ARG57015
anti-ACOT7 antibody [1D5]
anti-ACOT7 antibody [1D5] for Flow cytometry,ICC/IF,Western blot and Human
Overview
| Product Description | Mouse Monoclonal antibody [1D5] recognizes ACOT7 |
|---|---|
| Tested Reactivity | Hu |
| Tested Application | FACS, ICC/IF, WB |
| Host | Mouse |
| Clonality | Monoclonal |
| Clone | 1D5 |
| Isotype | IgG2a, kappa |
| Target Name | ACOT7 |
| Antigen Species | Human |
| Immunogen | Recombinant fragment around aa. 1-370 of Human ACOT7. |
| Conjugation | Un-conjugated |
| Alternate Names | EC 3.1.2.2; CTE-IIa; hBACH; LACH; Cytosolic acyl coenzyme A thioester hydrolase; CTE-II; ACH1; BACH; Long chain acyl-CoA thioester hydrolase; LACH1; Acyl-CoA thioesterase 7; ACT; Brain acyl-CoA hydrolase |
Application Instructions
| Application Suggestion |
|
||||||||
|---|---|---|---|---|---|---|---|---|---|
| Application Note | * The dilutions indicate recommended starting dilutions and the optimal dilutions or concentrations should be determined by the scientist. |
Properties
| Form | Liquid |
|---|---|
| Purification | Purification with Protein A. |
| Buffer | PBS (pH 7.4), 0.02% Sodium azide and 10% Glycerol. |
| Preservative | 0.02% Sodium azide |
| Stabilizer | 10% Glycerol |
| Concentration | 1 mg/ml |
| Storage Instruction | For continuous use, store undiluted antibody at 2-8°C for up to a week. For long-term storage, aliquot and store at -20°C. Storage in frost free freezers is not recommended. Avoid repeated freeze/thaw cycles. Suggest spin the vial prior to opening. The antibody solution should be gently mixed before use. |
| Note | For laboratory research only, not for drug, diagnostic or other use. |
Bioinformation
| Database Links |
Swiss-port # O00154 Human Cytosolic acyl coenzyme A thioester hydrolase |
|---|---|
| Gene Symbol | ACOT7 |
| Gene Full Name | acyl-CoA thioesterase 7 |
| Background | This gene encodes a member of the acyl coenzyme family. The encoded protein hydrolyzes the CoA thioester of palmitoyl-CoA and other long-chain fatty acids. Decreased expression of this gene may be associated with mesial temporal lobe epilepsy. Alternatively spliced transcript variants encoding distinct isoforms with different subcellular locations have been characterized. [provided by RefSeq, Jul 2008] |
| Function | Acyl-CoA thioesterases are a group of enzymes that catalyze the hydrolysis of acyl-CoAs to the free fatty acid and coenzyme A (CoASH), providing the potential to regulate intracellular levels of acyl-CoAs, free fatty acids and CoASH. May play an important physiological function in brain. May play a regulatory role by modulating the cellular levels of fatty acyl-CoA ligands for certain transcription factors as well as the substrates for fatty acid metabolizing enzymes, contributing to lipid homeostasis. Has broad specificity, active towards fatty acyl-CoAs with chain-lengths of C8-C18. Has a maximal activity toward palmitoyl-CoA. [UniProt] |
| Calculated MW | 42 kDa |
Images (3) Click the Picture to Zoom In
-
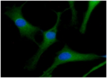
ARG57015 anti-ACOT7 antibody [1D5] ICC/IF image
Immunoflorescense: U87MG cell line stained with ARG57015 anti-ACOT7 antibody [1D5] at 1:100 (Green).
DAPI (Blue) for nucleus staining.
-
ARG57015 anti-ACOT7 antibody [1D5] FACS image
Flow Cytometry: 293T cell line stained with ARG57015 anti-ACOT7 antibody [1D5] at 2-5 µg for 1x10^6 cells (red line). Secondary antibody: Goat anti-Mouse IgG Alexa fluor 488 conjugate. Isotype control antibody was Mouse IgG (black line).
-
ARG57015 anti-ACOT7 antibody [1D5] WB image
Western blot: 30 µg of 293T cell lysate stained with ARG57015 anti-ACOT7 antibody [1D5] at 1:1000.
