ARG64456
anti-APOBEC3A / Phorbolin 1 antibody
anti-APOBEC3A / Phorbolin 1 antibody for Flow cytometry,ICC/IF,IHC-Formalin-fixed paraffin-embedded sections,Western blot and Human
Cell Biology and Cellular Response antibody; Metabolism antibody; Signaling Transduction antibody
Overview
| Product Description | Goat Polyclonal antibody recognizes APOBEC3A / Phorbolin 1 |
|---|---|
| Tested Reactivity | Hu |
| Tested Application | FACS, ICC/IF, IHC-P, WB |
| Host | Goat |
| Clonality | Polyclonal |
| Isotype | IgG |
| Target Name | APOBEC3A / Phorbolin 1 |
| Antigen Species | Human |
| Immunogen | C-TSNFNNGIGRHKTY |
| Conjugation | Un-conjugated |
| Alternate Names | DNA dC->dU-editing enzyme APOBEC-3A; A3A; Phorbolin-1; EC 3.5.4.- |
Application Instructions
| Application Suggestion |
|
||||||||||
|---|---|---|---|---|---|---|---|---|---|---|---|
| Application Note | IHC-P: Antigen Retrieval: Steam tissue section in Citrate buffer (pH 6.0). WB: Recommend incubate at RT for 1h. * The dilutions indicate recommended starting dilutions and the optimal dilutions or concentrations should be determined by the scientist. |
Properties
| Form | Liquid |
|---|---|
| Purification | Purified from goat serum by antigen affinity chromatography. |
| Buffer | Tris saline (pH 7.3), 0.02% Sodium azide and 0.5% BSA. |
| Preservative | 0.02% Sodium azide |
| Stabilizer | 0.5% BSA |
| Concentration | 0.5 mg/ml |
| Storage Instruction | For continuous use, store undiluted antibody at 2-8°C for up to a week. For long-term storage, aliquot and store at -20°C or below. Storage in frost free freezers is not recommended. Avoid repeated freeze/thaw cycles. Suggest spin the vial prior to opening. The antibody solution should be gently mixed before use. |
| Note | For laboratory research only, not for drug, diagnostic or other use. |
Bioinformation
| Database Links |
Swiss-port # P31941 Human DNA dC->dU-editing enzyme APOBEC-3A |
|---|---|
| Background | This gene is a member of the cytidine deaminase gene family. It is one of seven related genes or pseudogenes found in a cluster, thought to result from gene duplication, on chromosome 22. Members of the cluster encode proteins that are structurally and functionally related to the C to U RNA-editing cytidine deaminase APOBEC1. The protein encoded by this gene lacks the zinc binding activity of other family members. The protein plays a role in immunity, by restricting transmission of foreign DNA such as viruses. One mechanism of foreign DNA restriction is deamination of foreign double-stranded DNA cytidines to uridines, which leads to DNA degradation. However, other mechanisms are also thought to be involved, as anti-viral effect is not dependent on deaminase activity. Two transcript variants encoding different isoforms have been found for this gene. [provided by RefSeq, Jul 2012] |
| Research Area | Cell Biology and Cellular Response antibody; Metabolism antibody; Signaling Transduction antibody |
| Calculated MW | 23 kDa |
Images (5) Click the Picture to Zoom In
-
ARG64456 anti-APOBEC3A / Phorbolin 1 antibody ICC/IF image
Immunofluorescence: Paraformaldehyde fixed A431 cells permeabilized with 0.15% Triton. Cells were stained with ARG64456 anti-APOBEC3A / Phorbolin 1 antibody (green) at 10 µg/ml dilution for 1 hour. Phalloidin (red) for Actin filaments staining. Negative control: Unimmunized goat IgG (green) at 10 µg/ml dilution.
-
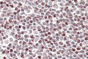
ARG64456 anti-APOBEC3A / Phorbolin 1 antibody IHC-P image
Immunohistochemistry: Paraffin embedded Human Tonsil. (Steamed antigen retrieval with citrate buffer pH 6) stained with ARG64456 anti-APOBEC3A / Phorbolin 1 antibody at 3.8 µg/ml dilution followed by AP-staining.
-
ARG64456 anti-APOBEC3A / Phorbolin 1 antibody WB image
Western blot: 35 µg of Human spleen (A), tonsil (B) and peripheral blood mononuclear cell (C) lysates (in RIPA buffer) stained with ARG64456 anti-APOBEC3A / Phorbolin 1 antibody at 1 µg/ml (A, B) and 0.1 µg/ml (C) dilutions and incubated at RT for 1 hour.
-
ARG64456 anti-APOBEC3A / Phorbolin 1 antibody FACS image
Flow Cytometry: Paraformaldehyde-fixed Jurkat cells permeabilized with 0.5% Triton. Cells were stained with ARG64456 anti-APOBEC3A / Phorbolin 1 antibody (blue line) at 10 µg/ml dilution for 1 hour, followed by incubation with Alexa FluorR 488 labelled secondary antibody. IgG control: Unimmunized goat IgG (black line).
-
ARG64456 anti-APOBEC3A / Phorbolin 1 antibody ICC/IF image
Immunofluorescence: Paraformaldehyde fixed A549 cells permeabilized with 0.15% Triton. Cells were stained with ARG64456 anti-APOBEC3A / Phorbolin 1 antibody (green) at 10 µg/ml dilution for 1 hour. DAPI (blue) for nuclear staining. Negative control: Unimmunized goat IgG (green) at 10 µg/ml dilution.
