ARG55110
anti-APAP1L2 antibody
anti-APAP1L2 antibody for ELISA,ICC/IF,IHC-Formalin-fixed paraffin-embedded sections,Western blot and Human,Mouse,Rat
Cancer antibody; Gene Regulation antibody; Signaling Transduction antibody
Overview
| Product Description | Rabbit Polyclonal antibody recognizes AFAP1L2 |
|---|---|
| Tested Reactivity | Hu, Ms, Rat |
| Tested Application | ELISA, ICC/IF, IHC-P, WB |
| Host | Rabbit |
| Clonality | Polyclonal |
| Isotype | IgG |
| Target Name | APAP1L2 |
| Antigen Species | Human |
| Immunogen | Synthetic peptide (15 aa) within the last 50 aa of Human AFAP1L2 protein. |
| Conjugation | Un-conjugated |
| Alternate Names | Actin filament-associated protein 1-like 2; CTB-1144G6.4; AFAP1-like protein 2; KIAA1914; XB130 |
Application Instructions
| Application Suggestion |
|
||||||||||
|---|---|---|---|---|---|---|---|---|---|---|---|
| Application Note | * The dilutions indicate recommended starting dilutions and the optimal dilutions or concentrations should be determined by the scientist. | ||||||||||
| Positive Control | Mouse Liver Tissue Lysate |
Properties
| Form | Liquid |
|---|---|
| Purification | Affinity purification with immunogen. |
| Buffer | PBS and 0.02% Sodium azide |
| Preservative | 0.02% Sodium azide |
| Concentration | 1 mg/ml |
| Storage Instruction | For continuous use, store undiluted antibody at 2-8°C for up to a week. For long-term storage, aliquot and store at -20°C or below. Storage in frost free freezers is not recommended. Avoid repeated freeze/thaw cycles. Suggest spin the vial prior to opening. The antibody solution should be gently mixed before use. |
| Note | For laboratory research only, not for drug, diagnostic or other use. |
Bioinformation
| Database Links |
Swiss-port # Q5DTU0 Mouse Actin filament-associated protein 1-like 2 Swiss-port # Q8N4X5 Human Actin filament-associated protein 1-like 2 |
|---|---|
| Gene Symbol | AFAP1L2 |
| Gene Full Name | actin filament associated protein 1-like 2 |
| Background | AFAP1L2 Antibody: AFAP1L2, also known as XB130, is structurally similar to actin-filament-associated protein (AFAP), containing several SH2- and SH3-binding motifs, two pleckstrin homology domains, a coiled-coil region, and many potential phosphorylation sites. It interacts with and is phosphorylated by c-Src tyrosine kinase. Suppression of AFAP1L2 via siRNA reduced Src activity, IL-8 production, EGF-induced phosphorylation of Akt and GSK3beta, and altered cell cycles in human lung epithelial cells suggesting that AFAP1L2 plays a role as an adaptor in the regulation of Src signal transduction and multiple cellular functions. Recent experiments have shown that AFAP1L2 is highly expressed in thyroid and is the substrate RET/PTC kinase, a thyroid-specific kinase that plays a pathogenic role in papillary thyroid cancer. Down-regulation of AFAP1L2 in these cancer cells reduced Akt activity, inhibiting cell-cycle progression and cancer cell survival in suspension, indicating that AFAP1L2 may be a valuable target in thyroid cancer therapy. At least four isoforms of AFAP1L2 are known to exist. |
| Function | May play a role in a signaling cascade by enhancing the kinase activity of SRC. Contributes to SRC-regulated transcription activation. [UniProt] |
| Research Area | Cancer antibody; Gene Regulation antibody; Signaling Transduction antibody |
| Calculated MW | 91 kDa |
| PTM | Tyrosine phosphorylated (by SRC). |
Images (3) Click the Picture to Zoom In
-
ARG55110 anti-APAP1L2 antibody WB image
Western blot: mouse liver tissue lysate stained with ARG55110 anti-APAP1L2 antibody at (A) 1 and (B) 2 ug/ml dilution.
-
ARG55110 anti-APAP1L2 antibody IHC image
Immunohistochemistry: AFAP1L2 in human liver tissue stained with ARG55110 anti-APAP1L2 antibody at 2.5 ug/ml dilution.
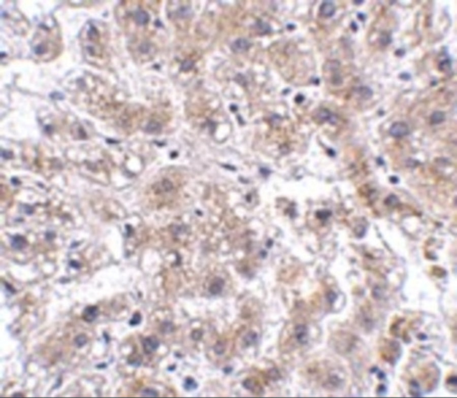
-
ARG55110 anti-APAP1L2 antibody IHC image
Immunohistochemistry: AFAP1L2 in human liver tissue stained with ARG55110 anti-APAP1L2 antibody at 20 ug/ml dilution.
