ARG58924
anti-ALT / Alanine Transaminase antibody
anti-ALT / Alanine Transaminase antibody for IHC-Formalin-fixed paraffin-embedded sections,Western blot and Human,Mouse,Rat
Overview
| Product Description | Rabbit Polyclonal antibody recognizes ALT / Alanine Transaminase |
|---|---|
| Tested Reactivity | Hu, Ms, Rat |
| Predict Reactivity | Bov |
| Tested Application | IHC-P, WB |
| Host | Rabbit |
| Clonality | Polyclonal |
| Isotype | IgG |
| Target Name | ALT / Alanine Transaminase |
| Antigen Species | Human |
| Immunogen | KLH-conjugated synthetic peptide corresponding to aa. 118-144 of Human ALT / Alanine Transaminase. |
| Conjugation | Un-conjugated |
| Alternate Names | Glutamate pyruvate transaminase 1; AAT1; GPT1; GPT 1; Glutamic--alanine transaminase 1; Glutamic--pyruvic transaminase 1; Alanine aminotransferase 1; ALT1; EC 2.6.1.2 |
Application Instructions
| Application Suggestion |
|
||||||
|---|---|---|---|---|---|---|---|
| Application Note | * The dilutions indicate recommended starting dilutions and the optimal dilutions or concentrations should be determined by the scientist. | ||||||
| Positive Control | Mouse liver |
Properties
| Form | Liquid |
|---|---|
| Purification | Saturated Ammonium Sulfate (SAS) precipitation followed by dialysis against PBS. |
| Buffer | PBS and 0.09% (W/V) Sodium azide. |
| Preservative | 0.09% (W/V) Sodium azide. |
| Storage Instruction | For continuous use, store undiluted antibody at 2-8°C for up to a week. For long-term storage, aliquot and store at -20°C or below. Storage in frost free freezers is not recommended. Avoid repeated freeze/thaw cycles. Suggest spin the vial prior to opening. The antibody solution should be gently mixed before use. |
| Note | For laboratory research only, not for drug, diagnostic or other use. |
Bioinformation
| Database Links | |
|---|---|
| Gene Symbol | GPT |
| Gene Full Name | glutamic-pyruvate transaminase (alanine aminotransferase) |
| Background | This gene encodes cytosolic alanine aminotransaminase 1 (ALT1); also known as glutamate-pyruvate transaminase 1. This enzyme catalyzes the reversible transamination between alanine and 2-oxoglutarate to generate pyruvate and glutamate and, therefore, plays a key role in the intermediary metabolism of glucose and amino acids. Serum activity levels of this enzyme are routinely used as a biomarker of liver injury caused by drug toxicity, infection, alcohol, and steatosis. A related gene on chromosome 16 encodes a putative mitochondrial alanine aminotransaminase.[provided by RefSeq, Nov 2009] |
| Function | Catalyzes the reversible transamination between alanine and 2-oxoglutarate to form pyruvate and glutamate. Participates in cellular nitrogen metabolism and also in liver gluconeogenesis starting with precursors transported from skeletal muscles (By similarity). [UniProt] |
| Cellular Localization | Cytoplasm. [UniProt] |
| Calculated MW | 55 kDa |
Images (2) Click the Picture to Zoom In
-
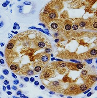
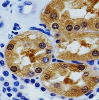
ARG58924 anti-ALT / Alanine Transaminase antibody IHC-P image
Immunohistochemistry: Paraffin-embedded Human kidney tissue stained with ARG58924 anti-ALT / Alanine Transaminase antibody at 1:100 dilution.
-
ARG58924 anti-ALT / Alanine Transaminase antibody WB image
Western blot: 35 µg of Mouse liver lysate stained with ARG58924 anti-ALT / Alanine Transaminase antibody.
