ARG55246
anti-ADH1B antibody
anti-ADH1B antibody for Flow cytometry,ICC/IF,IHC-Formalin-fixed paraffin-embedded sections,Western blot and Human
Metabolism antibody; Signaling Transduction antibody
Overview
| Product Description | Rabbit Polyclonal antibody recognizes ADH1B |
|---|---|
| Tested Reactivity | Hu |
| Predict Reactivity | Ms, Rat, Chk |
| Tested Application | FACS, ICC/IF, IHC-P, WB |
| Host | Rabbit |
| Clonality | Polyclonal |
| Isotype | IgG |
| Target Name | ADH1B |
| Antigen Species | Human |
| Immunogen | KLH-conjugated synthetic peptide corresponding to aa. 209-237 (Center) of Human ADH1B. |
| Conjugation | Un-conjugated |
| Alternate Names | HEL-S-117; ADH2; EC 1.1.1.1; Alcohol dehydrogenase subunit beta; Alcohol dehydrogenase 1B |
Application Instructions
| Application Suggestion |
|
||||||||||
|---|---|---|---|---|---|---|---|---|---|---|---|
| Application Note | * The dilutions indicate recommended starting dilutions and the optimal dilutions or concentrations should be determined by the scientist. | ||||||||||
| Positive Control | HepG2 |
Properties
| Form | Liquid |
|---|---|
| Purification | Affinity purification with immunogen. |
| Buffer | PBS and 0.09% (W/V) Sodium azide |
| Preservative | 0.09% (W/V) Sodium azide |
| Storage Instruction | For continuous use, store undiluted antibody at 2-8°C for up to a week. For long-term storage, aliquot and store at -20°C or below. Storage in frost free freezers is not recommended. Avoid repeated freeze/thaw cycles. Suggest spin the vial prior to opening. The antibody solution should be gently mixed before use. |
| Note | For laboratory research only, not for drug, diagnostic or other use. |
Bioinformation
| Database Links | |
|---|---|
| Gene Symbol | ADH1B |
| Gene Full Name | alcohol dehydrogenase 1B (class I), beta polypeptide |
| Background | The protein encoded by this gene is a member of the alcohol dehydrogenase family. Members of this enzyme family metabolize a wide variety of substrates, including ethanol, retinol, other aliphatic alcohols, hydroxysteroids, and lipid peroxidation products. This encoded protein, consisting of several homo- and heterodimers of alpha, beta, and gamma subunits, exhibits high activity for ethanol oxidation and plays a major role in ethanol catabolism. Three genes encoding alpha, beta and gamma subunits are tandemly organized in a genomic segment as a gene cluster. Two transcript variants encoding different isoforms have been found for this gene. [provided by RefSeq, Nov 2013] |
| Function | Catalytic activity: An alcohol + NAD+ = an aldehyde or ketone + NADH. [UniProt] |
| Research Area | Metabolism antibody; Signaling Transduction antibody |
| Calculated MW | 40 kDa |
Images (4) Click the Picture to Zoom In
-
ARG55246 anti-ADH1B antibody ICC/IF image
Immunofluorescence: HepG2 cells stained with ARG55246 anti-ADH1B antibody (green). DAPI (blue) for nuclear staining.
-
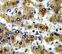
ARG55246 anti-ADH1B antibody IHC-P image
Immunohistochemistry: Formalin-fixed and paraffin-embedded Human hepatocarcinoma stained with ARG55246 anti-ADH1B antibody.
-
ARG55246 anti-ADH1B antibody WB image
Western blot: 35 µg of HepG2 cell lysate stained with ARG55246 anti-ADH1B antibody.
-
ARG55246 anti-ADH1B antibody FACS image
Flow Cytometry: HepG2 cells stained with ARG55246 anti-ADH1B antibody (bottom histogram) or without primary antibody control (top histogram), followed by incubation with FITC labelled secondary antibody.
