ARG58212
anti-AMD1 antibody
anti-AMD1 antibody for IHC-Formalin-fixed paraffin-embedded sections and Human,Mouse,Rat
Overview
| Product Description | Rabbit Polyclonal antibody recognizes AMD1 |
|---|---|
| Tested Reactivity | Hu, Ms, Rat |
| Tested Application | IHC-P |
| Host | Rabbit |
| Clonality | Polyclonal |
| Isotype | IgG |
| Target Name | AMD1 |
| Antigen Species | Human |
| Immunogen | Synthetic peptide corresponding to a sequence of Human AMD1 (RKNFMKPSHQGYPHRNFQEEIEFLNA). |
| Conjugation | Un-conjugated |
| Alternate Names | EC 4.1.1.50; SAMDC; ADOMETDC; AMD; S-adenosylmethionine decarboxylase proenzyme; AdoMetDC |
Application Instructions
| Application Suggestion |
|
||||
|---|---|---|---|---|---|
| Application Note | IHC-P: Antigen Retrieval: Heat mediated was performed in Citrate buffer (pH 6.0) for 20 min. * The dilutions indicate recommended starting dilutions and the optimal dilutions or concentrations should be determined by the scientist. |
Properties
| Form | Liquid |
|---|---|
| Purification | Affinity purification with immunogen. |
| Buffer | 0.9% NaCl, 0.2% Na2HPO4, 0.05% Sodium azide and 5% BSA. |
| Preservative | 0.05% Sodium azide |
| Stabilizer | 5% BSA |
| Concentration | 0.5 mg/ml |
| Storage Instruction | For continuous use, store undiluted antibody at 2-8°C for up to a week. For long-term storage, aliquot and store at -20°C or below. Storage in frost free freezers is not recommended. Avoid repeated freeze/thaw cycles. Suggest spin the vial prior to opening. The antibody solution should be gently mixed before use. |
| Note | For laboratory research only, not for drug, diagnostic or other use. |
Bioinformation
| Database Links | |
|---|---|
| Gene Symbol | AMD1 |
| Gene Full Name | adenosylmethionine decarboxylase 1 |
| Background | This gene encodes an important intermediate enzyme in polyamine biosynthesis. The polyamines spermine, spermidine, and putrescine are low-molecular-weight aliphatic amines essential for cellular proliferation and tumor promotion. Multiple alternatively spliced transcript variants have been identified. Pseudogenes of this gene are found on chromosomes 5, 6, 10, X and Y. [provided by RefSeq, Dec 2013] |
| Function | Essential for biosynthesis of the polyamines spermidine and spermine. Promotes maintenance and self-renewal of embryonic stem cells, by maintaining spermine levels (By similarity). [UniProt] |
| Calculated MW | 38 kDa |
| PTM | Is synthesized initially as an inactive proenzyme. Formation of the active enzyme involves a self-maturation process in which the active site pyruvoyl group is generated from an internal serine residue via an autocatalytic post-translational modification. Two non-identical subunits are generated from the proenzyme in this reaction, and the pyruvate is formed at the N-terminus of the alpha chain, which is derived from the carboxyl end of the proenzyme. The post-translation cleavage follows an unusual pathway, termed non-hydrolytic serinolysis, in which the side chain hydroxyl group of the serine supplies its oxygen atom to form the C-terminus of the beta chain, while the remainder of the serine residue undergoes an oxidative deamination to produce ammonia and the pyruvoyl group blocking the N-terminus of the alpha chain. [UniProt] |
Images (5) Click the Picture to Zoom In
-
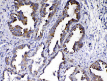
ARG58212 anti-AMD1 antibody IHC-P image
Immunohistochemistry: Paraffin-embedded Human intestinal cancer tissue. Antigen Retrieval: Heat mediated was performed in Citrate buffer (pH 6.0, epitope retrieval solution) for 20 min. The tissue section was blocked with 10% goat serum. The tissue section was then stained with ARG58212 anti-AMD1 antibody at 1 µg/ml dilution, overnight at 4°C.
-
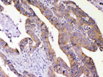
ARG58212 anti-AMD1 antibody IHC-P image
Immunohistochemistry: Paraffin-embedded Human lung cancer tissue. Antigen Retrieval: Heat mediated was performed in Citrate buffer (pH 6.0, epitope retrieval solution) for 20 min. The tissue section was blocked with 10% goat serum. The tissue section was then stained with ARG58212 anti-AMD1 antibody at 1 µg/ml dilution, overnight at 4°C.
-
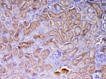
ARG58212 anti-AMD1 antibody IHC-P image
Immunohistochemistry: Paraffin-embedded Mouse kidney tissue. Antigen Retrieval: Heat mediated was performed in Citrate buffer (pH 6.0, epitope retrieval solution) for 20 min. The tissue section was blocked with 10% goat serum. The tissue section was then stained with ARG58212 anti-AMD1 antibody at 1 µg/ml dilution, overnight at 4°C.
-
ARG58212 anti-AMD1 antibody IHC-P image
Immunohistochemistry: Paraffin-embedded Rat kidney tissue. Antigen Retrieval: Heat mediated was performed in Citrate buffer (pH 6.0, epitope retrieval solution) for 20 min. The tissue section was blocked with 10% goat serum. The tissue section was then stained with ARG58212 anti-AMD1 antibody at 1 µg/ml dilution, overnight at 4°C.
-
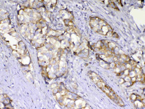
ARG58212 anti-AMD1 antibody IHC-P image
Immunohistochemistry: Paraffin-embedded Human mammary cancer. Antigen Retrieval: Heat mediated was performed in Citrate buffer (pH 6.0, epitope retrieval solution) for 20 min. The tissue section was blocked with 10% goat serum. The tissue section was then stained with ARG58212 anti-AMD1 antibody at 1 µg/ml dilution, overnight at 4°C.
