ARG57247
anti-ACTC1 antibody [RM257]
anti-ACTC1 antibody [RM257] for IHC-Formalin-fixed paraffin-embedded sections,Western blot and Human,Mouse
Overview
| Product Description | Rabbit Monoclonal antibody [RM257] recognizes ACTC1 |
|---|---|
| Tested Reactivity | Hu, Ms |
| Predict Reactivity | Bov, Rat |
| Tested Application | IHC-P, WB |
| Specificity | The antibody reacts to Human and Mouse alpha cardiac actin (Actin, alpha cardiac muscle 1). This antibody may also react to Bovine or Rat alpha-cardiac actin, as predicted by immunogen homology. |
| Host | Rabbit |
| Clonality | Monoclonal |
| Clone | RM257 |
| Isotype | IgG |
| Target Name | ACTC1 |
| Antigen Species | Human |
| Immunogen | Synthetic peptide around the N-terminus of Human ACTC1. |
| Conjugation | Un-conjugated |
| Alternate Names | CMH11; CMD1R; ASD5; Actin, alpha cardiac muscle 1; LVNC4; Alpha-cardiac actin; ACTC |
Application Instructions
| Application Suggestion |
|
||||||
|---|---|---|---|---|---|---|---|
| Application Note | * The dilutions indicate recommended starting dilutions and the optimal dilutions or concentrations should be determined by the scientist. |
Properties
| Form | Liquid |
|---|---|
| Purification | Purification with Protein A. |
| Buffer | PBS, 0.09% Sodium azide, 50% Glycerol and 1% BSA. |
| Preservative | 0.09% Sodium azide |
| Stabilizer | 50% Glycerol and 1% BSA |
| Storage Instruction | For continuous use, store undiluted antibody at 2-8°C for up to a week. For long-term storage, aliquot and store at -20°C. Storage in frost free freezers is not recommended. Avoid repeated freeze/thaw cycles. Suggest spin the vial prior to opening. The antibody solution should be gently mixed before use. |
| Note | For laboratory research only, not for drug, diagnostic or other use. |
Bioinformation
| Database Links | |
|---|---|
| Gene Symbol | ACTC1 |
| Gene Full Name | actin, alpha, cardiac muscle 1 |
| Background | Actins are highly conserved proteins that are involved in various types of cell motility. Polymerization of globular actin (G-actin) leads to a structural filament (F-actin) in the form of a two-stranded helix. Each actin can bind to four others. The protein encoded by this gene belongs to the actin family which is comprised of three main groups of actin isoforms, alpha, beta, and gamma. The alpha actins are found in muscle tissues and are a major constituent of the contractile apparatus. Defects in this gene have been associated with idiopathic dilated cardiomyopathy (IDC) and familial hypertrophic cardiomyopathy (FHC). [provided by RefSeq, Jul 2008] |
| Function | Actins are highly conserved proteins that are involved in various types of cell motility and are ubiquitously expressed in all eukaryotic cells. [UniProt] |
| Calculated MW | 42 kDa |
| PTM | Oxidation of Met-46 and Met-49 by MICALs (MICAL1, MICAL2 or MICAL3) to form methionine sulfoxide promotes actin filament depolymerization. MICAL1 and MICAL2 produce the (R)-S-oxide form. The (R)-S-oxide form is reverted by MSRB1 and MSRB2, which promote actin repolymerization (By similarity). Monomethylation at Lys-86 (K84me1) regulates actin-myosin interaction and actomyosin-dependent processes. Demethylation by ALKBH4 is required for maintaining actomyosin dynamics supporting normal cleavage furrow ingression during cytokinesis and cell migration. (Microbial infection) Monomeric actin is cross-linked by V.cholerae toxins RtxA and VgrG1 in case of infection: bacterial toxins mediate the cross-link between Lys-52 of one monomer and Glu-272 of another actin monomer, resulting in formation of highly toxic actin oligomers that cause cell rounding (PubMed:19015515). The toxin can be highly efficient at very low concentrations by acting on formin homology family proteins: toxic actin oligomers bind with high affinity to formins and adversely affect both nucleation and elongation abilities of formins, causing their potent inhibition in both profilin-dependent and independent manners (PubMed:26228148). |
Images (2) Click the Picture to Zoom In
-
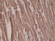
ARG57247 anti-ACTC1 antibody [RM257] IHC-P image
Immunohistochemistry: Formalin-fixed and paraffin-embedded Human heart tissue sections stained with ARG57247 anti-ACTC1 antibody [RM257] at 1:1000 dilution.
-
ARG57247 anti-ACTC1 antibody [RM257] WB image
Western blot: Mouse heart tissue lysate stained with ARG57247 anti-ACTC1 antibody [RM257] at 1:1000 dilution.
