ARG45147
anti-AEBP2 antibody
anti-AEBP2 antibody for Flow cytometry,ICC/IF,IHC-Formalin-fixed paraffin-embedded sections,Western blot and Human
Overview
| Product Description | Rabbit Polyclonal antibody recognizes AEBP2 |
|---|---|
| Tested Reactivity | Hu |
| Tested Application | FACS, ICC/IF, IHC-P, WB |
| Host | Rabbit |
| Clonality | Polyclonal |
| Isotype | IgG |
| Target Name | AEBP2 |
| Antigen Species | Human |
| Immunogen | Recombinant protein containing to human AEBP2. |
| Conjugation | Un-conjugated |
| Alternate Names | AEBP2; AE Binding Protein 2; Zinc finger protein AEBP2; Adipocyte enhancer-binding protein 2; AE-binding protein 2; AEBP2; MGC17922 |
Application Instructions
| Application Suggestion |
|
||||||||||
|---|---|---|---|---|---|---|---|---|---|---|---|
| Application Note | * The dilutions indicate recommended starting dilutions and the optimal dilutions or concentrations should be determined by the scientist. | ||||||||||
| Observed Size | 54 kDa |
Properties
| Form | Liquid |
|---|---|
| Purification | Affinity purification with immunogen. |
| Buffer | 0.9% NaCl, 0.2% Na2HPO4, 0.05% Sodium azide and 5% BSA. |
| Preservative | 0.05% Sodium azide |
| Stabilizer | 5% BSA |
| Concentration | 0.5 mg/ml |
| Storage Instruction | For continuous use, store undiluted antibody at 2-8°C for up to a week. For long-term storage, aliquot and store at -20°C or below. Storage in frost free freezers is not recommended. Avoid repeated freeze/thaw cycles. Suggest spin the vial prior to opening. The antibody solution should be gently mixed before use. |
| Note | For laboratory research only, not for drug, diagnostic or other use. |
Bioinformation
| Database Links | |
|---|---|
| Gene Symbol | AEBP2 |
| Gene Full Name | AE Binding Protein 2 |
| Background | Predicted to enable DNA binding activity; metal ion binding activity; and transcription coregulator activity. Predicted to be involved in regulation of transcription by RNA polymerase II. Predicted to act upstream of or within regulation of DNA-templated transcription. Located in nucleoplasm. Part of ESC/E(Z) complex. [provided by Alliance of Genome Resources, Nov 2024] |
| Function | Acts as an accessory subunit for the core Polycomb repressive complex 2 (PRC2), which mediates histone H3K27 (H3K27me3) trimethylation on chromatin leading to transcriptional repression of the affected target gene. [UniProt] |
| Cellular Localization | Nucleus. [UniProt] |
| Calculated MW | 54 kDa |
| PTM | Acetylation; Phosphoprotein. [UniProt] |
Images (4) Click the Picture to Zoom In
-
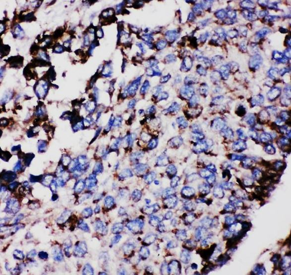
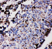
ARG45147 anti-AEBP2 antibody IHC-P image
Immunohistochemistry: Human lung cancer stained with ARG45147 anti-AEBP2 antibody at 1 μg/ml dilution.
-
ARG45147 anti-AEBP2 antibody ICC/IF image
Immunofluorescence: U20S stained with ARG45147 anti-AEBP2 antibody at 2 ug/ml dilution.
-
ARG45147 anti-AEBP2 antibody WB image
Western blot: Hela, Jurkat, and K562 stained with ARG45147 anti-AEBP2 antibody at 0.5 μg/ml dilution.
-
ARG45147 anti-AEBP2 antibody FACS image
Flow Cytometry: SiHa stained with ARG45147 anti-AEBP2 antibody at 1 µg/10^6 cells dilution.
