ARG59452
anti-ADO antibody
anti-ADO antibody for Flow cytometry,ICC/IF,IHC-Formalin-fixed paraffin-embedded sections,Western blot and Human,Mouse,Rat
Overview
| Product Description | Rabbit Polyclonal antibody recognizes ADO |
|---|---|
| Tested Reactivity | Hu, Ms, Rat |
| Tested Application | FACS, ICC/IF, IHC-P, WB |
| Host | Rabbit |
| Clonality | Polyclonal |
| Isotype | IgG |
| Target Name | ADO |
| Antigen Species | Human |
| Immunogen | Recombinant protein corresponding to E49-E261 of Human ADO. |
| Conjugation | Un-conjugated |
| Alternate Names | 2-aminoethanethiol dioxygenase; C10orf22; EC 1.13.11.19; Cysteamine dioxygenase |
Application Instructions
| Application Suggestion |
|
||||||||||
|---|---|---|---|---|---|---|---|---|---|---|---|
| Application Note | IHC-P: Antigen Retrieval: Heat mediation was performed in EDTA buffer (pH 8.0). * The dilutions indicate recommended starting dilutions and the optimal dilutions or concentrations should be determined by the scientist. |
Properties
| Form | Liquid |
|---|---|
| Purification | Affinity purification with immunogen. |
| Buffer | 0.9% NaCl, 0.2% Na2HPO4, 0.05% Sodium azide and 5% BSA. |
| Preservative | 0.05% Sodium azide |
| Stabilizer | 5% BSA |
| Concentration | 0.5 mg/ml |
| Storage Instruction | For continuous use, store undiluted antibody at 2-8°C for up to a week. For long-term storage, aliquot and store at -20°C or below. Storage in frost free freezers is not recommended. Avoid repeated freeze/thaw cycles. Suggest spin the vial prior to opening. The antibody solution should be gently mixed before use. |
| Note | For laboratory research only, not for drug, diagnostic or other use. |
Bioinformation
| Database Links | |
|---|---|
| Gene Symbol | ADO |
| Gene Full Name | 2-aminoethanethiol (cysteamine) dioxygenase |
| Background | Human thiol dioxygenases include cysteine dioxygenase (CDO; MIM 603943) and cysteamine (2-aminoethanethiol) dioxygenase (ADO; EC 1.13.11.19). CDO adds 2 oxygen atoms to free cysteine, whereas ADO adds 2 oxygen atoms to free cysteamine to form hypotaurine (Dominy et al., 2007 [PubMed 17581819]).[supplied by OMIM, Mar 2008] |
| Calculated MW | 30 kDa |
Images (9) Click the Picture to Zoom In
-
ARG59452 anti-ADO antibody ICC/IF image
Immunofluorescence: A549 cells were blocked with 10% goat serum and then stained with ARG59452 anti-ADO antibody (green) at 2 µg/ml dilution, overnight at 4°C. DAPI (blue) for nuclear staining.
-
ARG59452 anti-ADO antibody FACS image
Flow Cytometry: A549 cells were blocked with 10% normal goat serum and then stained with ARG59452 anti-ADO antibody (blue) at 1 µg/10^6 cells for 30 min at 20°C, followed by DyLight®488 labelled secondary antibody. Isotype control antibody (green) was rabbit IgG (1 µg/10^6 cells) used under the same conditions. Unlabelled sample (red) was also used as a control.
-
ARG59452 anti-ADO antibody IHC-P image
Immunohistochemistry: Paraffin-embedded Rat brain tissue. Antigen Retrieval: Heat mediation was performed in EDTA buffer (pH 8.0). The tissue section was blocked with 10% goat serum. The tissue section was then stained with ARG59452 anti-ADO antibody at 2 µg/ml dilution, overnight at 4°C.
-
ARG59452 anti-ADO antibody WB image
Western blot: Rat testis, Mouse kidney and HeLa whole cell lysates stained with ARG59452 anti-ADO antibody at 0.5 µg/ml dilution.
-
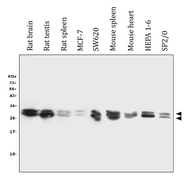
ARG59452 anti-ADO antibody WB image
Western blot: 50 µg of sample under reducing conditions. Rat brain, Rat testis, Rat spleen, MCF-7, SW620, Mouse spleen, Mouse heart, HEPA1-6 and SP2/0 whole cell lysates stained with ARG59452 anti-ADO antibody at 0.5 µg/ml dilution, overnight at 4°C.
-
ARG59452 anti-ADO antibody FACS image
Flow Cytometry: U251 cells were blocked with 10% normal goat serum and then stained with ARG59452 anti-ADO antibody (blue) at 1 µg/10^6 cells for 30 min at 20°C, followed by DyLight®488 labelled secondary antibody. Isotype control antibody (green) was rabbit IgG (1 µg/10^6 cells) used under the same conditions. Unlabelled sample (red) was also used as a control.
-
ARG59452 anti-ADO antibody FACS image
Flow Cytometry: HeLa cells were blocked with 10% normal goat serum and then stained with ARG59452 anti-ADO antibody (blue) at 1 µg/10^6 cells for 30 min at 20°C, followed by DyLight®488 labelled secondary antibody. Isotype control antibody (green) was rabbit IgG (1 µg/10^6 cells) used under the same conditions. Unlabelled sample (red) was also used as a control.
-
ARG59452 anti-ADO antibody FACS image
Flow Cytometry: PC-3 cells were blocked with 10% normal goat serum and then stained with ARG59452 anti-ADO antibody (blue) at 1 µg/10^6 cells for 30 min at 20°C, followed by DyLight®488 labelled secondary antibody. Isotype control antibody (green) was rabbit IgG (1 µg/10^6 cells) used under the same conditions. Unlabelled sample (red) was also used as a control.
-
ARG59452 anti-ADO antibody IHC-P image
Immunohistochemistry: Paraffin-embedded Mouse brain tissue. Antigen Retrieval: Heat mediation was performed in EDTA buffer (pH 8.0). The tissue section was blocked with 10% goat serum. The tissue section was then stained with ARG59452 anti-ADO antibody at 2 µg/ml dilution, overnight at 4°C.
