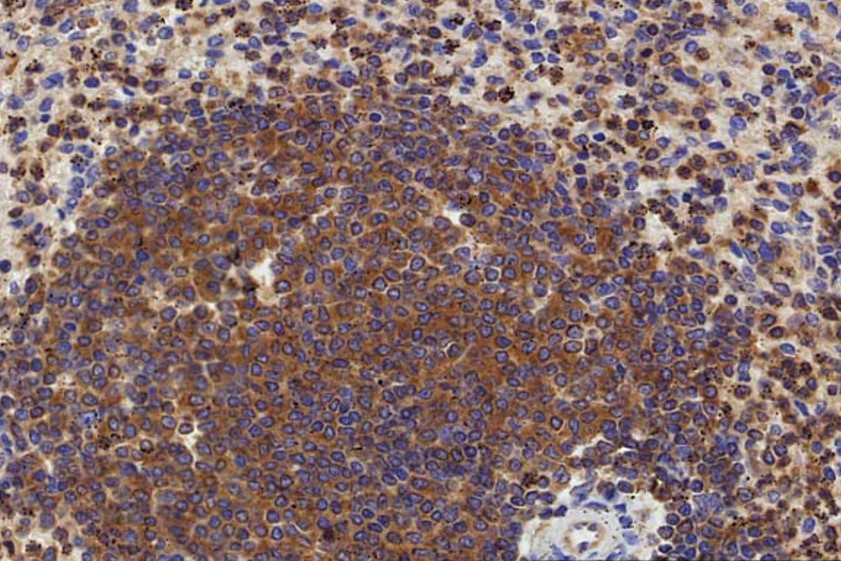
ARG44625
anti-ARHGEF1 antibody
anti-ARHGEF1 antibody for IHC-Formalin-fixed paraffin-embedded sections,Immunoprecipitation and Human
Overview
| Product Description | Mouse Monoclonal antibody recognizes ARHGEF1 |
|---|---|
| Tested Reactivity | Hu |
| Tested Application | IHC-P, IP |
| Host | Mouse |
| Clonality | Monoclonal |
| Isotype | IgG2b |
| Target Name | ARHGEF1 |
| Antigen Species | Human |
| Conjugation | Un-conjugated |
| Alternate Names | ARHGEF1; Rho Guanine Nucleotide Exchange Factor 1; P115-RHOGEF; SUB1.5; LBCL2; Rho Guanine Nucleotide Exchange Factor (GEF) 1; 115 KDa Guanine Nucleotide Exchange Factor; P115RhoGEF; 115-KD Protein; Lsc Homolog; P115-RhoGEF; Sub1.5; IMD62; GEF1; LSC |
Application Instructions
| Application Suggestion |
|
||||||
|---|---|---|---|---|---|---|---|
| Application Note | * The dilutions indicate recommended starting dilutions and the optimal dilutions or concentrations should be determined by the scientist. |
Properties
| Form | Liquid |
|---|---|
| Purification | Protein A purification |
| Buffer | PBS with 0.09% sodium azide |
| Preservative | 0.09% sodium azide |
| Storage Instruction | For continuous use, store undiluted antibody at 2-8°C for up to a week. For long-term storage, aliquot and store at -20°C or below. Storage in frost free freezers is not recommended. Avoid repeated freeze/thaw cycles. Suggest spin the vial prior to opening. The antibody solution should be gently mixed before use. |
| Note | For laboratory research only, not for drug, diagnostic or other use. |
Bioinformation
| Database Links |
Swiss-port # Q92888 Human Rho guanine nucleotide exchange factor 1 |
|---|---|
| Gene Symbol | ARHGEF1 |
| Gene Full Name | Rho Guanine Nucleotide Exchange Factor 1 |
| Background | Rho GTPases play a fundamental role in numerous cellular processes that are initiated by extracellular stimuli that work through G protein coupled receptors. The encoded protein may form complex with G proteins and stimulate Rho-dependent signals. Multiple alternatively spliced transcript variants have been found for this gene, but the full-length nature of some variants has not been defined. [provided by RefSeq, Jul 2008] |
| Function | Mediates angiotensin-2-induced RhoA activation. [UniProt] |
| Cellular Localization | Cytoplasm, Membrane. [UniProt] |
| Calculated MW | 102 kDa |
| PTM | Phosphoprotein. [UniProt] |
Images (2) Click the Picture to Zoom In
