ARG45985
anti-AIPL1 antibody
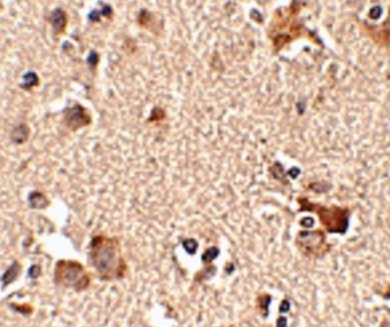
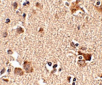
anti-AIPL1 antibody for Western blot,IHC-Formalin-fixed paraffin-embedded sections and Human,Mouse,Rat
Overview
| Product Description | Rabbit Polyclonal antibody recognizes AIPL1 |
|---|---|
| Tested Reactivity | Hu, Ms, Rat |
| Tested Application | IHC-P, WB |
| Host | Rabbit |
| Clonality | Polyclonal |
| Isotype | IgG |
| Target Name | AIPL1 |
| Antigen Species | Human |
| Immunogen | A 18 amino acid synthetic peptide within aa. 140 - 190 of human AIPL1. |
| Conjugation | Un-conjugated |
| Alternate Names | aryl hydrocarbon receptor interacting protein-like 1; Aipl1; LCA4; AIPL2; Aryl-hydrocarbon-interacting protein-like 1 |
Application Instructions
| Application Suggestion |
|
||||||
|---|---|---|---|---|---|---|---|
| Application Note | * The dilutions indicate recommended starting dilutions and the optimal dilutions or concentrations should be determined by the scientist. |
Properties
| Purification | Affinity chromatography purified |
|---|---|
| Buffer | PBS and 0.02% Sodium azide. |
| Preservative | 0.02% Sodium azide |
| Concentration | 1 mg/ml |
| Storage Instruction | For continuous use, store undiluted antibody at 2-8°C for up to a week. For long-term storage, aliquot and store at -35°C or below. Storage in frost free freezers is not recommended. Avoid repeated freeze/thaw cycles. Suggest spin the vial prior to opening. The antibody solution should be gently mixed before use. |
| Note | For laboratory research only, not for drug, diagnostic or other use. |
Bioinformation
| Database Links | |
|---|---|
| Gene Symbol | AIPL1 |
| Gene Full Name | aryl hydrocarbon receptor interacting protein-like 1 |
| Background | Leber congenital amaurosis (LCA) is the most severe inherited retinopathy with the earliest age of onset and accounts for at least 5% of all inherited retinal diseases. Affected individuals are diagnosed at birth or in the first few months of life with nystagmus, severely impaired vision or blindness and an abnormal or flat electroretinogram. The photoreceptor/pineal-expressed gene, AIPL1, encoding aryl-hydrocarbon interacting protein-like 1, is located within the LCA4 candidate region. The encoded protein contains three tetratricopeptide motifs, consistent with chaperone or nuclear transport activity. Mutations in this gene may cause approximately 20% of recessive LCA. Alternative splicing results in multiple transcript variants. [provided by RefSeq, Jan 2014] |
| Function | May be important in protein trafficking and/or protein folding and stabilization. [UniProt] |
| Cellular Localization | Cytoplasm; Nucleus. [UniProt] |
| Calculated MW | 44 kDa |
Images (2) Click the Picture to Zoom In
