ARG65260
anti-ALDH3A1 antibody
anti-ALDH3A1 antibody for IHC-Formalin-fixed paraffin-embedded sections,Western blot and Human,Mouse
Cell Biology and Cellular Response antibody; Metabolism antibody; Neuroscience antibody; Signaling Transduction antibody
Overview
| Product Description | Goat Polyclonal antibody recognizes ALDH3A1 |
|---|---|
| Tested Reactivity | Hu, Ms |
| Tested Application | IHC-P, WB |
| Specificity | Reported variants represent identical protein: NP_001128639.1, NP_000682.3, NP_001128640.1 |
| Host | Goat |
| Clonality | Polyclonal |
| Isotype | IgG |
| Target Name | ALDH3A1 |
| Antigen Species | Human |
| Immunogen | C-RYPPSPAKMTQH |
| Conjugation | Un-conjugated |
| Alternate Names | Aldehyde dehydrogenase, dimeric NADP-preferring; EC 1.2.1.5; ALDHIII; Aldehyde dehydrogenase family 3 member A1; Aldehyde dehydrogenase 3; ALDH3 |
Application Instructions
| Application Suggestion |
|
||||||
|---|---|---|---|---|---|---|---|
| Application Note | IHC-P: Antigen Retrieval: Steam tissue section in Citrate buffer (pH 6.0). WB: Recommend incubate at RT for 1h. * The dilutions indicate recommended starting dilutions and the optimal dilutions or concentrations should be determined by the scientist. |
Properties
| Form | Liquid |
|---|---|
| Purification | Purified from goat serum by antigen affinity chromatography. |
| Buffer | Tris saline (pH 7.3), 0.02% Sodium azide and 0.5% BSA. |
| Preservative | 0.02% Sodium azide |
| Stabilizer | 0.5% BSA |
| Concentration | 0.5 mg/ml |
| Storage Instruction | For continuous use, store undiluted antibody at 2-8°C for up to a week. For long-term storage, aliquot and store at -20°C or below. Storage in frost free freezers is not recommended. Avoid repeated freeze/thaw cycles. Suggest spin the vial prior to opening. The antibody solution should be gently mixed before use. |
| Note | For laboratory research only, not for drug, diagnostic or other use. |
Bioinformation
| Database Links |
Swiss-port # P30838 Human Aldehyde dehydrogenase, dimeric NADP-preferring Swiss-port # P47739 Mouse Aldehyde dehydrogenase, dimeric NADP-preferring |
|---|---|
| Background | Aldehyde dehydrogenases oxidize various aldehydes to the corresponding acids. They are involved in the detoxification of alcohol-derived acetaldehyde and in the metabolism of corticosteroids, biogenic amines, neurotransmitters, and lipid peroxidation. The enzyme encoded by this gene forms a cytoplasmic homodimer that preferentially oxidizes aromatic and medium-chain (6 carbons or more) saturated and unsaturated aldehyde substrates. It is thought to promote resistance to UV and 4-hydroxy-2-nonenal-induced oxidative damage in the cornea. The gene is located within the Smith-Magenis syndrome region on chromosome 17. Multiple alternatively spliced variants, encoding the same protein, have been identified. [provided by RefSeq, Sep 2008] |
| Research Area | Cell Biology and Cellular Response antibody; Metabolism antibody; Neuroscience antibody; Signaling Transduction antibody |
| Calculated MW | 50 kDa |
Images (2) Click the Picture to Zoom In
-
ARG65260 anti-ALDH3A1 antibody WB image
Western Blot: Mouse Eye lysate (35 µg protein in RIPA buffer) stained with ARG65260 anti-ALDH3A1 antibody at 0.01 µg/ml dilution.
-
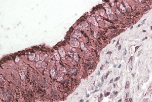
ARG65260 anti-ALDH3A1 antibody IHC-P image
Immunohistochemistry: paraffin embedded Human Lung. (Steamed antigen retrieval with citrate buffer pH 6) stained with ARG65260 anti-ALDH3A1 antibody at 3.8 µg/ml dilution followed by AP-staining.
