ARG57813
anti-ADAM19 antibody
anti-ADAM19 antibody for Flow cytometry,IHC-Formalin-fixed paraffin-embedded sections,Western blot and Human
Overview
| Product Description | Rabbit Polyclonal antibody recognizes ADAM19 |
|---|---|
| Tested Reactivity | Hu |
| Tested Application | FACS, IHC-P, WB |
| Host | Rabbit |
| Clonality | Polyclonal |
| Isotype | IgG |
| Target Name | ADAM19 |
| Antigen Species | Human |
| Immunogen | KLH-conjugated synthetic peptide corresponding to aa. 207-236 of Human ADAM19. |
| Conjugation | Un-conjugated |
| Alternate Names | ADAM 19; FKSG34; EC 3.4.24.-; MADDAM; Disintegrin and metalloproteinase domain-containing protein 19; MLTNB; Meltrin-beta; Metalloprotease and disintegrin dendritic antigen marker |
Application Instructions
| Application Suggestion |
|
||||||||
|---|---|---|---|---|---|---|---|---|---|
| Application Note | * The dilutions indicate recommended starting dilutions and the optimal dilutions or concentrations should be determined by the scientist. | ||||||||
| Positive Control | Human placenta | ||||||||
| Observed Size | ~ 120 kDa (glycosylated) |
Properties
| Form | Liquid |
|---|---|
| Purification | Purified by ammonium sulfate precipitation through ion exchange chromatography. |
| Buffer | PBS and 0.09% (W/V) Sodium azide. |
| Preservative | 0.09% (W/V) Sodium azide |
| Storage Instruction | For continuous use, store undiluted antibody at 2-8°C for up to a week. For long-term storage, aliquot and store at -20°C or below. Storage in frost free freezers is not recommended. Avoid repeated freeze/thaw cycles. Suggest spin the vial prior to opening. The antibody solution should be gently mixed before use. |
| Note | For laboratory research only, not for drug, diagnostic or other use. |
Bioinformation
| Database Links |
Swiss-port # Q9H013 Human Disintegrin and metalloproteinase domain-containing protein 19 |
|---|---|
| Gene Symbol | ADAM19 |
| Gene Full Name | ADAM metallopeptidase domain 19 |
| Background | This gene encodes a member of the ADAM (a disintegrin and metalloprotease domain) family. Members of this family are membrane-anchored proteins structurally related to snake venom disintegrins and have been implicated in a variety of biological processes involving cell-cell and cell-matrix interactions, including fertilization, muscle development, and neurogenesis. This member is a type I transmembrane protein and serves as a marker for dendritic cell differentiation. It has been demonstrated to be an active metalloproteinase, which may be involved in normal physiological processes such as cell migration, cell adhesion, cell-cell and cell-matrix interactions, and signal transduction. It is proposed to play a role in pathological processes, such as cancer, inflammatory diseases, renal diseases, and Alzheimer's disease. [provided by RefSeq, May 2013] |
| Function | Participates in the proteolytic processing of beta-type neuregulin isoforms which are involved in neurogenesis and synaptogenesis, suggesting a regulatory role in glial cell. Also cleaves alpha-2 macroglobulin. May be involved in osteoblast differentiation and/or osteoblast activity in bone (By similarity). [UniProt] |
| Calculated MW | 105 kDa |
| PTM | The precursor is cleaved by a furin endopeptidase. [UniProt] |
Images (3) Click the Picture to Zoom In
-
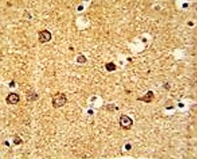
ARG57813 anti-ADAM19 antibody IHC-P image
Immunohistochemistry: Formalin-fixed and paraffin-embedded Human brain tissue stained with ARG57813 anti-ADAM19 antibody.
-
ARG57813 anti-ADAM19 antibody WB image
Western blot: 20 µg of Human placenta lysate stained with ARG57813 anti-ADAM19 antibody at 1:1000 dilution.
-
ARG57813 anti-ADAM19 antibody FACS image
Flow Cytometry: WiDr cells stained with ARG57813 anti-ADAM19 antibody (right histogram) or without primary antibody as control (left histogram), followed by incubation with FITC-labelled secondary antibody.
