ARG51677
anti-ADD1 phospho (Ser726) antibody
anti-ADD1 phospho (Ser726) antibody for ICC/IF,IHC-Formalin-fixed paraffin-embedded sections,Western blot and Human,Mouse,Rat
Controls and Markers antibody; Signaling Transduction antibody
Overview
| Product Description | Rabbit Polyclonal antibody recognizes ADD1 phospho (Ser726) |
|---|---|
| Tested Reactivity | Hu, Ms, Rat |
| Tested Application | ICC/IF, IHC-P, WB |
| Host | Rabbit |
| Clonality | Polyclonal |
| Isotype | IgG |
| Target Name | ADD1 |
| Antigen Species | Human |
| Immunogen | Peptide sequence around phosphorylation site of serine 726 (T-P-S(p)-F-L) derived from Human ADD1. |
| Conjugation | Un-conjugated |
| Alternate Names | Erythrocyte adducin subunit alpha; Alpha-adducin; ADDA |
Application Instructions
| Application Suggestion |
|
||||||||
|---|---|---|---|---|---|---|---|---|---|
| Application Note | * The dilutions indicate recommended starting dilutions and the optimal dilutions or concentrations should be determined by the scientist. |
Properties
| Form | Liquid |
|---|---|
| Purification | Antibodies were produced by immunizing rabbits with KLH-conjugated synthetic phosphopeptide. Antibodies were purified by affinity-chromatography using epitope-specific phosphopeptide. In addition, non-phospho specific antibodies were removed by chromatogramphy using non-phosphopeptide. |
| Buffer | PBS (without Mg2+ and Ca2+, pH 7.4), 150mM NaCl, 0.02% Sodium azide and 50% Glycerol. |
| Preservative | 0.02% Sodium azide |
| Stabilizer | 50% Glycerol |
| Concentration | 1 mg/ml |
| Storage Instruction | For continuous use, store undiluted antibody at 2-8°C for up to a week. For long-term storage, aliquot and store at -20°C. Storage in frost free freezers is not recommended. Avoid repeated freeze/thaw cycles. Suggest spin the vial prior to opening. The antibody solution should be gently mixed before use. |
| Note | For laboratory research only, not for drug, diagnostic or other use. |
Bioinformation
| Database Links | |
|---|---|
| Gene Symbol | ADD1 |
| Gene Full Name | adducin 1 (alpha) |
| Background | Adducins are a family of cytoskeleton proteins encoded by three genes (alpha, beta, gamma). Adducin is a heterodimeric protein that consists of related subunits, which are produced from distinct genes but share a similar structure. Alpha- and beta-adducin include a protease-resistant N-terminal region and a protease-sensitive, hydrophilic C-terminal region. Alpha- and gamma-adducins are ubiquitously expressed. In contrast, beta-adducin is expressed at high levels in brain and hematopoietic tissues. Adducin binds with high affinity to Ca(2+)/calmodulin and is a substrate for protein kinases A and C. Alternative splicing results in multiple variants encoding distinct isoforms; however, not all variants have been fully described. |
| Function | Membrane-cytoskeleton-associated protein that promotes the assembly of the spectrin-actin network. Binds to calmodulin. [UniProt] |
| Research Area | Controls and Markers antibody; Signaling Transduction antibody |
| Calculated MW | 81 kDa |
Images (3) Click the Picture to Zoom In
-
ARG51677 anti-ADD1 phospho (Ser726) antibody WB image
Western blot: Extracts from HeLa cells stained with ARG51677 anti-ADD1 phospho (Ser726) antibody and the same antibody preincubated with blocking peptide.
-
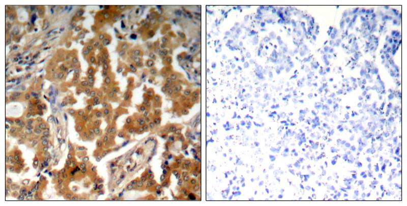
ARG51677 anti-ADD1 phospho (Ser726) antibody IHC-P image
Immunohistochemistry: Paraffin-embedded Human lung carcinoma tissue stained with ARG51677 anti-ADD1 phospho (Ser726) antibody (left) or the same antibody preincubated with blocking peptide (right).
-
ARG51677 anti-ADD1 phospho (Ser726) antibody ICC/IF image
Immunofluorescence: methanol-fixed HeLa cells stained with ARG51677 anti-ADD1 phospho (Ser726) antibody.
