
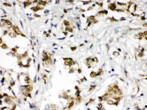
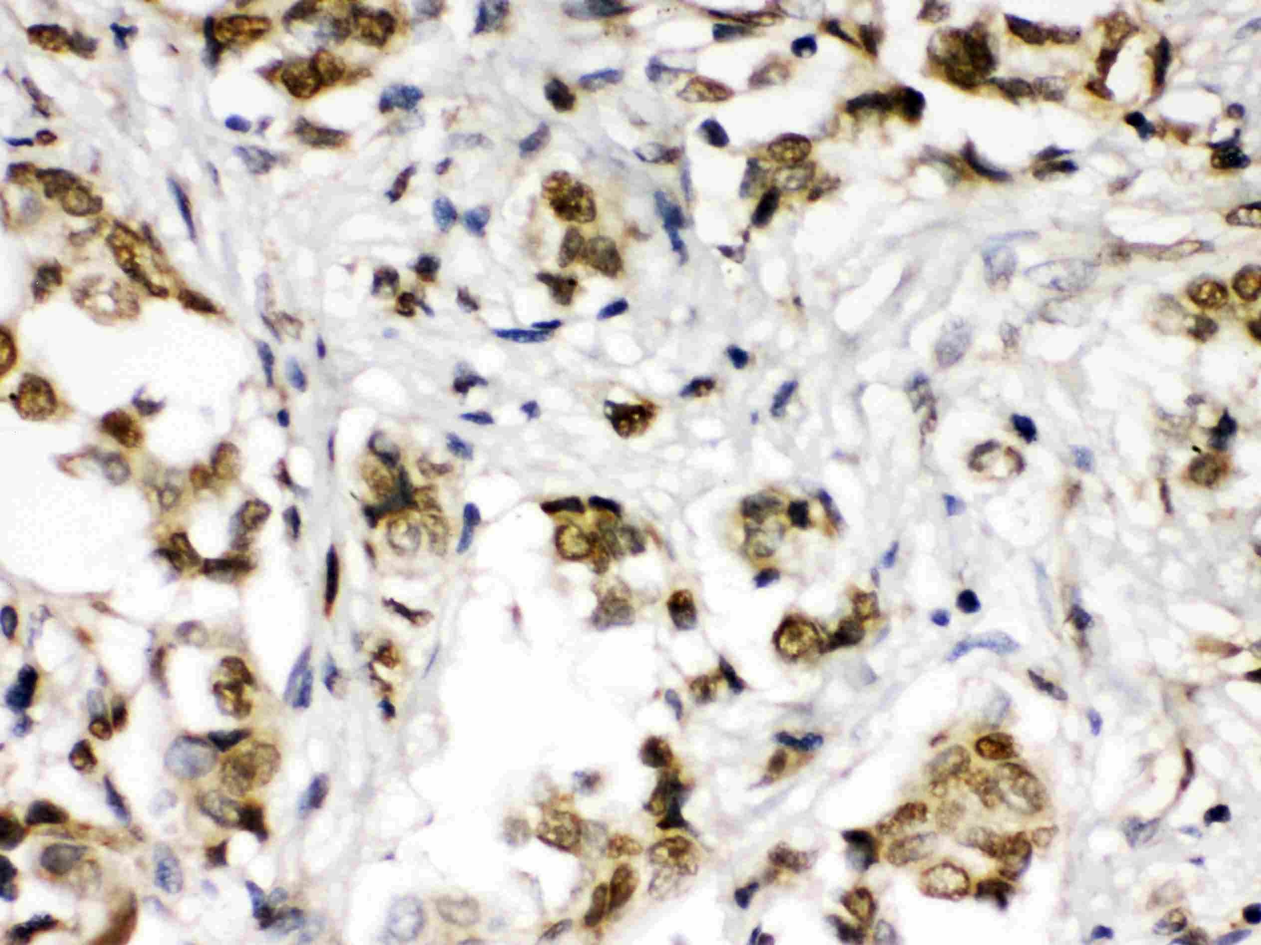
ARG58222 anti-ABR antibody IHC-P image
Immunohistochemistry: Paraffin-embedded Human mammary cancer stained with ARG58222 anti-ABR antibody at 1 ug/mL dilution.
