ARG43827
anti-ACSL4 / FACL4 antibody
anti-ACSL4 / FACL4 antibody for ELISA,Flow cytometry,ICC/IF,IHC-Formalin-fixed paraffin-embedded sections,Western blot and Human,Mouse,Rat
Overview
| Product Description | Rabbit Polyclonal antibody recognizes ACSL4 / FACL4 |
|---|---|
| Tested Reactivity | Hu, Ms, Rat |
| Tested Application | ELISA, FACS, ICC/IF, IHC-P, WB |
| Host | Rabbit |
| Clonality | Polyclonal |
| Isotype | IgG |
| Target Name | ACSL4 / FACL4 |
| Immunogen | Synthetic peptide of Human FACL4/ACSL4. |
| Epitope | EPWTP ETGLV TDAFK LKRKE LR |
| Conjugation | Un-conjugated |
| Alternate Names | Long-chain-fatty-acid--CoA ligase 4; ACS4; MRX68; Long-chain acyl-CoA synthetase 4; EC 6.2.1.3; FACL4; LACS4; LACS 4; MRX63 |
Application Instructions
| Application Suggestion |
|
||||||||||||
|---|---|---|---|---|---|---|---|---|---|---|---|---|---|
| Application Note | * The dilutions indicate recommended starting dilutions and the optimal dilutions or concentrations should be determined by the scientist. |
Properties
| Form | Liquid |
|---|---|
| Purification | Affinity purified |
| Buffer | 0.2% Na2HPO4, 0.9% NaCl, 0.05% Sodium azide and 4% Trehalose. |
| Preservative | 0.05% Sodium azide |
| Stabilizer | 4% Trehalose |
| Concentration | 500 µg/ml |
| Storage Instruction | For continuous use, store undiluted antibody at 2-8°C for up to a week. For long-term storage, aliquot and store at -20°C. Storage in frost free freezers is not recommended. Avoid repeated freeze/thaw cycles. Suggest spin the vial prior to opening. The antibody solution should be gently mixed before use. |
| Note | For laboratory research only, not for drug, diagnostic or other use. |
Bioinformation
| Database Links | |
|---|---|
| Background | The protein encoded by this gene is an isozyme of the long-chain fatty-acid-coenzyme A ligase family. Although differing in substrate specificity, subcellular localization, and tissue distribution, all isozymes of this family convert free long-chain fatty acids into fatty acyl-CoA esters, and thereby play a key role in lipid biosynthesis and fatty acid degradation. This isozyme preferentially utilizes arachidonate as substrate. The absence of this enzyme may contribute to the mental retardation or Alport syndrome. Alternative splicing of this gene generates 2 transcript variants. [provided by RefSeq, Jul 2008] |
Images (5) Click the Picture to Zoom In
-
ARG43827 anti-ACSL4 / FACL4 antibody WB image
Western blot:Human placenta, HepG2, U2OS, Rat brain and Mouse brain stained with ARG43827 anti-ACSL4 / FACL4 antibody at 1:2000 dilution
-
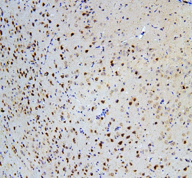
ARG43827 anti-ACSL4 / FACL4 antibody IHC-P image
Immunohistochemistry: Mouse brain stained with ARG43827 anti-ACSL4 / FACL4 antibody at 1:100 .dilution
-
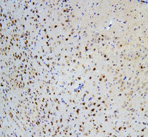
ARG43827 anti-ACSL4 / FACL4 antibody IHC-P image
Immunohistochemistry: Rat brain stained with ARG43827 anti-ACSL4 / FACL4 antibody at 1:100 .dilution
-
ARG43827 anti-ACSL4 / FACL4 antibody ICC/IF image
Immunofluorescence: A431 cells stained with ARG43827 anti-ACSL4 / FACL4 antibody.
-
ARG43827 anti-ACSL4 / FACL4 antibody FACS image
Flow Cytometry: HepG2 cell stained withARG43827 anti-ACSL4 / FACL4 antibody.
