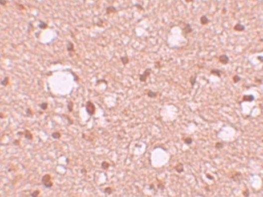
ARG46004
anti-APBA2 antibody
anti-APBA2 antibody for Western blot,IHC-Formalin-fixed paraffin-embedded sections and Human
Overview
| Product Description | Rabbit Polyclonal antibody recognizes APBA2 |
|---|---|
| Tested Reactivity | Hu |
| Tested Application | IHC-P, WB |
| Host | Rabbit |
| Clonality | Polyclonal |
| Isotype | IgG |
| Target Name | APBA2 |
| Antigen Species | Human |
| Immunogen | A 18 amino acid synthetic peptide within aa. 290 - 340 of human APBA2. |
| Conjugation | Un-conjugated |
| Alternate Names | amyloid beta (A4) precursor protein-binding, family A, member 2; APBA2; X11L; MINT2; LIN-10; HsT16821; X11-BETA; D15S1518E; MGC:14091; X11L; Amyloid beta A4 precursor protein-binding family A member 2; Adapter protein X11beta; Mint-2 |
Application Instructions
| Application Suggestion |
|
||||||
|---|---|---|---|---|---|---|---|
| Application Note | * The dilutions indicate recommended starting dilutions and the optimal dilutions or concentrations should be determined by the scientist. |
Properties
| Purification | Affinity chromatography purified |
|---|---|
| Buffer | PBS and 0.02% Sodium azide. |
| Preservative | 0.02% Sodium azide |
| Concentration | 1 mg/ml |
| Storage Instruction | For continuous use, store undiluted antibody at 2-8°C for up to a week. For long-term storage, aliquot and store at -54°C or below. Storage in frost free freezers is not recommended. Avoid repeated freeze/thaw cycles. Suggest spin the vial prior to opening. The antibody solution should be gently mixed before use. |
| Note | For laboratory research only, not for drug, diagnostic or other use. |
Bioinformation
| Database Links |
Swiss-port # Q99767 Human Amyloid beta A4 precursor protein-binding family A member 2 |
|---|---|
| Gene Symbol | APBA2 |
| Gene Full Name | amyloid beta (A4) precursor protein-binding, family A, member 2 |
| Background | The protein encoded by this gene is a member of the X11 protein family. It is a neuronal adapter protein that interacts with the Alzheimer's disease amyloid precursor protein (APP). It stabilizes APP and inhibits production of proteolytic APP fragments including the A beta peptide that is deposited in the brains of Alzheimer's disease patients. This gene product is believed to be involved in signal transduction processes. It is also regarded as a putative vesicular trafficking protein in the brain that can form a complex with the potential to couple synaptic vesicle exocytosis to neuronal cell adhesion. [provided by RefSeq, Jul 2017] |
| Function | Putative function in synaptic vesicle exocytosis by binding to STXBP1, an essential component of the synaptic vesicle exocytotic machinery. May modulate processing of the amyloid-beta precursor protein (APP) and hence formation of APP-beta. [UniProt] |
| Calculated MW | 83 kDa |
| PTM | Phosphoprotein. [UniProt] |
Images (2) Click the Picture to Zoom In
