ARG46076
anti-ABRA1 / CCDC98 antibody
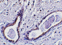
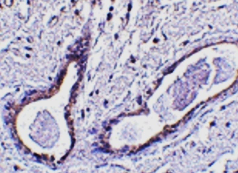
anti-ABRA1 / CCDC98 antibody for Western blot,IHC-Formalin-fixed paraffin-embedded sections and Human,Mouse
Overview
| Product Description | Rabbit Polyclonal antibody recognizes ABRA1 / CCDC98 |
|---|---|
| Tested Reactivity | Hu, Ms |
| Tested Application | IHC-P, WB |
| Host | Rabbit |
| Clonality | Polyclonal |
| Isotype | IgG |
| Target Name | ABRA1 / CCDC98 |
| Antigen Species | Human |
| Immunogen | A 15 amino acid synthetic peptide within aa. 80 - 130 of human ABRA1 / CCDC98. |
| Conjugation | Un-conjugated |
| Alternate Names | ABRAXAS1; Protein FAM175A; Coiled-coil domain-containing protein 98; ABRA1; CCDC98; BRCA1-A complex subunit Abraxas |
Application Instructions
| Application Suggestion |
|
||||||
|---|---|---|---|---|---|---|---|
| Application Note | * The dilutions indicate recommended starting dilutions and the optimal dilutions or concentrations should be determined by the scientist. |
Properties
| Purification | Affinity chromatography purified |
|---|---|
| Buffer | PBS and 0.02% Sodium azide. |
| Preservative | 0.02% Sodium azide |
| Concentration | 1 mg/ml |
| Storage Instruction | For continuous use, store undiluted antibody at 2-8°C for up to a week. For long-term storage, aliquot and store at -20°C. Storage in frost free freezers is not recommended. Avoid repeated freeze/thaw cycles. Suggest spin the vial prior to opening. The antibody solution should be gently mixed before use. |
| Note | For laboratory research only, not for drug, diagnostic or other use. |
Bioinformation
| Database Links | |
|---|---|
| Gene Symbol | ABRAXAS1 |
| Gene Full Name | family with sequence similarity 175, member A |
| Background | ABRA1 (Abraxas), also known as CCDC98, is an adaptor protein that is essential for formation and function of BRCA1 A tumor suppressor complex. This complex plays critical roles in DNA repair, cell cycle checkpoint control, and maintenance of genomic stability. ABRA1 mediates interaction of ubiquitin-interacting motif-containing protein RAP80 and deubiquitination enzyme BRCC36 with BRCA1/BARD1. ABRA1 controls both DNA-damage-induced formation of BRCA1 foci and BRCA1-dependent G2/M checkpoint activation. |
| Function | Involved in DNA damage response and double-strand break (DSB) repair. Component of the BRCA1-A complex, acting as a central scaffold protein that assembles the various components of the complex and mediates the recruitment of BRCA1. The BRCA1-A complex specifically recognizes 'Lys-63'-linked ubiquitinated histones H2A and H2AX at DNA lesion sites, leading to target the BRCA1-BARD1 heterodimer to sites of DNA damage at DSBs. This complex also possesses deubiquitinase activity that specifically removes 'Lys-63'-linked ubiquitin on histones H2A and H2AX. [UniProt] |
| Calculated MW | 47 kDa |
| PTM | Phosphorylation of Ser-406 of the pSXXF motif by ATM or ATR constitutes a specific recognition motif for the BRCT domain of BRCA1 (PubMed:17643121, PubMed:17525340, PubMed:17643122). Ionizing radiation promotes rapid phosphorylation at Ser-404 and Ser-406 by ATM; this promotes recruitment of BRCA1 to sites of DNA damage (PubMed:26778126). |
Images (2) Click the Picture to Zoom In
