ARG40969
anti-AKR1A1 / Aldehyde Reductase antibody
anti-AKR1A1 / Aldehyde Reductase antibody for IHC-Formalin-fixed paraffin-embedded sections,Western blot and Human
Overview
| Product Description | Rabbit Polyclonal antibody recognizes AKR1A1 / Aldehyde Reductase |
|---|---|
| Tested Reactivity | Hu |
| Tested Application | IHC-P, WB |
| Host | Rabbit |
| Clonality | Polyclonal |
| Isotype | IgG |
| Target Name | AKR1A1 / Aldehyde Reductase |
| Antigen Species | Human |
| Immunogen | KLH-conjugated synthetic peptide between aa. 293-325 of Human AKR1A1. |
| Conjugation | Un-conjugated |
| Alternate Names | ALR; ARM; DD3; ALDR1; HEL-S-6; Alcohol dehydrogenase [NADP(+)]; EC 1.1.1.2; Aldehyde reductase; Aldo-keto reductase family 1 member A1 |
Application Instructions
| Application Suggestion |
|
||||||
|---|---|---|---|---|---|---|---|
| Application Note | * The dilutions indicate recommended starting dilutions and the optimal dilutions or concentrations should be determined by the scientist. | ||||||
| Positive Control | Y79 | ||||||
| Observed Size | 38 kDa |
Properties
| Form | Liquid |
|---|---|
| Purification | Saturated Ammonium Sulfate (SAS) precipitation followed by dialysis against PBS. |
| Buffer | PBS and 0.09% (W/V) Sodium azide. |
| Preservative | 0.09% (W/V) Sodium azide. |
| Storage Instruction | For continuous use, store undiluted antibody at 2-8°C for up to a week. For long-term storage, aliquot and store at -20°C or below. Storage in frost free freezers is not recommended. Avoid repeated freeze/thaw cycles. Suggest spin the vial prior to opening. The antibody solution should be gently mixed before use. |
| Note | For laboratory research only, not for drug, diagnostic or other use. |
Bioinformation
| Database Links | |
|---|---|
| Gene Symbol | AKR1A1 |
| Gene Full Name | aldo-keto reductase family 1, member A1 (aldehyde reductase) |
| Background | This gene encodes a member of the aldo/keto reductase superfamily, which consists of more than 40 known enzymes and proteins. This member, also known as aldehyde reductase, is involved in the reduction of biogenic and xenobiotic aldehydes and is present in virtually every tissue. Multiple alternatively spliced transcript variants of this gene exist, all encoding the same protein. [provided by RefSeq, Jan 2011] |
| Function | Catalyzes the NADPH-dependent reduction of a variety of aromatic and aliphatic aldehydes to their corresponding alcohols. Catalyzes the reduction of mevaldate to mevalonic acid and of glyceraldehyde to glycerol. Has broad substrate specificity. In vitro substrates include succinic semialdehyde, 4-nitrobenzaldehyde, 1,2-naphthoquinone, methylglyoxal, and D-glucuronic acid. Plays a role in the activation of procarcinogens, such as polycyclic aromatic hydrocarbon trans-dihydrodiols, and in the metabolism of various xenobiotics and drugs, including the anthracyclines doxorubicin (DOX) and daunorubicin (DAUN). [UniProt] |
| Calculated MW | 37 kDa |
Images (2) Click the Picture to Zoom In
-
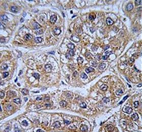
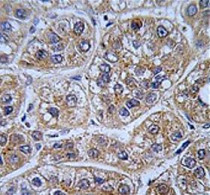
ARG40969 anti-AKR1A1 / Aldehyde Reductase antibody IHC-P image
Immunohistochemistry: Formalin-fixed and paraffin-embedded Human hepatocarcinoma tissue stained with ARG40969 anti-AKR1A1 / Aldehyde Reductase antibody.
-
ARG40969 anti-AKR1A1 / Aldehyde Reductase antibody WB image
Western blot: 35 µg of Y79 cell lysate stained with ARG40969 anti-AKR1A1 / Aldehyde Reductase antibody.
