ARG42695
anti-ACKR2 antibody
anti-ACKR2 antibody for IHC-Formalin-fixed paraffin-embedded sections,Western blot and Human
Overview
| Product Description | Rabbit Polyclonal antibody recognizes ACKR2 |
|---|---|
| Tested Reactivity | Hu |
| Tested Application | IHC-P, WB |
| Host | Rabbit |
| Clonality | Polyclonal |
| Isotype | IgG |
| Target Name | ACKR2 |
| Antigen Species | Human |
| Immunogen | Recombinant protein corresponding to M138-A384 of Human ACKR2. |
| Conjugation | Un-conjugated |
| Alternate Names | hD6; Chemokine receptor CCR-9; Chemokine-binding protein 2; CCR10; Atypical chemokine receptor 2; Chemokine-binding protein D6; C-C chemokine receptor D6; Chemokine receptor CCR-10; D6; CCR9; CMKBR9; CCBP2 |
Application Instructions
| Application Suggestion |
|
||||||
|---|---|---|---|---|---|---|---|
| Application Note | * The dilutions indicate recommended starting dilutions and the optimal dilutions or concentrations should be determined by the scientist. | ||||||
| Observed Size | ~ 55 kDa |
Properties
| Form | Liquid |
|---|---|
| Purification | Affinity purification with immunogen. |
| Buffer | 0.2% Na2HPO4, 0.9% NaCl, 0.05% Sodium azide and 4% Trehalose. |
| Preservative | 0.05% Sodium azide |
| Stabilizer | 4% Trehalose |
| Concentration | 0.5 mg/ml |
| Storage Instruction | For continuous use, store undiluted antibody at 2-8°C for up to a week. For long-term storage, aliquot and store at -20°C or below. Storage in frost free freezers is not recommended. Avoid repeated freeze/thaw cycles. Suggest spin the vial prior to opening. The antibody solution should be gently mixed before use. |
| Note | For laboratory research only, not for drug, diagnostic or other use. |
Bioinformation
| Database Links | |
|---|---|
| Gene Symbol | ACKR2 |
| Gene Full Name | atypical chemokine receptor 2 |
| Background | This gene encodes a beta chemokine receptor, which is predicted to be a seven transmembrane protein similar to G protein-coupled receptors. Chemokines and their receptor-mediated signal transduction are critical for the recruitment of effector immune cells to the inflammation site. This gene is expressed in a range of tissues and hemopoietic cells. The expression of this receptor in lymphatic endothelial cells and overexpression in vascular tumors suggested its function in chemokine-driven recirculation of leukocytes and possible chemokine effects on the development and growth of vascular tumors. This receptor appears to bind the majority of beta-chemokine family members; however, its specific function remains unknown. This gene is mapped to chromosome 3p21.3, a region that includes a cluster of chemokine receptor genes. [provided by RefSeq, Jul 2008] |
| Function | Atypical chemokine receptor that controls chemokine levels and localization via high-affinity chemokine binding that is uncoupled from classic ligand-driven signal transduction cascades, resulting instead in chemokine sequestration, degradation, or transcytosis. Also known as interceptor (internalizing receptor) or chemokine-scavenging receptor or chemokine decoy receptor. Acts as a receptor for chemokines including CCL2, CCL3, CCL3L1, CCL4, CCL5, CCL7, CCL8, CCL11, CCL13, CCL17, CCL22, CCL23, CCL24, SCYA2/MCP-1, SCY3/MIP-1-alpha, SCYA5/RANTES and SCYA7/MCP-3. Upon active ligand stimulation, activates a beta-arrestin 1 (ARRB1)-dependent, G protein-independent signaling pathway that results in the phosphorylation of the actin-binding protein cofilin (CFL1) through a RAC1-PAK1-LIMK1 signaling pathway. Activation of this pathway results in up-regulation of ACKR2 from endosomal compartment to cell membrane, increasing its efficiency in chemokine uptake and degradation. By scavenging chemokines in tissues, on the surfaces of lymphatic vessels, and in placenta, plays an essential role in the resolution (termination) of the inflammatory response and in the regulation of adaptive immune responses. Plays a major role in the immune silencing of macrophages during the resolution of inflammation. Acts as a regulator of inflammatory leukocyte interactions with lymphatic endothelial cells (LECs) and is required for immature/mature dendritic cells discrimination by LECs. [UniProt] |
| Cellular Localization | Early endosome. Recycling endosome. Cell membrane; Multi-pass membrane protein. Note=Predominantly localizes to endocytic vesicles, and upon stimulation by the ligand is internalized via clathrin-coated pits. Once internalized, the ligand dissociates from the receptor, and is targeted to degradation while the receptor is recycled back to the cell membrane. [UniProt] |
| Calculated MW | 43 kDa |
| PTM | Phosphorylated on serine residues in the C-terminal cytoplasmic tail. [UniProt] |
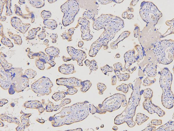
Images (2) Click the Picture to Zoom In
-
ARG42695 anti-ACKR2 antibody IHC-P image
Immunohistochemistry: Paraffin-embedded Human placenta tissue. Antigen Retrieval: Heat mediation was performed in Citrate buffer (pH 6.0) for 20 min. The tissue section was blocked with 10% goat serum. The tissue section was then stained with ARG42695 anti-ACKR2 antibody at 1 µg/ml dilution, overnight at 4°C.
-
ARG42695 anti-ACKR2 antibody WB image
Western blot: 50 µg of samples under reducing condition. Raji, HeLa and SW620 whole cell lysates stained with ARG42695 anti-ACKR2 antibody at 0.5 µg/ml dilution, overnight at 4°C.
