ARG53743
anti-AGR3 antibody [AGR3.1]
anti-AGR3 antibody [AGR3.1] for ICC/IF,IHC-Frozen sections,IHC-Formalin-fixed paraffin-embedded sections,Western blot and Human
Cancer antibody
Overview
| Product Description | Mouse Monoclonal antibody [AGR3.1] recognizes AGR3 |
|---|---|
| Tested Reactivity | Hu |
| Tested Application | ICC/IF, IHC-Fr, IHC-P, WB |
| Specificity | The clone AGR3.1 recognizes the epitope HETTDKNLS within the AGR3 (AG3) protein (19-20 kDa); a secreted cytoplasmic protein which can serve as a marker of carcinogenesis. |
| Host | Mouse |
| Clonality | Monoclonal |
| Clone | AGR3.1 |
| Isotype | IgG1 |
| Target Name | AGR3 |
| Antigen Species | Human |
| Immunogen | Purified human AGR3 protein |
| Conjugation | Un-conjugated |
| Alternate Names | Anterior gradient protein 3 homolog; hAG-3; BCMP11; HAG3; AG-3; Breast cancer membrane protein 11; AG3; PDIA18 |
Application Instructions
| Application Suggestion |
|
||||||||||
|---|---|---|---|---|---|---|---|---|---|---|---|
| Application Note | * The dilutions indicate recommended starting dilutions and the optimal dilutions or concentrations should be determined by the scientist. | ||||||||||
| Positive Control | WB and ICC/IF: Positive control: T47D. Negative control: H1299 IHC-P and IHC-Fr: Positive tissue: breast cancer |
Properties
| Form | Liquid |
|---|---|
| Purification | Purified from ascites by protein-A affinity chromatography. |
| Purity | > 95% (by SDS-PAGE) |
| Buffer | PBS (pH 7.4) and 15 mM Sodium azide |
| Preservative | 15 mM Sodium azide |
| Concentration | 1 mg/ml |
| Storage Instruction | For continuous use, store undiluted antibody at 2-8°C for up to a week. For long-term storage, aliquot and store at -20°C or below. Storage in frost free freezers is not recommended. Avoid repeated freeze/thaw cycles. Suggest spin the vial prior to opening. The antibody solution should be gently mixed before use. |
| Note | For laboratory research only, not for drug, diagnostic or other use. |
Bioinformation
| Database Links | |
|---|---|
| Gene Symbol | AGR3 |
| Gene Full Name | anterior gradient 3 |
| Background | AGR3 (Anterior Gradient 3) protein, also known as AG3 (hAG-3, HAG3 in human), or BCMP11, is a secreted cytoplasmic protein which is involved in metastasis induction and p53 tumour supressor inhibition. It may serve as molecular marker and potential therapeutic target for hormone-responsive breast tumours. Its Xenopus homolog is associated with anteroposterior fate determination during early development. |
| Research Area | Cancer antibody |
| Calculated MW | 19 kDa |
Images (2) Click the Picture to Zoom In
-
ARG53743 anti-AGR3 antibody [AGR3.1] WB image
Western blot: 1. H1229 cell lysate, 2. T47D cell lysate stained with ARG53743 anti-AGR3 antibody [AGR3.1].
-
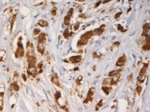
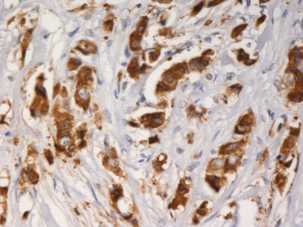
ARG53743 anti-AGR3 antibody [AGR3.1] IHC-P image
Immunohistochemistry: Paraffin-embedded sections of breast carcinoma stained with ARG53743 anti-AGR3 antibody [AGR3.1].
