ARG54814
anti-APRT antibody
anti-APRT antibody for Flow cytometry,ICC/IF,IHC-Formalin-fixed paraffin-embedded sections,Western blot and Human
Metabolism antibody; Signaling Transduction antibody
Overview
| Product Description | Rabbit Polyclonal antibody recognizes APRT |
|---|---|
| Tested Reactivity | Hu |
| Tested Application | FACS, ICC/IF, IHC-P, WB |
| Host | Rabbit |
| Clonality | Polyclonal |
| Isotype | IgG |
| Target Name | APRT |
| Antigen Species | Human |
| Immunogen | KLH-conjugated synthetic peptide corresponding to aa. 12-40 (N-terminus) of Human APRT. |
| Conjugation | Un-conjugated |
| Alternate Names | Adenine phosphoribosyltransferase; AMP; EC 2.4.2.7; APRTD; APRT |
Application Instructions
| Application Suggestion |
|
||||||||||
|---|---|---|---|---|---|---|---|---|---|---|---|
| Application Note | * The dilutions indicate recommended starting dilutions and the optimal dilutions or concentrations should be determined by the scientist. | ||||||||||
| Positive Control | A2058 |
Properties
| Form | Liquid |
|---|---|
| Purification | Purification with Protein A and immunogen peptide. |
| Buffer | PBS and 0.09% (W/V) Sodium azide |
| Preservative | 0.09% (W/V) Sodium azide |
| Storage Instruction | For continuous use, store undiluted antibody at 2-8°C for up to a week. For long-term storage, aliquot and store at -20°C or below. Storage in frost free freezers is not recommended. Avoid repeated freeze/thaw cycles. Suggest spin the vial prior to opening. The antibody solution should be gently mixed before use. |
| Note | For laboratory research only, not for drug, diagnostic or other use. |
Bioinformation
| Database Links | |
|---|---|
| Gene Symbol | APRT |
| Gene Full Name | adenine phosphoribosyltransferase |
| Background | Adenine phosphoribosyltransferase belongs to the purine/pyrimidine phosphoribosyltransferase family. A conserved feature of this gene is the distribution of CpG dinucleotides. This enzyme catalyzes the formation of AMP and inorganic pyrophosphate from adenine and 5-phosphoribosyl-1-pyrophosphate (PRPP). It also produces adenine as a by-product of the polyamine biosynthesis pathway. A homozygous deficiency in this enzyme causes 2,8-dihydroxyadenine urolithiasis. Two transcript variants encoding different isoforms have been found for this gene. [provided by RefSeq, Jul 2008] |
| Function | Catalyzes a salvage reaction resulting in the formation of AMP, that is energically less costly than de novo synthesis. [UniProt] |
| Cellular Localization | Cytoplasm. |
| Research Area | Metabolism antibody; Signaling Transduction antibody |
| Calculated MW | 20 kDa |
Images (4) Click the Picture to Zoom In
-
ARG54814 anti-APRT antibody ICC/IF image
Immunofluorescence: A549 cells were fixed with 4% PFA (20 min), permeabilized with Triton X-100 (0.1%, 10 min), then stained with ARG54814 anti-APRT antibody (green) at 1:25 dilution, 1 h at 37°C. Cytoplasmic actin was counterstained with Alexa Fluor® 555 (red) conjugated Phalloidin (7 units/ml, 1 h at 37°C).
-
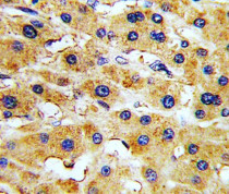
ARG54814 anti-APRT antibody IHC-P image
Immunohistochemistry: Formalin-fixed and paraffin-embedded Human hepatocarcinoma stained with ARG54814 anti-APRT antibody.
-
ARG54814 anti-APRT antibody WB image
Western blot: 35 µg of A2058 cell lysate stained with ARG54814 anti-APRT antibody.
-
ARG54814 anti-APRT antibody FACS image
Flow Cytometry: HepG2 cells stained with ARG54814 anti-APRT antibody (bottom histogram) or without primary antibody control (top histogram), followed by incubation with FITC labelled secondary antibody.
