ARG42856
anti-ARFRP1 antibody
anti-ARFRP1 antibody for IHC-Formalin-fixed paraffin-embedded sections,Western blot and Human
Overview
| Product Description | Rabbit Polyclonal antibody recognizes ARFRP1 |
|---|---|
| Tested Reactivity | Hu |
| Tested Application | IHC-P, WB |
| Host | Rabbit |
| Clonality | Polyclonal |
| Isotype | IgG |
| Target Name | ARFRP1 |
| Antigen Species | Human |
| Immunogen | Synthetic peptide of Human ARFRP1. |
| Conjugation | Un-conjugated |
| Alternate Names | ARP; ARL18; ADP-ribosylation factor-related protein 1; Arp1; ARF-related protein 1 |
Application Instructions
| Application Suggestion |
|
||||||
|---|---|---|---|---|---|---|---|
| Application Note | * The dilutions indicate recommended starting dilutions and the optimal dilutions or concentrations should be determined by the scientist. | ||||||
| Positive Control | WB: 293T, Human fetal liver, Human cervical cancer and Human fetal muscle IHC-P: Human breast cancer and Human cervical cancer |
||||||
| Observed Size | ~ 25 kDa |
Properties
| Form | Liquid |
|---|---|
| Purification | Affinity purification with immunogen. |
| Buffer | PBS (pH 7.4), 0.05% Sodium azide and 40% Glycerol. |
| Preservative | 0.05% Sodium azide |
| Stabilizer | 40% Glycerol |
| Concentration | 0.9 mg/ml |
| Storage Instruction | For continuous use, store undiluted antibody at 2-8°C for up to a week. For long-term storage, aliquot and store at -20°C. Storage in frost free freezers is not recommended. Avoid repeated freeze/thaw cycles. Suggest spin the vial prior to opening. The antibody solution should be gently mixed before use. |
| Note | For laboratory research only, not for drug, diagnostic or other use. |
Bioinformation
| Database Links |
Swiss-port # Q13795 Human ADP-ribosylation factor-related protein 1 |
|---|---|
| Gene Symbol | ARFRP1 |
| Gene Full Name | ADP-ribosylation factor related protein 1 |
| Background | The protein encoded by this gene is a membrane-associated GTP-ase which localizes to the plasma membrane and is related to the ADP-ribosylation factor (ARF) and ARF-like (ARL) proteins. This gene plays a role in membrane trafficking between the trans-Golgi network and endosomes. Alternatively spliced transcript variants encoding different isoforms have been identified. [provided by RefSeq, May 2012] |
| Function | Trans-Golgi-associated GTPase that regulates protein sorting. Controls the targeting of ARL1 and its effector to the trans-Golgi. Required for the lipidation of chylomicrons in the intestine and required for VLDL lipidation in the liver. [UniProt] |
| Cellular Localization | Golgi apparatus. Golgi apparatus, trans-Golgi network. Note=Located in the trans-Golgi in the GTP-bound active state. [UniProt] |
| Calculated MW | 23 kDa |
Images (3) Click the Picture to Zoom In
-
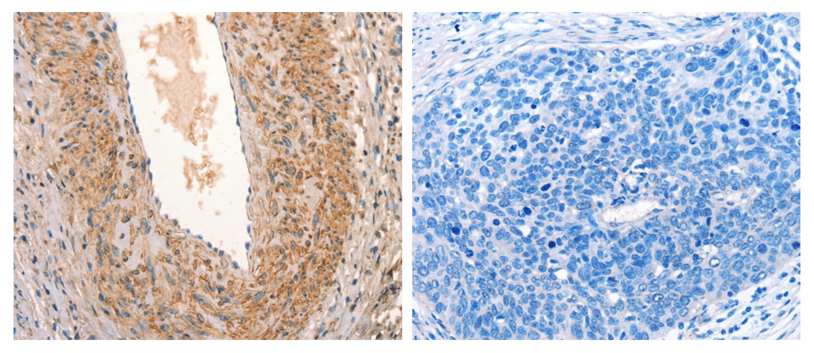
ARG42856 anti-ARFRP1 antibody IHC-P image
Immunohistochemistry: Paraffin-embedded Human breast cancer tissue stained with ARG42856 anti-ARFRP1 antibody (left) at 1:25 dilution, or the same antibody pre-incubated with synthetic peptide (right). (Original magnification: X200).
