ARG55425
anti-AHSG antibody
anti-AHSG antibody for Flow cytometry,ICC/IF,IHC-Formalin-fixed paraffin-embedded sections,Immunoprecipitation,Western blot and Human,Mouse
Cell Biology and Cellular Response antibody; Metabolism antibody; Neuroscience antibody
Overview
| Product Description | Rabbit Polyclonal antibody recognizes AHSG |
|---|---|
| Tested Reactivity | Hu, Ms |
| Tested Application | FACS, ICC/IF, IHC-P, IP, WB |
| Host | Rabbit |
| Clonality | Polyclonal |
| Isotype | IgG |
| Target Name | AHSG |
| Antigen Species | Human |
| Immunogen | KLH-conjugated synthetic peptide corresponding to aa. 247-276 (C-terminus) of Human AHSG. |
| Conjugation | Un-conjugated |
| Alternate Names | A2HS; Alpha-2-HS-glycoprotein; HSGA; Ba-alpha-2-glycoprotein; AHS; FETUA; Alpha-2-Z-globulin; Fetuin-A |
Application Instructions
| Application Suggestion |
|
||||||||||||
|---|---|---|---|---|---|---|---|---|---|---|---|---|---|
| Application Note | * The dilutions indicate recommended starting dilutions and the optimal dilutions or concentrations should be determined by the scientist. | ||||||||||||
| Positive Control | Human liver |
Properties
| Form | Liquid |
|---|---|
| Purification | Purification with Protein A and immunogen peptide. |
| Buffer | PBS and 0.09% (W/V) Sodium azide |
| Preservative | 0.09% (W/V) Sodium azide |
| Storage Instruction | For continuous use, store undiluted antibody at 2-8°C for up to a week. For long-term storage, aliquot and store at -20°C or below. Storage in frost free freezers is not recommended. Avoid repeated freeze/thaw cycles. Suggest spin the vial prior to opening. The antibody solution should be gently mixed before use. |
| Note | For laboratory research only, not for drug, diagnostic or other use. |
Bioinformation
| Database Links | |
|---|---|
| Gene Symbol | AHSG |
| Gene Full Name | alpha-2-HS-glycoprotein |
| Background | Alpha2-HS glycoprotein (AHSG), a glycoprotein present in the serum, is synthesized by hepatocytes. The AHSG molecule consists of two polypeptide chains, which are both cleaved from a proprotein encoded from a single mRNA. It is involved in several functions, such as endocytosis, brain development and the formation of bone tissue. The protein is commonly present in the cortical plate of the immature cerebral cortex and bone marrow hemopoietic matrix, and it has therefore been postulated that it participates in the development of the tissues. However, its exact significance is still obscure. [provided by RefSeq, Jul 2008] |
| Function | Promotes endocytosis, possesses opsonic properties and influences the mineral phase of bone. Shows affinity for calcium and barium ions. [UniProt] |
| Cellular Localization | Secreted. |
| Research Area | Cell Biology and Cellular Response antibody; Metabolism antibody; Neuroscience antibody |
| Calculated MW | 39 kDa |
| PTM | Phosphorylated by FAM20C in the extracellular medium. O- and N-glycosylated. O-glycosylated with core 1 or possibly core 8 glycans. N-glycan at Asn-156: Hex5HexNAc4; N-glycan heterogeneity at Asn-176: Hex5HexNAc4 (major) and Hex6HexNAc5 (minor). |
Images (5) Click the Picture to Zoom In
-
ARG55425 anti-AHSG antibody ICC/IF image
Immunofluorescence: HepG2 cells stained with ARG55425 anti-AHSG antibody (green). DAPI (blue) for nuclear staining.
-
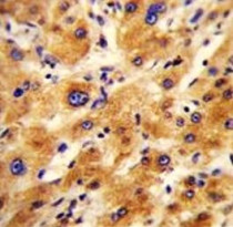
ARG55425 anti-AHSG antibody IHC-P image
Immunohistochemistry: Formalin-fixed and paraffin-embedded Human hepatocarcinoma stained with ARG55425 anti-AHSG antibody.
-
ARG55425 anti-AHSG antibody WB image
Western blot: Bel-7402 stained with ARG54036 anti-Albumin antibody and ARG55425 anti-AHSG antibody.
From Zhu G et al. Front Oncol (2021), doi: 10.3389/fonc.2021.681366, Fig. 5. B.
-
ARG55425 anti-AHSG antibody WB image
Western blot: 35 µg of Human liver lysate stained with ARG55425 anti-AHSG antibody at 1:1000 dilution.
-
ARG55425 anti-AHSG antibody FACS image
Flow Cytometry: HepG2 cells stained with ARG55425 anti-AHSG antibody (right histogram) or without primary antibody control (left histogram), followed by incubation with FITC labelled secondary antibody.

