ARG54806
anti-AK4 antibody
anti-AK4 antibody for ICC/IF,IHC-Formalin-fixed paraffin-embedded sections,Western blot and Human,Mouse
Metabolism antibody; Signaling Transduction antibody
Overview
| Product Description | Rabbit Polyclonal antibody recognizes AK4 |
|---|---|
| Tested Reactivity | Hu, Ms |
| Tested Application | ICC/IF, IHC-P, WB |
| Host | Rabbit |
| Clonality | Polyclonal |
| Isotype | IgG |
| Target Name | AK4 |
| Antigen Species | Human |
| Immunogen | KLH-conjugated synthetic peptide corresponding to aa. 119-153 (Center) of Human AK4. |
| Conjugation | Un-conjugated |
| Alternate Names | EC 2.7.4.10; AK3; GTP:AMP phosphotransferase AK4; AK3L2; AK3L1; EC 2.7.4.6; AK 4; Adenylate kinase 4, mitochondrial; Adenylate kinase 3-like |
Application Instructions
| Application Suggestion |
|
||||||||
|---|---|---|---|---|---|---|---|---|---|
| Application Note | * The dilutions indicate recommended starting dilutions and the optimal dilutions or concentrations should be determined by the scientist. | ||||||||
| Positive Control | HepG2 |
Properties
| Form | Liquid |
|---|---|
| Purification | Purification with Protein A and immunogen peptide. |
| Buffer | PBS and 0.09% (W/V) Sodium azide |
| Preservative | 0.09% (W/V) Sodium azide |
| Storage Instruction | For continuous use, store undiluted antibody at 2-8°C for up to a week. For long-term storage, aliquot and store at -20°C or below. Storage in frost free freezers is not recommended. Avoid repeated freeze/thaw cycles. Suggest spin the vial prior to opening. The antibody solution should be gently mixed before use. |
| Note | For laboratory research only, not for drug, diagnostic or other use. |
Bioinformation
| Database Links | |
|---|---|
| Gene Symbol | AK4 |
| Gene Full Name | adenylate kinase 4 |
| Background | This gene encodes a member of the adenylate kinase family of enzymes. The encoded protein is localized to the mitochondrial matrix. Adenylate kinases regulate the adenine and guanine nucleotide compositions within a cell by catalyzing the reversible transfer of phosphate group among these nucleotides. Five isozymes of adenylate kinase have been identified in vertebrates. Expression of these isozymes is tissue-specific and developmentally regulated. A pseudogene for this gene has been located on chromosome 17. Three transcript variants encoding the same protein have been identified for this gene. Sequence alignment suggests that the gene defined by NM_013410, NM_203464, and NM_001005353 is located on chromosome 1. [provided by RefSeq, Jul 2008] |
| Function | Involved in maintaining the homeostasis of cellular nucleotides by catalyzing the interconversion of nucleoside phosphates. Efficiently phosphorylates AMP and dAMP using ATP as phosphate donor, but phosphorylates only AMP when using GTP as phosphate donor. Also displays broad nucleoside diphosphate kinase activity. [UniProt] |
| Cellular Localization | Mitochondrion matrix {ECO:0000255|HAMAP- Rule:MF_03170, ECO:0000269|PubMed:11485571, ECO:0000269|PubMed:19766732} |
| Research Area | Metabolism antibody; Signaling Transduction antibody |
| Calculated MW | 25 kDa |
Images (3) Click the Picture to Zoom In
-
ARG54806 anti-AK4 antibody ICC/IF image
Immunofluorescence: HepG2 cells stained with ARG54806 anti-AK4 antibody (green) at 1:25 dilution. DAPI (blue) for nuclear staining. Cytoplasmic actin was counterstained with Alexa Fluor® 555 conjugated with Phalloidin (red).
-
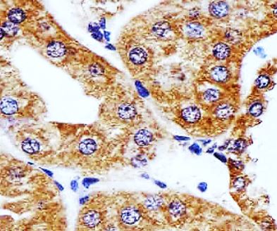
ARG54806 anti-AK4 antibody IHC-P image
Immunohistochemistry: Paraffin-embedded Mouse kidney section stained with ARG54806 anti-AK4 antibody at 1:25 dilution.
-
ARG54806 anti-AK4 antibody WB image
Western blot: 35 µg of HepG2 lysate stained with ARG54806 anti-AK4 antibody at 1:1000 dilution.
