ARG45991
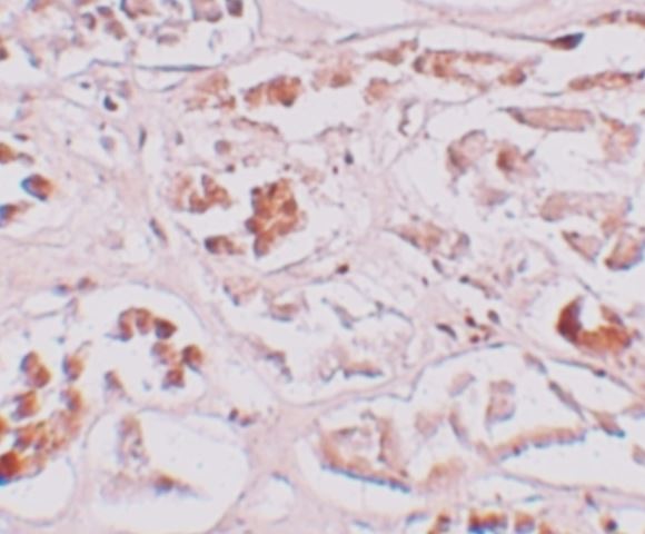
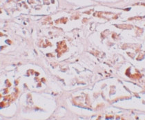
anti-ALKBH2 antibody
anti-ALKBH2 antibody for Western blot,IHC-Formalin-fixed paraffin-embedded sections and Human,Mouse,Rat
Overview
| Product Description | Rabbit Polyclonal antibody recognizes ALKBH2 |
|---|---|
| Tested Reactivity | Hu, Ms, Rat |
| Tested Application | IHC-P, WB |
| Host | Rabbit |
| Clonality | Polyclonal |
| Isotype | IgG |
| Target Name | ALKBH2 |
| Antigen Species | Human |
| Immunogen | A 15 amino acid synthetic peptide within aa. 180 - 230 of human ALKBH2. |
| Conjugation | Un-conjugated |
| Alternate Names | alkB, alkylation repair homolog 2 (E. coli); ALKBH2; ABH2; ABH2; Alpha-ketoglutarate-dependent dioxygenase alkB homolog 2; Alkylated DNA repair protein alkB homolog 2 |
Application Instructions
| Application Suggestion |
|
||||||
|---|---|---|---|---|---|---|---|
| Application Note | * The dilutions indicate recommended starting dilutions and the optimal dilutions or concentrations should be determined by the scientist. |
Properties
| Purification | Affinity chromatography purified |
|---|---|
| Buffer | PBS and 0.02% Sodium azide. |
| Preservative | 0.02% Sodium azide |
| Concentration | 1 mg/ml |
| Storage Instruction | For continuous use, store undiluted antibody at 2-8°C for up to a week. For long-term storage, aliquot and store at -41°C or below. Storage in frost free freezers is not recommended. Avoid repeated freeze/thaw cycles. Suggest spin the vial prior to opening. The antibody solution should be gently mixed before use. |
| Note | For laboratory research only, not for drug, diagnostic or other use. |
Bioinformation
| Database Links | |
|---|---|
| Gene Symbol | ALKBH2 |
| Gene Full Name | alkB, alkylation repair homolog 2 (E. coli) |
| Background | The Escherichia coli AlkB protein protects against the cytotoxicity of methylating agents by repair of the specific DNA lesions generated in single-stranded DNA. ALKBH2 and ALKBH3 (MIM 610603) are E. coli AlkB homologs that catalyze the removal of 1-methyladenine and 3-methylcytosine (Duncan et al., 2002 [PubMed 12486230]).[supplied by OMIM, Mar 2008] |
| Function | Dioxygenase that repairs alkylated nucleic acid bases by direct reversal oxidative dealkylation. Can process both double-stranded (ds) and single-stranded (ss) DNA substrates, with a strong preference for dsDNA (PubMed:12486230, PubMed:12594517, PubMed:16174769, PubMed:20714506, PubMed:23972994, PubMed:25797601). Uses molecular oxygen, 2-oxoglutarate and iron as cofactors to oxidize the alkyl groups that are subsequently released as aldehydes, regenerating the undamaged bases. Probes the base pair stability, locates a weakened base pair and flips the damaged base to accommodate the lesion in its active site for efficient catalysis (PubMed:18432238, PubMed:22659876). Repairs monoalkylated bases, specifically N1-methyladenine and N3-methylcytosine, as well as higher order alkyl adducts such as bases modified with exocyclic bridged adducts known as etheno adducts including 1,N6-ethenoadenine, 3,N4-ethenocytosine and 1,N2-ethenoguanine (PubMed:12486230, PubMed:12594517, PubMed:16174769, PubMed:20714506, PubMed:23972994, PubMed:25797601, PubMed:26408825). Acts as a gatekeeper of genomic integrity under alkylation stress. Efficiently repairs alkylated lesions in ribosomal DNA (rDNA). These lesions can cause ss- and dsDNA strand breaks that severely impair rDNA transcription (PubMed:23972994). In a response mechanism to DNA damage, associates with PCNA at replication forks to repair alkylated adducts prior to replication (PubMed:19736315, PubMed:26408825). [UniProt] |
| Cellular Localization | Nucleus. [UniProt] |
| Calculated MW | 29 kDa |
Images (2) Click the Picture to Zoom In
