ARG45266
anti-ACAD9 antibody
anti-ACAD9 antibody for Flow cytometry,IHC-Formalin-fixed paraffin-embedded sections,Western blot and Human
Overview
| Product Description | Polyclonal antibody recognizes ACAD9 |
|---|---|
| Tested Reactivity | Hu |
| Tested Application | FACS, IHC-P, WB |
| Host | Rabbit |
| Clonality | Polyclonal |
| Isotype | IgG |
| Target Name | ACAD9 |
| Antigen Species | Human |
| Immunogen | Recombinant protein containing to human ACAD9. |
| Conjugation | Un-conjugated |
| Alternate Names | NPD002; EC 1.3.99.-; Acyl-CoA dehydrogenase family member 9, mitochondrial; ACAD-9 |
Application Instructions
| Application Suggestion |
|
||||||||
|---|---|---|---|---|---|---|---|---|---|
| Application Note | * The dilutions indicate recommended starting dilutions and the optimal dilutions or concentrations should be determined by the scientist. | ||||||||
| Observed Size | 69 kDa |
Properties
| Form | Liquid |
|---|---|
| Purification | Affinity purification with immunogen. |
| Buffer | 0.2% Na2HPO4, 0.9% NaCl and 4% Trehalose. |
| Stabilizer | 4% Trehalose |
| Concentration | 0.5 mg/ml |
| Storage Instruction | For continuous use, store undiluted antibody at 2-8°C for up to a week. For long-term storage, aliquot and store at -20°C or below. Storage in frost free freezers is not recommended. Avoid repeated freeze/thaw cycles. Suggest spin the vial prior to opening. The antibody solution should be gently mixed before use. |
| Note | For laboratory research only, not for drug, diagnostic or other use. |
Bioinformation
| Database Links |
Swiss-port # Q9H845 Human Acyl-CoA dehydrogenase family member 9, mitochondrial |
|---|---|
| Gene Symbol | ACAD9 |
| Gene Full Name | acyl-CoA dehydrogenase family, member 9 |
| Background | ACAD-9 is a member of the acyl-CoA dehydrogenase family (ACAD). ACAD-9 is localized to the mitochondria and plays a key role in the beta -oxidation of long-chain unsaturated fatty acids. ACAD-9 is active toward palmitoyl-CoA and stearoyl-CoA substrates. |
| Function | As part of the MCIA complex, primarily participates in the assembly of the mitochondrial complex I and therefore plays a role in oxidative phosphorylation. [UniProt] |
| Cellular Localization | Membrane; Mitochondrion; Mitochondrion inner membrane. [UniProt] |
| Calculated MW | 69 kDa |
| PTM | Acetylation; Phosphoprotein. [UniProt] |
Images (3) Click the Picture to Zoom In
-
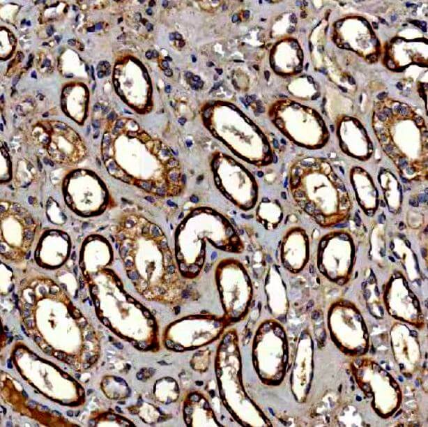
ARG45266 anti-ACAD9 antibody IHC-P image
Immunohistochemistry: Human renal cancer stained with ARG45266 anti-ACAD9 antibody at 2 μg/ml dilution.
-
ARG45266 anti-ACAD9 antibody WB image
Western blot: 293T and K562 stained with ARG45266 anti-ACAD9 antibody at 0.5 μg/ml dilution.
-
ARG45266 anti-ACAD9 antibody FACS image
Flow Cytometry: A549 stained with ARG45266 anti-ACAD9 antibody at 1 µg/10^6 cells dilution.
