ARG55137
anti-AFG3L2 antibody
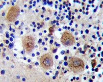
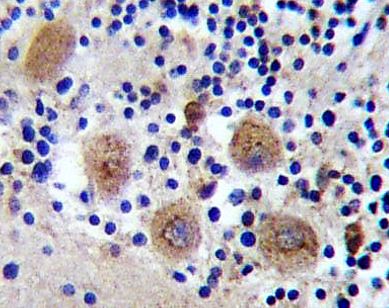
anti-AFG3L2 antibody for IHC-Formalin-fixed paraffin-embedded sections,Western blot and Human
Cell Biology and Cellular Response antibody; Metabolism antibody; Neuroscience antibody; Signaling Transduction antibody
Overview
| Product Description | Rabbit Polyclonal antibody recognizes AFG3L2 |
|---|---|
| Tested Reactivity | Hu |
| Predict Reactivity | Ms, Bov |
| Tested Application | IHC-P, WB |
| Host | Rabbit |
| Clonality | Polyclonal |
| Isotype | IgG |
| Target Name | AFG3L2 |
| Antigen Species | Human |
| Immunogen | KLH-conjugated synthetic peptide corresponding to aa. 52-80 (N-terminus) of Human AFG3L2. |
| Conjugation | Un-conjugated |
| Alternate Names | SCA28; AFG3-like protein 2; SPAX5; Paraplegin-like protein; EC 3.4.24.- |
Application Instructions
| Application Suggestion |
|
||||||
|---|---|---|---|---|---|---|---|
| Application Note | * The dilutions indicate recommended starting dilutions and the optimal dilutions or concentrations should be determined by the scientist. | ||||||
| Positive Control | MDA-MB-453 |
Properties
| Form | Liquid |
|---|---|
| Purification | Purification with Protein A and immunogen peptide. |
| Buffer | PBS and 0.09% (W/V) Sodium azide |
| Preservative | 0.09% (W/V) Sodium azide |
| Storage Instruction | For continuous use, store undiluted antibody at 2-8°C for up to a week. For long-term storage, aliquot and store at -20°C or below. Storage in frost free freezers is not recommended. Avoid repeated freeze/thaw cycles. Suggest spin the vial prior to opening. The antibody solution should be gently mixed before use. |
| Note | For laboratory research only, not for drug, diagnostic or other use. |
Bioinformation
| Database Links | |
|---|---|
| Gene Symbol | AFG3L2 |
| Gene Full Name | AFG3-like AAA ATPase 2 |
| Background | This gene encodes a protein localized in mitochondria and closely related to paraplegin. The paraplegin gene is responsible for an autosomal recessive form of hereditary spastic paraplegia. This gene is a candidate gene for other hereditary spastic paraplegias or neurodegenerative disorders. [provided by RefSeq, Jul 2008] |
| Function | ATP-dependent protease which is essential for axonal development. [UniProt] |
| Cellular Localization | Mitochondrion membrane; Multi-pass membrane protein |
| Research Area | Cell Biology and Cellular Response antibody; Metabolism antibody; Neuroscience antibody; Signaling Transduction antibody |
| Calculated MW | 89 kDa |
Images (2) Click the Picture to Zoom In
