ARG40590
anti-AGTR1 / AT1 antibody
anti-AGTR1 / AT1 antibody for Western blot and Human,Mouse,Rat
Overview
| Product Description | Rabbit Polyclonal antibody recognizes AGTR1 / AT1 |
|---|---|
| Tested Reactivity | Hu, Ms, Rat |
| Tested Application | WB |
| Host | Rabbit |
| Clonality | Polyclonal |
| Isotype | IgG |
| Target Name | AGTR1 / AT1 |
| Antigen Species | Human |
| Immunogen | Synthetic peptide derived from Human AGTR1. |
| Conjugation | Un-conjugated |
| Alternate Names | AT1AR; Angiotensin II type-1 receptor; AT1R; Type-1 angiotensin II receptor; AT1BR; AG2S; AT2R1; HAT1R; AT1; AGTR1B; AT1B |
Application Instructions
| Application Suggestion |
|
||||
|---|---|---|---|---|---|
| Application Note | * The dilutions indicate recommended starting dilutions and the optimal dilutions or concentrations should be determined by the scientist. |
Properties
| Form | Liquid |
|---|---|
| Purification | Affinity purified. |
| Buffer | PBS (pH 7.4), 150 mM NaCl, 0.02% Sodium azide and 50% Glycerol. |
| Preservative | 0.02% Sodium azide |
| Stabilizer | 50% Glycerol |
| Storage Instruction | For continuous use, store undiluted antibody at 2-8°C for up to a week. For long-term storage, aliquot and store at -20°C. Storage in frost free freezers is not recommended. Avoid repeated freeze/thaw cycles. Suggest spin the vial prior to opening. The antibody solution should be gently mixed before use. |
| Note | For laboratory research only, not for drug, diagnostic or other use. |
Bioinformation
| Database Links | |
|---|---|
| Gene Symbol | AGTR1 |
| Gene Full Name | angiotensin II receptor, type 1 |
| Background | Angiotensin II is a potent vasopressor hormone and a primary regulator of aldosterone secretion. It is an important effector controlling blood pressure and volume in the cardiovascular system. It acts through at least two types of receptors. This gene encodes the type 1 receptor which is thought to mediate the major cardiovascular effects of angiotensin II. This gene may play a role in the generation of reperfusion arrhythmias following restoration of blood flow to ischemic or infarcted myocardium. It was previously thought that a related gene, denoted as AGTR1B, existed; however, it is now believed that there is only one type 1 receptor gene in humans. Multiple alternatively spliced transcript variants have been reported for this gene. [provided by RefSeq, Jul 2012] |
| Function | Receptor for angiotensin II. Mediates its action by association with G proteins that activate a phosphatidylinositol-calcium second messenger system. [UniProt] |
| Cellular Localization | Cell membrane; Multi-pass membrane protein. [UniProt] |
| Calculated MW | 41 kDa |
| PTM | C-terminal Ser or Thr residues may be phosphorylated. [UniProt] |
Images (2) Click the Picture to Zoom In
-
ARG40590 anti-AGTR1 / AT1 antibody WB image
Western blot: PC-12 cell lysate stained with ARG40590 anti-AGTR1 / AT1 antibody.
-
ARG40590 anti-AGTR1 / AT1 antibody WB image
Western blot: Human thoracic aorta stained with ARG40590 anti-AGTR1 / AT1 antibody.
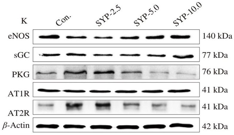
From Qiang Wu et al. Pre-Print (2024), doi: 10.26599/FSHW.2024.9250032, Fig. 5. K.

