ARG66886
anti-ADRA2A antibody
anti-ADRA2A antibody for IHC-Formalin-fixed paraffin-embedded sections,Western blot and Human
Overview
| Product Description | Rabbit Polyclonal antibody recognizes ADRA2A |
|---|---|
| Tested Reactivity | Hu |
| Tested Application | IHC-P, WB |
| Host | Rabbit |
| Clonality | Polyclonal |
| Isotype | IgG |
| Target Name | ADRA2A |
| Antigen Species | Human |
| Immunogen | Synthetic peptide corresponding to aa. 331-380 of Human ADRA2A. |
| Conjugation | Un-conjugated |
| Alternate Names | Alpha-2A adrenoreceptor; ADRA2; Alpha-2AAR; ADRAR; Alpha-2A adrenoceptor; Alpha-2A adrenergic receptor; ALPHA2AAR; ZNF32; Alpha-2 adrenergic receptor subtype C10; ADRA2R |
Application Instructions
| Application Suggestion |
|
||||||
|---|---|---|---|---|---|---|---|
| Application Note | * The dilutions indicate recommended starting dilutions and the optimal dilutions or concentrations should be determined by the scientist. | ||||||
| Positive Control | Jurkat | ||||||
| Observed Size | ~ 50 kDa |
Properties
| Form | Liquid |
|---|---|
| Purification | Affinity purification with immunogen. |
| Buffer | PBS, 0.02% Sodium azide, 50% Glycerol and 0.5% BSA. |
| Preservative | 0.02% Sodium azide |
| Stabilizer | 50% Glycerol and 0.5% BSA |
| Storage Instruction | For continuous use, store undiluted antibody at 2-8°C for up to a week. For long-term storage, aliquot and store at -20°C. Storage in frost free freezers is not recommended. Avoid repeated freeze/thaw cycles. Suggest spin the vial prior to opening. The antibody solution should be gently mixed before use. |
| Note | For laboratory research only, not for drug, diagnostic or other use. |
Bioinformation
| Database Links | |
|---|---|
| Gene Symbol | ADRA2A |
| Gene Full Name | adrenoceptor alpha 2A |
| Background | Alpha-2-adrenergic receptors are members of the G protein-coupled receptor superfamily. The alpha-2-adrenergic receptors are a type of adrenergic receptors (for adrenaline or epinephrine), which inhibit adenylate cyclase. These receptors include 3 highly homologous subtypes: alpha2A, alpha2B, and alpha2C. They are involved in regulating the release of neurotransmitter molecules from sympathetic nerves and from adrenergic neurons in the central nervous system. The sympathetic nervous system regulates cardiovascular function by activating adrenergic receptors in the heart, blood vessels and kidney. Studies in mouse revealed that both the alpha2A and alpha2C receptor subtypes were required for presynaptic transmitter release from the sympathetic nervous system in the heart and from central noradrenergic neurons. The alpha-2-adrenergic receptors are also involved in catecholamine signaling by extracellular regulated protein kinase 1 and 2 (ERK1/2) pathways. A clear association between the alpha-2-adrenergic receptor and disease has not been yet established. [provided by RefSeq, Sep 2019] |
| Function | Alpha-2 adrenergic receptors mediate the catecholamine-induced inhibition of adenylate cyclase through the action of G proteins. The rank order of potency for agonists of this receptor is oxymetazoline > clonidine > epinephrine > norepinephrine > phenylephrine > dopamine > p-synephrine > p-tyramine > serotonin = p-octopamine. For antagonists, the rank order is yohimbine > phentolamine = mianserine > chlorpromazine = spiperone = prazosin > propanolol > alprenolol = pindolol. [UniProt] |
| Cellular Localization | Cell membrane; Multi-pass membrane protein. [UniProt] |
| Calculated MW | 51 kDa |
Images (2) Click the Picture to Zoom In
-
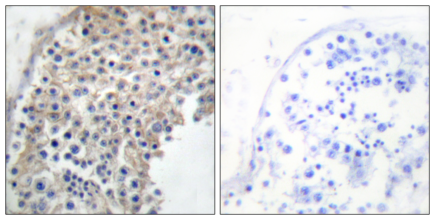
ARG66886 anti-ADRA2A antibody IHC-P image
Immunohistochemistry: Paraffin-embedded Human testis tissue stained with ARG66886 anti-ADRA2A antibody. The picture on the right is blocked with the synthetic peptide.
-
ARG66886 anti-ADRA2A antibody WB image
Western blot: Jurkat cell lysate stained with ARG66886 anti-ADRA2A antibody.
