ARG63378
anti-ANILLIN / Scraps antibody
anti-ANILLIN / Scraps antibody for Flow cytometry,ICC/IF,IHC-Formalin-fixed paraffin-embedded sections and Human
Cell Biology and Cellular Response antibody; Signaling Transduction antibody
Overview
| Product Description | Goat Polyclonal antibody recognizes ANILLIN / Scraps |
|---|---|
| Tested Reactivity | Hu |
| Predict Reactivity | Ms, Cow |
| Tested Application | FACS, ICC/IF, IHC-P |
| Host | Goat |
| Clonality | Polyclonal |
| Isotype | IgG |
| Target Name | ANILLIN / Scraps |
| Antigen Species | Human |
| Immunogen | WQPDACYKPIGKP |
| Conjugation | Un-conjugated |
| Alternate Names | FSGS8; scra; Actin-binding protein anillin; Scraps |
Application Instructions
| Application Suggestion |
|
||||||||
|---|---|---|---|---|---|---|---|---|---|
| Application Note | IHC-P: Antigen Retrieval: Microwaved tissue section in Tris/EDTA buffer (pH 9.0). * The dilutions indicate recommended starting dilutions and the optimal dilutions or concentrations should be determined by the scientist. |
Properties
| Form | Liquid |
|---|---|
| Purification | Purified from goat serum by antigen affinity chromatography. |
| Buffer | Tris saline (pH 7.3), 0.02% Sodium azide and 0.5% BSA. |
| Preservative | 0.02% Sodium azide |
| Stabilizer | 0.5% BSA |
| Concentration | 0.5 mg/ml |
| Storage Instruction | For continuous use, store undiluted antibody at 2-8°C for up to a week. For long-term storage, aliquot and store at -20°C or below. Storage in frost free freezers is not recommended. Avoid repeated freeze/thaw cycles. Suggest spin the vial prior to opening. The antibody solution should be gently mixed before use. |
| Note | For laboratory research only, not for drug, diagnostic or other use. |
Bioinformation
| Database Links | |
|---|---|
| Background | This gene encodes an actin-binding protein that plays a role in cell growth and migration, and in cytokinesis. The encoded protein is thought to regulate actin cytoskeletal dynamics in podocytes, components of the glomerulus. Mutations in this gene are associated with focal segmental glomerulosclerosis 8. Alternative splicing results in multiple transcript variants encoding different isoforms. [provided by RefSeq, Oct 2014] |
| Research Area | Cell Biology and Cellular Response antibody; Signaling Transduction antibody |
| Calculated MW | 124 kDa |
| PTM | Phosphorylated during mitosis. Ubiquitinated, and this requires FZR1/CDH1. |
Images (3) Click the Picture to Zoom In
-
ARG63378 anti-ANILLIN / Scraps antibody ICC/IF image
Immunofluorescence: Paraformaldehyde fixed U2OS cells permeabilized with 0.15% Triton. Cells were stained with ARG63378 anti-ANILLIN / Scraps antibody (green) at 10 µg/ml dilution for 1 hour. Phalloidin (red) for Actin filaments staining. Negative control: Unimmunized goat IgG (green) at 10 µg/ml dilution.
-
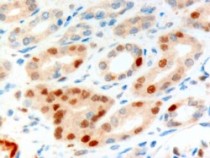
ARG63378 anti-ANILLIN / Scraps antibody IHC-P image
Immunohistochemistry: paraffin embedded Human Kidney. (Microwaved antigen retrieval with Tris/EDTA buffer pH9) stained with ARG63378 anti-ANILLIN / Scraps antibody at 10 µg/ml dilution followed by HRP-staining.
-
ARG63378 anti-ANILLIN / Scraps antibody FACS image
Flow Cytometry: Paraformaldehyde-fixed MCF7 cells permeabilized with 0.5% Triton. Cells were stained with ARG63378 anti-ANILLIN / Scraps antibody (blue line) at 10 µg/ml dilution for 1 hour, followed by incubation with Alexa FluorR 488 labelled secondary antibody. IgG control: Unimmunized goat IgG (black line).
