ARG56921
anti-AK3 antibody [SJB3-36]
anti-AK3 antibody [SJB3-36] for Flow cytometry,ICC/IF,IHC-Formalin-fixed paraffin-embedded sections,Western blot and Human,Mouse
Overview
| Product Description | Mouse Monoclonal antibody [SJB3-36] recognizes AK3 |
|---|---|
| Tested Reactivity | Hu, Ms |
| Tested Application | FACS, ICC/IF, IHC-P, WB |
| Host | Mouse |
| Clonality | Monoclonal |
| Clone | SJB3-36 |
| Isotype | IgG1, kappa |
| Target Name | AK3 |
| Antigen Species | Human |
| Immunogen | Recombinant fragment of Human AK3. |
| Conjugation | Un-conjugated |
| Alternate Names | EC 2.7.4.10; AKL3L; Adenylate kinase 3; Adenylate kinase 3 alpha-like 1; FIX; AK6; AK3L1; AKL3L1; GTP:AMP phosphotransferase AK3, mitochondrial; AK 3 |
Application Instructions
| Application Suggestion |
|
||||||||||
|---|---|---|---|---|---|---|---|---|---|---|---|
| Application Note | * The dilutions indicate recommended starting dilutions and the optimal dilutions or concentrations should be determined by the scientist. |
Properties
| Form | Liquid |
|---|---|
| Purification | Purification with Protein G. |
| Buffer | PBS (pH 7.4), 0.02% Sodium azide and 10% Glycerol. |
| Preservative | 0.02% Sodium azide |
| Stabilizer | 10% Glycerol |
| Concentration | 1 mg/ml |
| Storage Instruction | For continuous use, store undiluted antibody at 2-8°C for up to a week. For long-term storage, aliquot and store at -20°C. Storage in frost free freezers is not recommended. Avoid repeated freeze/thaw cycles. Suggest spin the vial prior to opening. The antibody solution should be gently mixed before use. |
| Note | For laboratory research only, not for drug, diagnostic or other use. |
Bioinformation
| Database Links |
Swiss-port # Q9UIJ7 Human GTP:AMP phosphotransferase AK3, mitochondrial Swiss-port # Q9WTP7 Mouse GTP:AMP phosphotransferase AK3, mitochondrial |
|---|---|
| Gene Symbol | AK3 |
| Gene Full Name | adenylate kinase 3 |
| Background | The protein encoded by this gene is a GTP:ATP phosphotransferase that is found in the mitochondrial matrix. Several transcript variants encoding a few different isoforms have been found for this gene. [provided by RefSeq, Dec 2010] |
| Function | Involved in maintaining the homeostasis of cellular nucleotides by catalyzing the interconversion of nucleoside phosphates. Has GTP:AMP phosphotransferase and ITP:AMP phosphotransferase activities. [UniProt] |
| Calculated MW | 26 kDa |
Images (6) Click the Picture to Zoom In
-
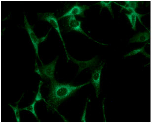
ARG56921 anti-AK3 antibody [SJB3-36] ICC/IF image
Immunoflorescense: U87MG cell line stained with ARG56921 anti-AK3 antibody [SJB3-36] at 1:100 (Green).
DAPI (Blue) for nucleus staining.
-
ARG56921 anti-AK3 antibody [SJB3-36] FACS image
Flow Cytometry: Jurkat cell line stained with ARG56921 anti-AK3 antibody [SJB3-36] at 2-5 µg for 1x10^6 cells (red line). Secondary antibody: Goat anti-Mouse IgG Alexa fluor 488 conjugate. Isotype control antibody was Mouse IgG (black line).
-
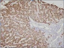
ARG56921 anti-AK3 antibody [SJB3-36] IHC-P image
Immunohistochemistry: Paraffin-embedded sections of Human liver tissue stained with ARG56921 anti-AK3 antibody [SJB3-36] at 1:100 for 2 hours at RT.
-
ARG56921 anti-AK3 antibody [SJB3-36] WB image
Western blot: 50 ng of 1) Recombinant Human AK1, 2) Recombinant Human AK2, 3) Recombinant Human AK3 stained with ARG56921 anti-AK3 antibody [SJB3-36] at 1:1000. .
-
ARG56921 anti-AK3 antibody [SJB3-36] WB image
Western blot: 40 µg of 1) Hep3B cell lysate, 2) 293T cell lysate, 3) Mouse kidney tissue lysate stained with ARG56921 anti-AK3 antibody [SJB3-36] at 1:1000.
-
ARG56921 anti-AK3 antibody [SJB3-36] WB image
Western blot: 40 µg of Mouse liver tissue lysate stained with ARG56921 anti-AK3 antibody [SJB3-36] at 1:1000.
