ARG44409
anti-AHRR antibody
anti-AHRR antibody for Flow cytometry,ICC/IF,IHC-Formalin-fixed paraffin-embedded sections,Western blot and Human
Overview
| Product Description | Rabbit Polyclonal antibody recognizes AHRR |
|---|---|
| Tested Reactivity | Hu |
| Tested Application | FACS, ICC/IF, IHC-P, WB |
| Host | Rabbit |
| Clonality | Polyclonal |
| Isotype | IgG |
| Target Name | AHRR |
| Antigen Species | Human |
| Immunogen | Human AHRR recombinant protein (aa. sequence: K410-D665). |
| Conjugation | Un-conjugated |
| Alternate Names | AHRR; Aryl Hydrocarbon Receptor Repressor; BHLHe77; KIAA1234; Class E Basic Helix-Loop-Helix Protein 77; AHR Repressor; AHHR; AHH; Aryl Hydrocarbon Hydroxylase Regulator |
Application Instructions
| Application Suggestion |
|
||||||||||
|---|---|---|---|---|---|---|---|---|---|---|---|
| Application Note | The dilutions indicate recommended starting dilutions and the optimal dilutions or concentrations should be determined by the scientist. |
Properties
| Form | Liquid |
|---|---|
| Purification | Affinity purified with Immunogen. |
| Buffer | 0.9% NaCl, 0.2% Na2HPO4, 0.05% Sodium azide and 4% Trehalose. |
| Preservative | 0.05% Sodium azide |
| Stabilizer | 4% Trehalose |
| Concentration | 0.5 mg/ml |
| Storage Instruction | For continuous use, store undiluted antibody at 2-8°C for up to a week. For long-term storage, aliquot and store at -20°C or below. Storage in frost free freezers is not recommended. Avoid repeated freeze/thaw cycles. Suggest spin the vial prior to opening. The antibody solution should be gently mixed before use. |
| Note | For laboratory research only, not for drug, diagnostic or other use. |
Bioinformation
| Database Links |
Swiss-port # A9YTQ3 Human Aryl hydrocarbon receptor repressor |
|---|---|
| Gene Symbol | AHRR |
| Gene Full Name | Aryl Hydrocarbon Receptor Repressor |
| Background | The protein encoded by this gene participates in the aryl hydrocarbon receptor (AhR) signaling cascade, which mediates dioxin toxicity, and is involved in regulation of cell growth and differentiation. It functions as a feedback modulator by repressing AhR-dependent gene expression. Alternatively spliced transcript variants encoding different isoforms have been described for this gene. |
| Function | Mediates dioxin toxicity and is involved in regulation of cell growth and differentiation. Represses the transcription activity of AHR by competing with this transcription factor for heterodimer formation with the ARNT and subsequently binding to the xenobiotic response element (XRE) sequence present in the promoter regulatory region of variety of genes. Represses CYP1A1 by binding the XRE sequence and recruiting ANKRA2, HDAC4 and/or HDAC5. Autoregulates its expression by associating with its own XRE site. |
| Cellular Localization | Cytoplasm, Nucleus |
| Calculated MW | 72 kDa |
| PTM | Isopeptide bond, Ubl conjugation |
Images (5) Click the Picture to Zoom In
-
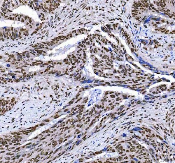
ARG44409 anti-AHRR antibody IHC-P image
Immunohistochemistry: Human bladder urothelial carcinoma stained with ARG44409 anti-AHRR antibody at 2 μg/mL dilution.
-
ARG44409 anti-AHRR antibody ICC/IF image
Immunofluorescence: HeLa stained with ARG44409 anti-AHRR antibody at 5 μg/mL dilution.
-
ARG44409 anti-AHRR antibody WB image
Western blot: HeLa, SiHa and HEL stained with ARG44409 anti-AHRR antibody at 0.5 μg/mL dilution.
-
ARG44409 anti-AHRR antibody FACS image
Flow Cytometry: HEL stained with ARG44409 anti-AHRR antibody at 1 μg/10^6 cells dilution.
-
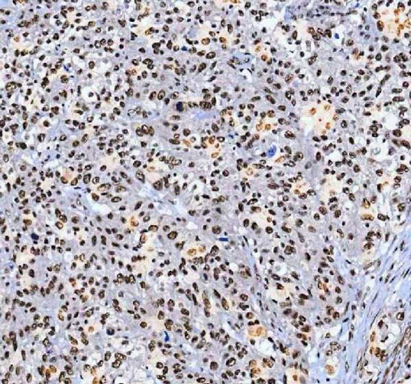
ARG44409 anti-AHRR antibody IHC-P image
Immunohistochemistry: Human colorectal adenocarcinoma stained with ARG44409 anti-AHRR antibody at 2 μg/mL dilution.
