ARG45981
anti-AIFM2 / AMID antibody
anti-AIFM2 / AMID antibody for IHC-Formalin-fixed paraffin-embedded sections,Western blot and Human,Mouse,Rat
Overview
| Product Description | Rabbit Polyclonal antibody recognizes AIFM2 / AMID |
|---|---|
| Tested Reactivity | Hu, Ms, Rat |
| Tested Application | IHC-P, WB |
| Host | Rabbit |
| Clonality | Polyclonal |
| Isotype | IgG |
| Target Name | AIFM2 / AMID |
| Antigen Species | Human |
| Immunogen | A 14 amino acid synthetic peptide within aa. 130 - 180 of human AIFM2 / AMID. |
| Conjugation | Un-conjugated |
| Alternate Names | AIMF2; AMID; Apoptosis-inducing factor-like mitochondrion-associated inducer of death; p53-responsive gene 3 protein; PRG3; Apoptosis-inducing factor homologous mitochondrion-associated inducer of death; Apoptosis-inducing factor 2 |
Application Instructions
| Application Suggestion |
|
||||||
|---|---|---|---|---|---|---|---|
| Application Note | * The dilutions indicate recommended starting dilutions and the optimal dilutions or concentrations should be determined by the scientist. | ||||||
| Observed Size | 40 kDa |
Properties
| Purification | Affinity chromatography purified |
|---|---|
| Buffer | PBS and 0.02% Sodium azide. |
| Preservative | 0.02% Sodium azide |
| Concentration | 1 mg/ml |
| Storage Instruction | For continuous use, store undiluted antibody at 2-8°C for up to a week. For long-term storage, aliquot and store at -20°C. Storage in frost free freezers is not recommended. Avoid repeated freeze/thaw cycles. Suggest spin the vial prior to opening. The antibody solution should be gently mixed before use. |
| Note | For laboratory research only, not for drug, diagnostic or other use. |
Bioinformation
| Database Links | |
|---|---|
| Gene Symbol | AIMF2 |
| Gene Full Name | apoptosis-inducing factor, mitochondrion-associated, 2 |
| Background | This gene encodes a flavoprotein oxidoreductase that binds single stranded DNA and is thought to contribute to apoptosis in the presence of bacterial and viral DNA. The expression of this gene is also found to be induced by tumor suppressor protein p53 in colon cancer cells. [provided by RefSeq, Nov 2010] |
| Function | Oxidoreductase, which may play a role in mediating a p53/TP53-dependent apoptosis response. Probable oxidoreductase that acts as a caspase-independent mitochondrial effector of apoptotic cell death. Binds to DNA in a sequence-independent manner. May contribute to genotoxin-induced growth arrest. [UniProt] |
| Cellular Localization | Cytoplasm. Mitochondrion outer membrane. Membrane; Lipid-anchor. [UniProt] |
| Calculated MW | 41 kDaa |
Images (3) Click the Picture to Zoom In
-
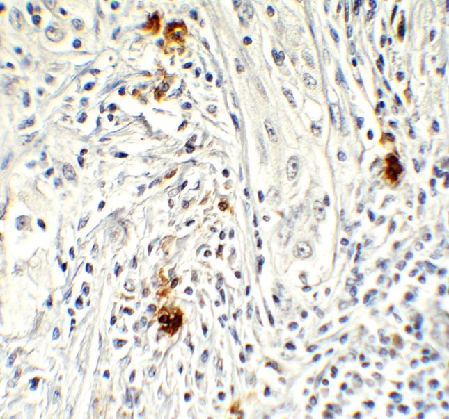
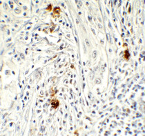
ARG45981 anti-AIFM2 / AMID antibody IHC-P image
Immunohistochemistry: Human Brain stained with ARG45981 anti-AIFM2 / AMID antibody.
-
ARG45981 anti-AIFM2 / AMID antibody ICC/IF image
Immunofluorescence: HeLa stained with ARG45981 anti-AIFM2 / AMID antibody.
-
ARG45981 anti-AIFM2 / AMID antibody WB image
Western blot: Hela stained with ARG45981 anti-AIFM2 / AMID antibody.
