ARG42972
anti-AKR1D1 antibody [6I4]
anti-AKR1D1 antibody [6I4] for Flow cytometry,IHC-Formalin-fixed paraffin-embedded sections,Western blot and Human,Mouse,Rat
Overview
| Product Description | Mouse Monoclonal antibody [6I4] recognizes AKR1D1 |
|---|---|
| Tested Reactivity | Hu, Ms, Rat |
| Tested Application | FACS, IHC-P, WB |
| Host | Mouse |
| Clonality | Monoclonal |
| Clone | 6I4 |
| Isotype | IgG2b |
| Target Name | AKR1D1 |
| Antigen Species | Human |
| Immunogen | Synthetic peptide corresponding to a sequence of Human AKR1D1. (EEMKDIEALNKNVRFVELLMWRDHPEYPFHDEY) |
| Conjugation | Un-conjugated |
| Alternate Names | Aldo-keto reductase family 1 member D1; Delta; EC 1.3.1.3; CBAS2; SRD5B1; 4; 3-oxo-5-beta-steroid 4-dehydrogenase; 3o5bred |
Application Instructions
| Application Suggestion |
|
||||||||
|---|---|---|---|---|---|---|---|---|---|
| Application Note | IHC-P: Antigen Retrieval: Heat mediation was performed in EDTA buffer (pH 8.0). * The dilutions indicate recommended starting dilutions and the optimal dilutions or concentrations should be determined by the scientist. |
||||||||
| Observed Size | ~ 37 kDa |
Properties
| Form | Liquid |
|---|---|
| Purification | Affinity purification with immunogen. |
| Buffer | 0.2% Na2HPO4, 0.9% NaCl, 0.05% Sodium azide and 4% Trehalose. |
| Preservative | 0.05% Sodium azide |
| Stabilizer | 4% Trehalose |
| Concentration | 0.5 mg/ml |
| Storage Instruction | For continuous use, store undiluted antibody at 2-8°C for up to a week. For long-term storage, aliquot and store at -20°C or below. Storage in frost free freezers is not recommended. Avoid repeated freeze/thaw cycles. Suggest spin the vial prior to opening. The antibody solution should be gently mixed before use. |
| Note | For laboratory research only, not for drug, diagnostic or other use. |
Bioinformation
| Database Links | |
|---|---|
| Gene Symbol | AKR1D1 |
| Gene Full Name | aldo-keto reductase family 1, member D1 |
| Background | The enzyme encoded by this gene is responsible for the catalysis of the 5-beta-reduction of bile acid intermediates and steroid hormones carrying a delta(4)-3-one structure. Deficiency of this enzyme may contribute to hepatic dysfunction. Three transcript variants encoding different isoforms have been found for this gene. Other variants may be present, but their full-length natures have not been determined yet. [provided by RefSeq, Jul 2010] |
| Function | Catalyzes the stereospecific NADPH-dependent reduction of the C4-C5 double bond of bile acid intermediates and steroid hormones carrying a delta(4)-3-one structure to yield an A/B cis-ring junction. This cis-configuration is crucial for bile acid biosynthesis and plays important roles in steroid metabolism. Capable of reducing a broad range of delta-(4)-3-ketosteroids from C18 (such as, 17beta-hydroxyestr-4-en-3-one) to C27 (such as, 7alpha-hydroxycholest-4-en-3-one). [UniProt] |
| Cellular Localization | Cytoplasm. [UniProt] |
| Calculated MW | 37 kDa |
Images (4) Click the Picture to Zoom In
-
ARG42972 anti-AKR1D1 antibody [6I4] IHC-P image
Immunohistochemistry: Paraffin-embedded Human liver cancer tissue. Antigen Retrieval: Heat mediation was performed in EDTA buffer (pH 8.0). The tissue section was blocked with 10% goat serum. The tissue section was then stained with ARG42972 anti-AKR1D1 antibody [6I4] at 1 µg/ml dilution, overnight at 4°C.
-
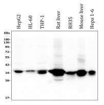
ARG42972 anti-AKR1D1 antibody [6I4] WB image
Western blot: 50 µg of sample under reducing conditions. HepG2, HL-60, THP-1, Rat liver, RH35, Mouse liver and Hepa 1-6 whole cell lysates stained with ARG42972 anti-AKR1D1 antibody [6I4] at 0.5 µg/ml dilution, overnight at 4°C.
-
ARG42972 anti-AKR1D1 antibody [6I4] FACS image
Flow Cytometry: HepG2 cells were blocked with 10% normal goat serum and then stained with ARG42972 anti-AKR1D1 antibody [6I4] (blue) at 1 µg/10^6 cells for 30 min at 20°C, followed by incubation with DyLight®488 labelled secondary antibody. Isotype control antibody (green) was Mouse IgG (1 µg/10^6 cells) used under the same conditions. Unlabelled sample (red) was also used as a control.
-
ARG42972 anti-AKR1D1 antibody [6I4] IHC-P image
Immunohistochemistry: Paraffin-embedded Human liver cancer tissue. Antigen Retrieval: Heat mediation was performed in EDTA buffer (pH 8.0). The tissue section was blocked with 10% goat serum. The tissue section was then stained with ARG42972 anti-AKR1D1 antibody [6I4] at 1 µg/ml dilution, overnight at 4°C.