-
ARG42856 anti-ARFRP1 antibody WB image
Western blot: 40 µg of 293T, Human fetal liver, Human cervical cancer and Human fetal muscle lysates stained with ARG42856 anti-ARFRP1 antibody at 1:800 dilution.
-
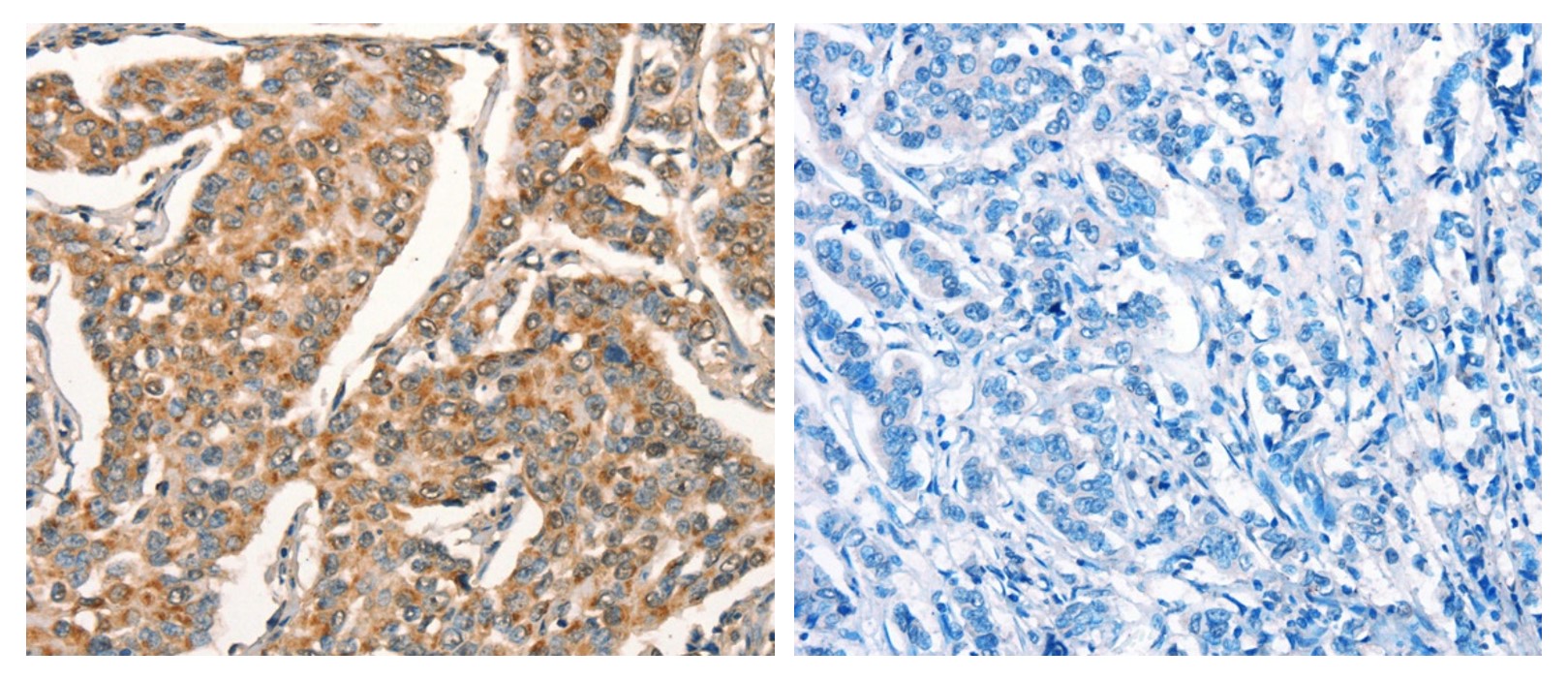
ARG42856 anti-ARFRP1 antibody IHC-P image
Immunohistochemistry: Paraffin-embedded Human cervical cancer tissue stained with ARG42856 anti-ARFRP1 antibody (left) at 1:25 dilution, or the same antibody pre-incubated with synthetic peptide (right). (Original magnification: X200).
