ARG63468
anti-AKR1A1 / Aldehyde Reductase antibody
anti-AKR1A1 / Aldehyde Reductase antibody for IHC-Formalin-fixed paraffin-embedded sections,Western blot and Human
Cell Biology and Cellular Response antibody; Metabolism antibody; Signaling Transduction antibody
Overview
| Product Description | Goat Polyclonal antibody recognizes AKR1A1 / Aldehyde Reductase |
|---|---|
| Tested Reactivity | Hu |
| Predict Reactivity | Ms, Rat, Cow, Dog, Pig |
| Tested Application | IHC-P, WB |
| Specificity | Both reported variants (NP_006057.1and NP_697021.1) represent identical protein |
| Host | Goat |
| Clonality | Polyclonal |
| Isotype | IgG |
| Target Name | AKR1A1 / Aldehyde Reductase |
| Antigen Species | Human |
| Immunogen | C-DAGHPLYPFNDPY |
| Conjugation | Un-conjugated |
| Alternate Names | DD3; Alcohol dehydrogenase [NADP]; Aldo-keto reductase family 1 member A1; ALDR1; Aldehyde reductase; HEL-S-6; EC 1.1.1.2; ALR; ARM |
Application Instructions
| Application Suggestion |
|
||||||
|---|---|---|---|---|---|---|---|
| Application Note | WB: Recommend incubate at RT for 1h. IHC-P: Antigen Retrieval: Heat mediation was performed in Citrate buffer (pH 6.0). * The dilutions indicate recommended starting dilutions and the optimal dilutions or concentrations should be determined by the scientist. |
Properties
| Form | Liquid |
|---|---|
| Purification | Purified from goat serum by antigen affinity chromatography. |
| Buffer | Tris saline (pH 7.3), 0.02% Sodium azide and 0.5% BSA. |
| Preservative | 0.02% Sodium azide |
| Stabilizer | 0.5% BSA |
| Concentration | 0.5 mg/ml |
| Storage Instruction | For continuous use, store undiluted antibody at 2-8°C for up to a week. For long-term storage, aliquot and store at -20°C or below. Storage in frost free freezers is not recommended. Avoid repeated freeze/thaw cycles. Suggest spin the vial prior to opening. The antibody solution should be gently mixed before use. |
| Note | For laboratory research only, not for drug, diagnostic or other use. |
Bioinformation
| Database Links | |
|---|---|
| Background | This gene encodes a member of the aldo/keto reductase superfamily, which consists of more than 40 known enzymes and proteins. This member, also known as aldehyde reductase, is involved in the reduction of biogenic and xenobiotic aldehydes and is present in virtually every tissue. Multiple alternatively spliced transcript variants of this gene exist, all encoding the same protein. [provided by RefSeq, Jan 2011] |
| Research Area | Cell Biology and Cellular Response antibody; Metabolism antibody; Signaling Transduction antibody |
| Calculated MW | 37 kDa |
Images (3) Click the Picture to Zoom In
-
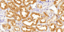
ARG63468 anti-AKR1A1 / Aldehyde Reductase antibody IHC-P image
Immunohistochemistry: Paraffin-embedded Human kidney tissue. Antigen Retrieval: Heat mediation was performed in Citrate buffer (pH 6.0). The tissue section was stained with ARG63468 anti-AKR1A1 / Aldehyde Reductase antibody at 5 µg/ml dilution followed by HRP-staining.
-
ARG63468 anti-AKR1A1 / Aldehyde Reductase antibody WB image
Western blot: Human liver lysate (35 µg protein in RIPA buffer) stained with ARG63468 anti-AKR1A1 / Aldehyde Reductase antibody at 0.1 µg/ml dilution.
-
ARG63468 anti-AKR1A1 / Aldehyde Reductase antibody WB image
Western blot: 1). Mock transfection; 2) AKR1A1 (RC200302) expressing plasmid transfected HEK293 cell lysate standed with ARG63468 anti-AKR1A1 / Aldehyde Reductase antibody
